前外侧一个切口处理胫腓骨远端骨折











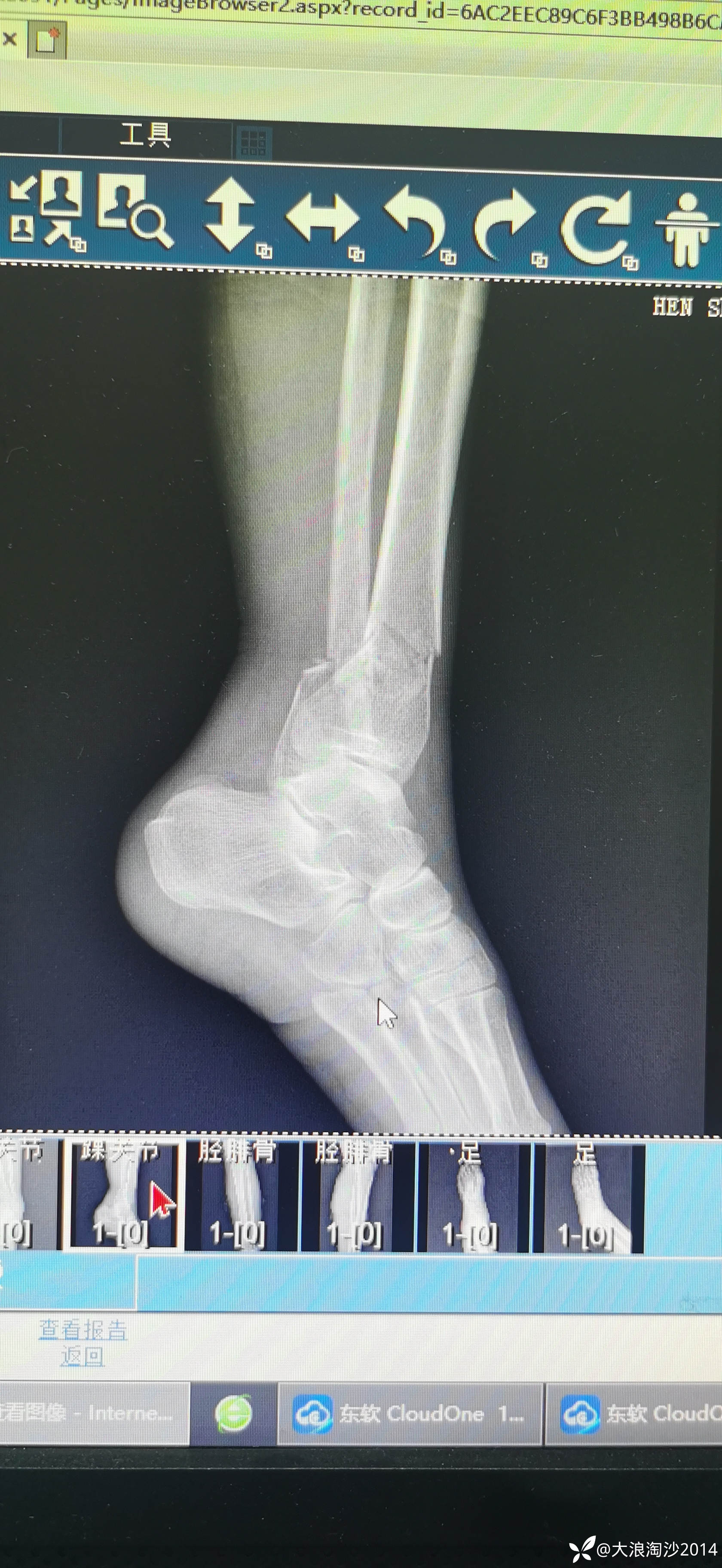
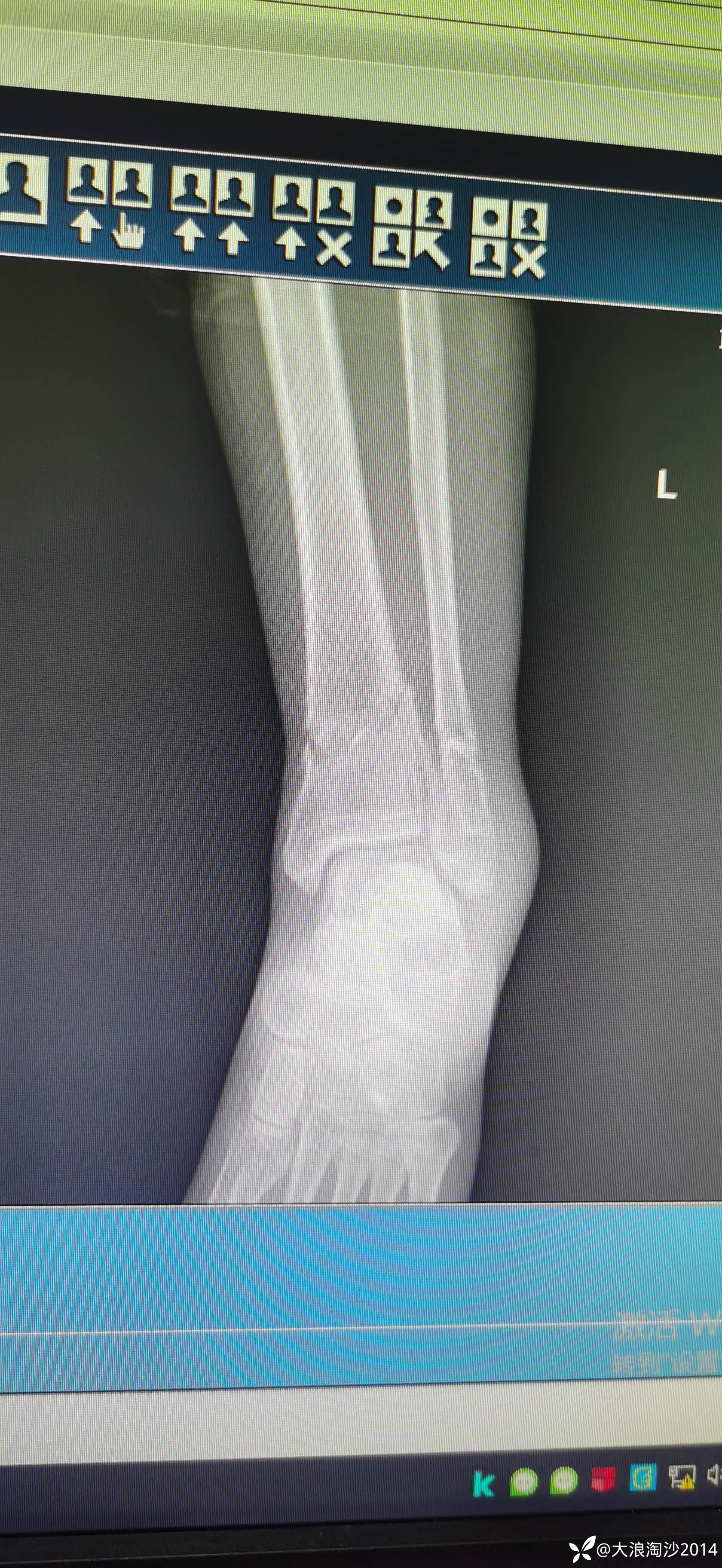
一65岁女性患者,偏瘦,体重75斤,车祸外伤致左胫腓骨远端骨折,入院后消肿后,病人可以用皮包骨头形容,考虑胫骨远折端不适合用内侧插板(mippo技术),病人太瘦,如取两个切口分别处理胫腓骨,切口容易出现问题,因此采用前外侧一个切口处理胫腓骨远端骨折(片子顺序上传有点乱)











一65岁女性患者,偏瘦,体重75斤,车祸外伤致左胫腓骨远端骨折,入院后消肿后,病人可以用皮包骨头形容,考虑胫骨远折端不适合用内侧插板(mippo技术),病人太瘦,如取两个切口分别处理胫腓骨,切口容易出现问题,因此采用前外侧一个切口处理胫腓骨远端骨折(片子顺序上传有点乱)
