呼吸困难患者,下一步怎么处理?
患者女性,74岁,主诉“呼吸困难1月余”入院。
现病史:患者2022年12月26日开始出现发热、肌肉酸痛,自测新冠病毒抗原阳性,给予“炎琥宁、哌拉西林他唑巴坦、莲花清瘟胶囊“等治疗后患者仍有咳嗽、喘息,活动后加重,日常活动即感呼吸困难,伴心慌、出汗、全身乏力;
2023年1月9日因喘息于某市医院,给予甲泼尼龙40mg qd五日,患者自感无明显好转;2023年1月26日再次因喘息、呼吸困难加重于某市医院就诊,行冠脉造影示:左前降支狭窄30%,左回旋支近段狭窄50%,胸部CT:双肺磨玻璃影,双肺间质纤维化。心脏彩超:重度肺动脉高压(69mmHg)。考虑“冠心病、肺部感染、肺间质纤维化、重度肺动脉高压”,予冠心病二级预防等治疗,但呼吸困难无明显好转;
为求进一步诊治,于2023年2月3日至我院门诊就诊,以“呼吸困难”收入我院心血管内科住院,病程中患者无明显头昏、头痛、意识障碍,无恶心、呕吐、腹痛、腹胀,无夜间阵发性呼吸困难、咯粉红色泡沫痰。精神、饮食、睡眠均差,大小便正常,体重无明显下降。
既往史:类风湿关节炎病史10余年,曾服用来氟米特5年余、甲氨蝶呤1年余、柳氮磺吡啶1年余、雷公藤多苷片3月、及近期阿达木单抗每月2次治疗,病情控制不佳;发现间质性肺病9年,2022年9月开始口服吡菲尼酮200mg bid治疗;否认鼻出血病史。
查体:T:36.5℃,P:81次/分,R:24次/分,血压:115/69mmHg,神志清楚,口唇轻度紫绀,颈静脉无怒张,双肺呼吸音粗,可闻及爆裂音,心界无扩大,心率齐,心音P2>A2,未闻及病理性杂音,腹平坦,全腹无压痛,肝脾肋下未及,双肘伸直受限,双手多个掌指关节、近端指间关节变形,双下肢轻度水肿。
实验室检查:血液常规: 白细胞计数 6.46*10^9/L,中性粒细胞绝对值3.43* 10^9/L,淋巴细胞绝对值 1.58*10^9/L,*血红蛋白量 121g/L,*血小板计数 235* 10^9/L,(急)DIC筛选(20230204): 活化部分凝血活酶时间 30.1秒,凝血酶原时间 13.8秒,纤维蛋白原 4.20 g/L,纤维蛋白原降解产物 45.13ug/mL,D二聚体 9.34ug/mL,抗凝血酶III 71%, 降钙素原检测<0.020ng/mL,N末端脑利钠肽前体 730.6pg/mL, 乳酸脱氢酶测定: 343↑U/L;血沉: 红细胞沉降率51mm/h,;
感染相关及病原学:1.白细胞、CRP、PCT均未升高;2.痰涂片、痰查真菌、支原体、衣原体、抗酸杆菌、13种呼吸道病毒、定性术前八项阴性;3.巨细胞病毒抗体IgM 阳性 ,单纯疱疹病毒1型IgM抗体 阳性。
免疫相关:类风湿因子IgA 340.92 ↑ U/mL,类风湿因子IgG 150.89 ↑ U/mL,类风湿因子IgM 346.48 ↑ IU/mL, 抗核抗体定性 阳性(+),抗核抗体滴度 1:320,抗中性粒胞浆抗体谱、抗心磷脂抗体谱、外送肌炎谱+系统性硬化谱阴性。CD3+绝对计数 830 ↓ 个/uL,CD3+CD8+绝对计数 215 ↓ 个/uL,CD4/CD8 2.81 ↑ ,免疫球蛋白A 4.47 ↑ g/L,补体C4 0.52 ↑ g/L。
肿瘤标记物:细胞角蛋白19片段 4.29 ↑ ng/mL,糖类抗原125 74.00 ↑ U/mL,糖类抗原153 27.40 ↑ U/mL,铁蛋白 670.56 ↑ ng/mL;
血管B超提示 :左侧下肢(股总、股浅、腘、腓、肌间)静脉管腔内实性结构(考虑血栓形成,股总、腘静脉为不完全性)。
心超提示:右房扩大,下腔静脉内径正常高限。左房扩大,肺动脉收缩压约49mmHg(中度增高)。
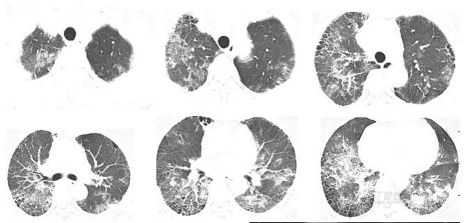
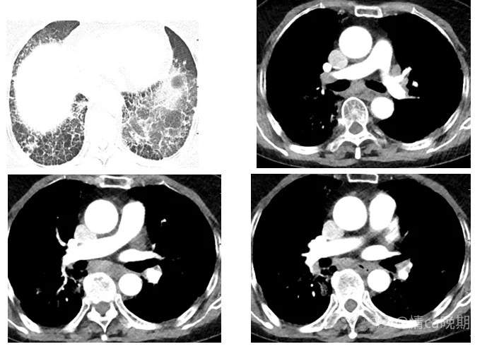
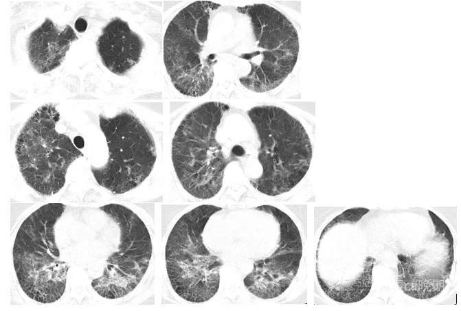
CTA(2023-2-8): 1. 双肺见散在斑片状、片状、条索状密度增高影,双肺胸膜下及双肺下叶肺组织呈网格状改变,考虑肺间质纤维化并炎症;2.左上、下肺动脉起始处可见少许条形充盈缺损影。



2023年2月10日PET-CT: 1.全身PET-CT扫描未见确切恶性肿瘤征象。2.双肺胸膜下网格状改变,双肺多发斑片状密度增高影并代谢增高,考虑为双肺间质性炎。3.右肺上叶及左肺下叶小结节,代谢未见增高,考虑为慢性炎性结节。双肺上中叶及左肺下叶钙化灶。4.纵隔1R/L、2R/L、4R/L、7、10R稍大淋巴结,部分密度稍高,放射性摄取增高,SUVmax约为5.8,考虑为慢性炎性淋巴结。5. 胃窦壁增厚,放射性摄取增高,SUVmax约为3.3 ,考虑炎性病变或生理性摄取。6.双侧臀部皮下脂肪间隙内絮状密度影并代谢增高,右侧肩关节周围组织代谢增高,考虑为炎性病变。7.右前臂局灶性放射性摄取浓聚,考虑为放射性药物沾染。
胸部CT复查(2023-2-16):双肺见散在斑片状、片状、条索状密度增高影,双肺胸膜下及双肺下叶肺组织呈网格状改变,多考虑肺间质纤维化并炎症,对比前片局部斑片影较前稍减少。

患者经心血管内科评估后当前冠状动脉粥样硬化性心脏病病情暂无特殊,肺间质病进展,肺动脉高压,转入呼吸与危重症医学科;
治疗:类风湿关节炎并肺间质纤维化:甲泼尼龙40mg q12h,环磷酰胺0.4g 半月一次;心功能不全合并阵发性心房颤动:呋塞米20mg qd+螺内酯20mg qd利尿;美托洛尔47.5mg qd+西地兰0.2mg qd。肺部感染:左氧氟沙星0.5g qd抗感染,磺胺预防PJP感染。多烯磷脂酰胆碱保肝,泮托拉唑护胃,碳酸氢钠碱化尿液等对症治疗。
问题:
1.该CTD-ILD患者新冠感染后能否使用免疫抑制剂?(单选)
A:是
B:否
2.根据患者目前检查结果,抗凝方案选择为?(单选)
A:预防量抗凝
B:治疗量抗凝
C:出血风险高,单纯机械预防
3.糖皮质激素增加CTD-ILD患者感染风险,能否继续使用?(单选)
A:是
B:否
















































