「牙牙」幼儿,却发现「双皮质」(答案公布)
文侠 推荐感谢 @福建医科大学附属协和医院 儿科 江极龙 分享的病例:
病例介绍
患儿,女,牙牙学语期幼儿,14月龄。
主诉:「自幼运动、语言发育落后于同龄儿」。
现病史:患儿生后3月龄抬头不问,具体抬头稳时间不想,6月龄能翻身,10月龄开始无意识发「baba,mama」音,11月龄能独坐,先14月龄扶站不稳,无法行走,不能有意识叫「爸爸、妈妈」,唤其名无反应,会用手示物表达需求,不能示意大小便。
无抽搐,无刻板重复行为,无烦躁不安。
既往史无特殊。
个人史:第2胎,第2产,母孕期「甲状腺功能亢进、妊娠期高血压」。余无特殊
家族史:否认家族中类似病史及其它病史。
体格检查:身长 73 cm,体重 8.5 kg,头围 43 cm,无特殊面容,肺部、心脏、腹部查体(-),四肢肌张力减弱,深浅反射正常,病理征阴性,脑膜刺激征阴性。
化验室检查:血常规、血乳酸未见明显异常,TORCH病原体IgG和IgM均阴性。血生化未能检测。
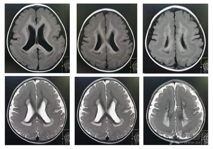
颅脑MRI如下:

脑电图:睡眠期双侧前头部、中央区可见少许中高波幅尖波、尖慢波散在发放。
家系三人全外显子检测:结果未汇报。
《婴儿-初中生社会生活能力量表》:标准分 9分(边缘)。
《0~6岁小儿神经心理发育诊断量表》:发育商 59分(轻度智力低下)。
各位老师和战友,三个简单问题:
1、 该患儿完整的影像学诊断是什么?
2、 该病的主要致病基因有哪些?该病的主要发病机制是什么?
3、 该病发病有何特点?
















































