dxy logo
首页丁香园病例库全部版块
搜索
登录

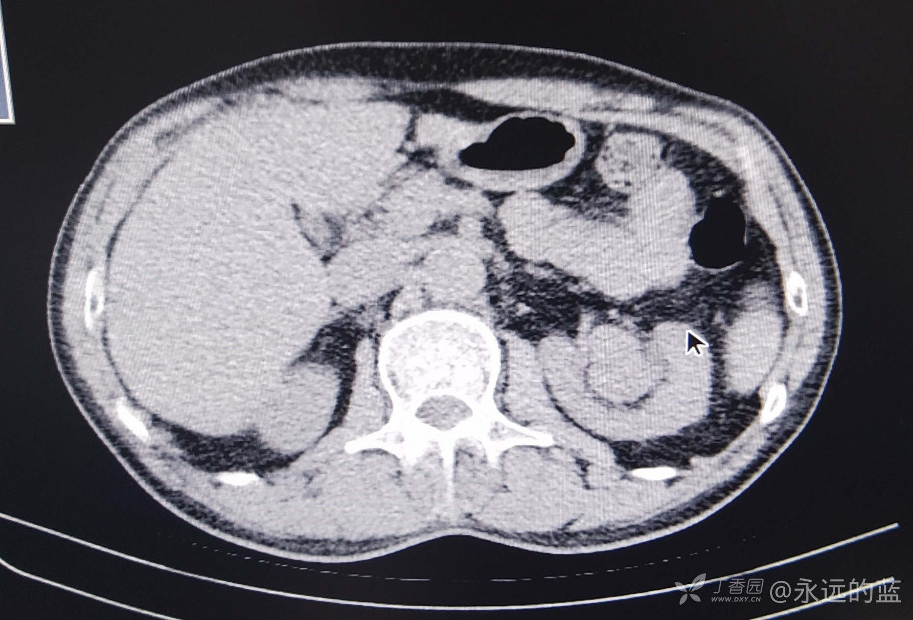
病例左肾窦内占位彩超与CT对比

超声科医师 · 发布于 2021-05-18 · 来自 Android · IP 辽宁辽宁
2627 浏览
icon推荐
这个帖子发布于 4 年零 188 天前,其中的信息可能已发生改变或有所发展。

男,58岁,体检发现左肾窦内可见高回声光团,患者自诉无血尿与不适,患者术后病理为肾癌

previewplay video
img


img


img


img


img


img


img


img
该帖还没有疾病标签去添加
19 24 22
同行评议(0)
已评议
不开通精选
开通精选
精选已授权,待上线
评议结果暂未公布
参与评议
去邀请
NaN
病例完整NaN
临床实用NaN
诊疗科学NaN
学术价值NaN

全部讨论(0)

默认最新
avatar
19
分享帖子
share-weibo分享到微博
share-weibo分享到微信
认证
返回顶部