dxy logo
首页丁香园病例库全部版块
搜索
登录

病例右肾自截彩超与CT对比

超声科医师 · 发布于 2021-01-04 · 来自 Android · IP 辽宁辽宁
1837 浏览
这个帖子发布于 4 年零 321 天前,其中的信息可能已发生改变或有所发展。

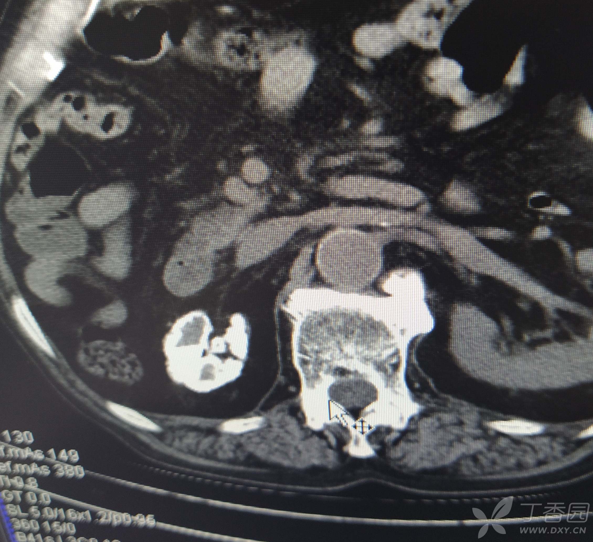
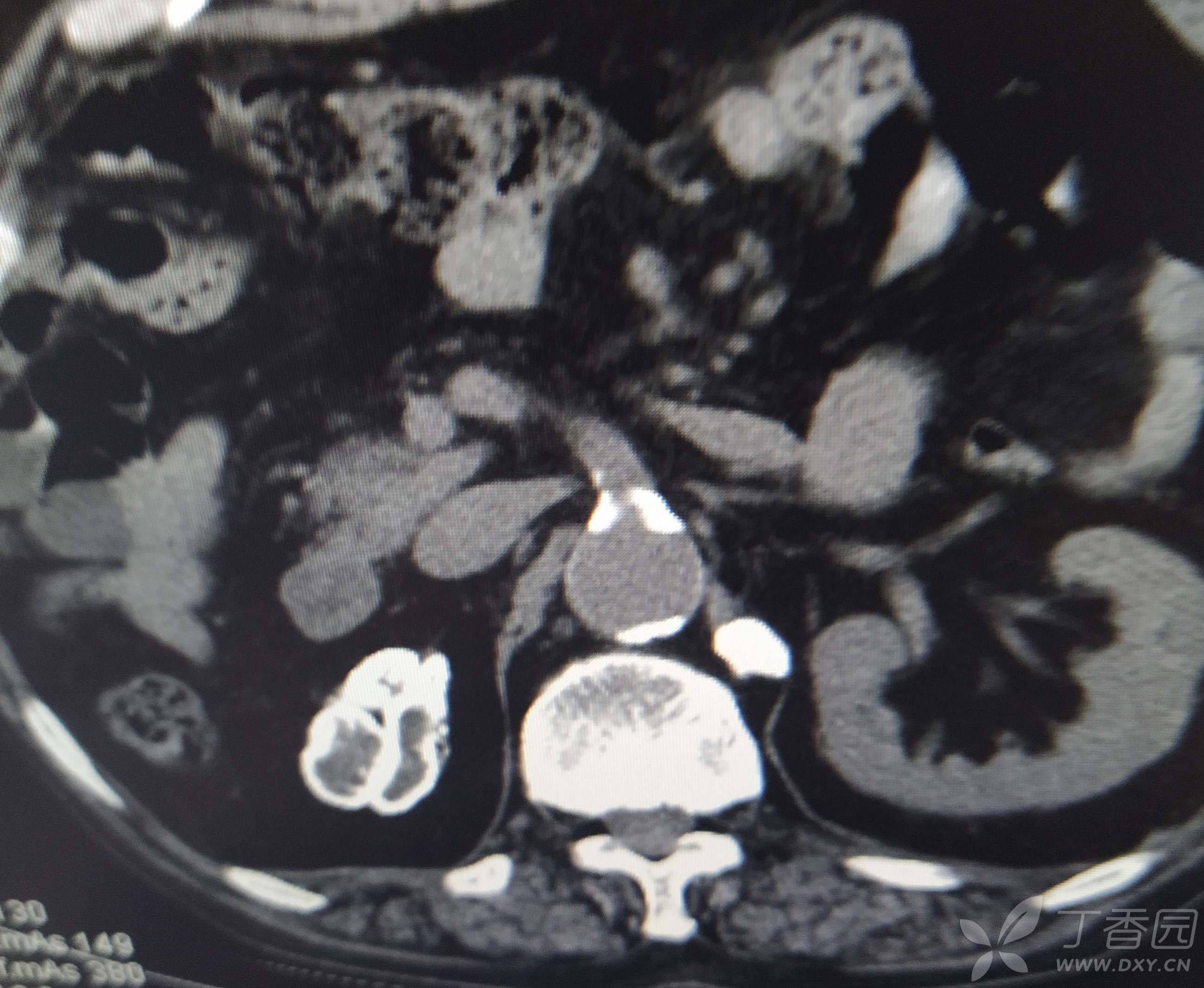
男,80岁,体检发现右肾呈坏死性钙化,肾周边钙化伴声衰减,CT可见明显钙化

preview
此视频仅专业人士可见
去登录
img


img


img


img


img


img


img
该帖还没有疾病标签去添加
4 9 6

全部讨论(0)

默认最新
avatar
4
分享帖子
share-weibo分享到微博
share-weibo分享到微信
认证
返回顶部