dxy logo
首页丁香园病例库全部版块
搜索
登录

病例阅乳大师•彩超篇41|发现右乳肿物2月余

普通外科版版主 · 发布于 2023-12-18 · 来自 iOS · IP 广西广西
1888 浏览
这个帖子发布于 1 年零 338 天前,其中的信息可能已发生改变或有所发展。

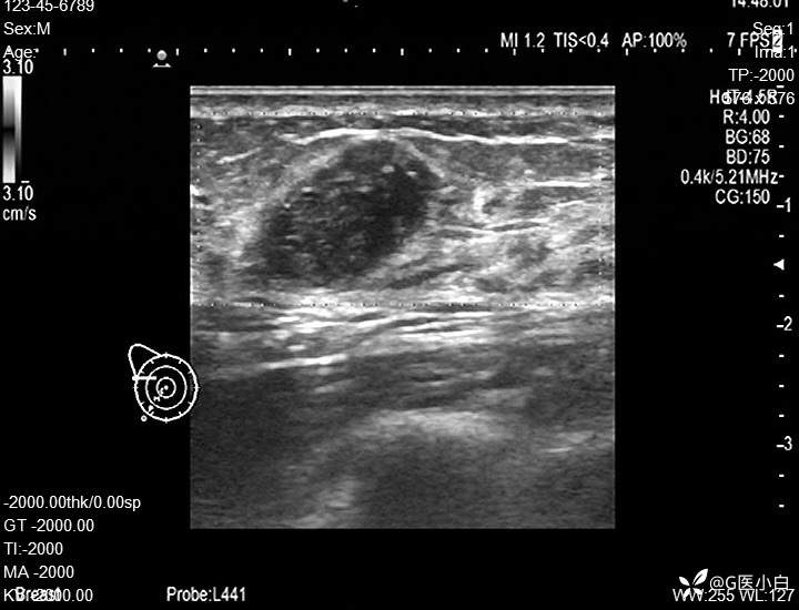
患者性别:女748737

患者年龄:43岁

主诉:发现右乳肿物半年余

img


img


img


有结果,欢迎留言印证您的判断,期待您的精彩分析!

该帖还没有疾病标签去添加
64 3 3
同行评议(0)
已评议
不开通精选
开通精选
精选已授权,待上线
评议结果暂未公布
参与评议
去邀请
NaN
病例完整NaN
临床实用NaN
诊疗科学NaN
学术价值NaN

全部讨论(0)

默认最新
avatar
64
分享帖子
share-weibo分享到微博
share-weibo分享到微信
认证
返回顶部