感染相关眼病:HIV眼部巨细胞病毒性视网膜炎一例
farica 推荐患者是去年疫情期间来我院就诊的,当时在试用国产的OCTA,正好记录了这个病例的部分影像。
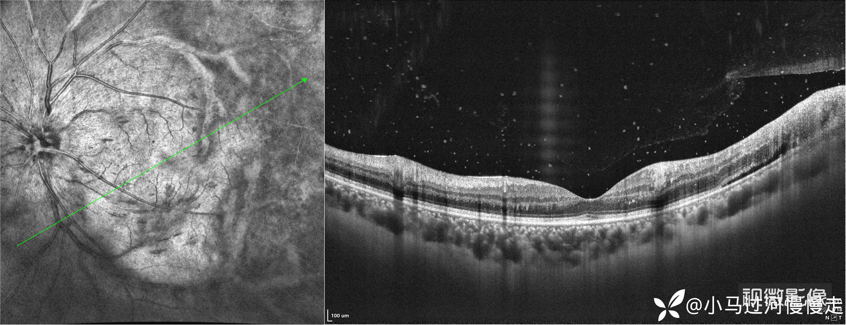
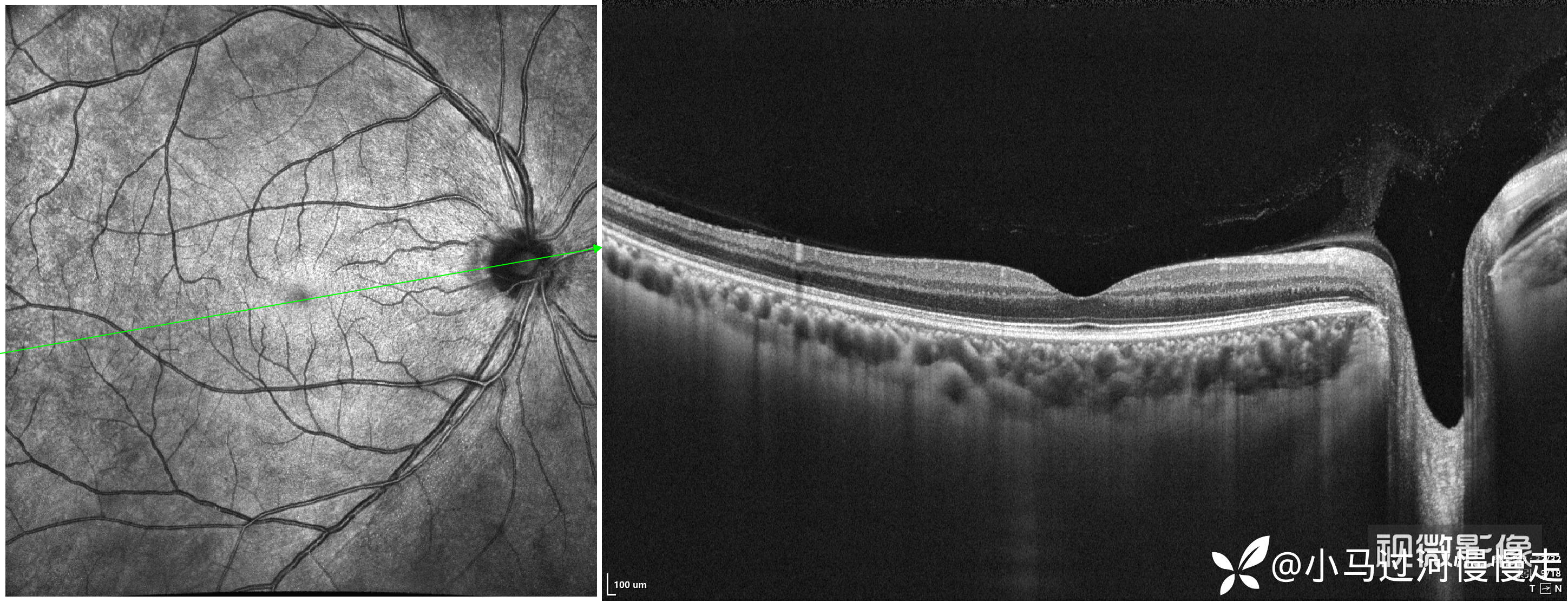
患者是HIV感染者,就诊时外院已经确诊了AIDS。右眼底正常,左眼底表现为霜枝样静脉炎及颞侧"番茄炒蛋"样病变,病变中心可见坏死灶:




当时正在试用视微SSOCT,记录了左眼颞侧病变的影像。








依据患者AIDS病史,典型的眼部表现初步诊断了巨细胞病毒性视网膜炎(CMVR),后患者外院就诊确诊了CMVR,没有回来复查,这是我唯一见过的HIV合并CMVR的病例。
同HIV合并ASPPC患者不同,彭晓燕教授讲过HIV感染者如果合并CMVR就意味着患者已经进入艾滋病阶段。


#感染相关眼病,病例资料不多,有点潦草,希望能换个手电筒😃😃😃
















































