7月特别精彩病例|发现左大腿肿物1月余|病理已公布
患者性别:男
患者年龄:52岁
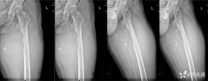
主诉:发现左大腿肿物1月余。
现病史:患者诉于入院1月前发现左大腿内侧一肿物,约鸡蛋大小,局部无红肿,无疼痛,行走不受限,未予特殊处理,肿块逐渐增大,于上个月外院B超示:左大腿前部混合型肿块,考虑肿瘤可能。
患者自起病以来,精神食欲好,大小便正常,体重无明显减轻。
辅助检查:
C反应蛋白17.40mg/L↑
糖类抗原125 7.36u/ml;糖类抗原199 6.34u/ml;糖类抗原153 12.28u/ml;
碱性磷酸酶、电解质、肾功能、粪便常规、输血前常规、隐血试验及心电图等正常。
DR

MR
T1

T2

T2矢状位
















































