【规培笔记】气胸的超声诊断
范特西_ 推荐车祸外伤,左侧受撞,呼吸困难,左胸疼痛。超声表现:


患侧肺超声显示胸膜滑动征消失,呈微膨胀运动。
健侧肺如下:


可见胸膜滑动征。

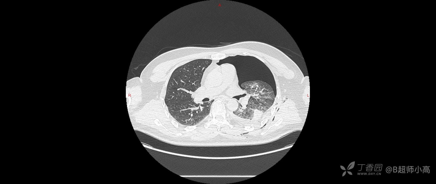
CT结果
超声诊断气胸要点
1.实时超声下胸膜滑动征消失!如果肺滑存在,则可基本排除气胸。
正常的胸膜滑动征应该是这样的:


2.肺点,即正常肺组织和气胸交替出现的分界点,特异性很高(接近100%),但敏感性不够,大量气胸不容易找到肺点,或者说其实就没有肺点。肺点常见于中小量气胸。

3.M形超声表现为“平流层征”。

诊断思路:

不积跬步,无以至千里;不积小流,无以成江海。学不可以已。——2023.4.5(清明)
















































