谜底揭晓|胼胝体压部病变,大片水肿,期待各位老师的高见,后续公布结果。
病例回顾:胼胝体压部病变,大片水肿,期待各位老师的高见,后续公布结果。
公布答案:

知识分享:原发性中枢神经系统淋巴瘤。
原发性中枢神经系统淋巴瘤(PCNSL)是一种少见的神经系统高度恶性非霍奇金淋巴瘤,为淋巴细胞中的一些恶性变异并在中枢神经系统形成淋巴瘤。
易感因素:于HIV病毒感染人群中的发病率显著高于正常人群;
好发年龄:可发生于任何年龄,但发病高峰在40~50岁;
病理:浸润整个脑实质、脊髓及软脑膜等多个部位的弥漫性病变;
发病机制:不明;
治疗:大剂量甲氨蝶呤为主的联合化疗、放疗,结合甲氨蝶呤鞘内注射能明显改善其疗效及生存率。
病因:
原位淋巴细胞恶性克隆增生;
嗜中枢性淋巴细胞;
中枢系统庇护所效应;
病毒感染。
临床表现:
颅内高压症状:头痛、恶心、呕吐等颅内高压症状。
神经系统症状:视力障碍、肢体无力、癫痫、失语、眩晕、行走不稳等神经系统症状。
智力降低、行为异常。
影像表现:
好发部位:脑室周围深部白质、基底节区、胼胝体等、常为单发,亦可弥漫浸润。
CT平扫常呈稍高密度,增强呈轻中度强化。
MR平扫肿瘤在T2WI上信号常常接近或略低于脑白质信号,可见弥散受限。
MR增强呈明显均匀强化,部分病灶可出现 典型的脐凹征、尖角征、蝶翼征。

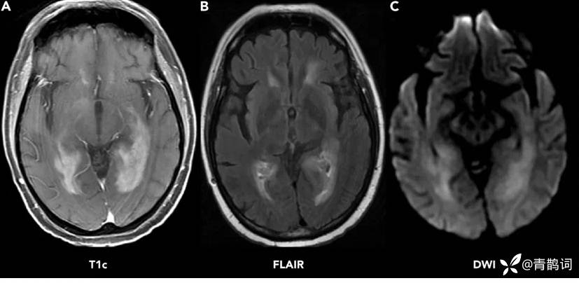
(A)T1序列显示深部白质的均匀增强病变;(B)FLAIR序列显示病变周围有中度水肿;(C)DWI显示病变内弥散受限

总结:
单个病变或多个病变;
通常发生在深部白质或胼胝体;
常均匀强化,并且受机体免疫状态影响;
免疫正常的患者中,常为均匀强化的肿块,无坏死;
免疫抑制的患者中,增强可能不均匀、坏死,或不增强。
















































