看图识病:一朵长在膀胱里的「花」
感谢 @深圳市龙岗区人民医院超声科王理 分享的病例:
我们先来看基本资料:
患者性别:男
患者年龄:77 岁
简要病史:反复全程性肉眼血尿1月。
无明显诱因出现全程肉眼血尿,无伴血块,无恶心、呕吐,无尿频、尿急、尿痛。自患者起病以来,精神、睡眠、胃纳一般,大便正常,小便如前诉,近期体重未见明显下降。
既往史:曾有高血压病史,规律服用药物控制血压(具体不详);有慢性支气管炎、肺气肿病史10余年,规律予布地奈德福莫特罗吸入剂1吸 BID控制;否认糖尿病、冠心病病史,否认乙肝、结核病传染病史,否认外伤史,否认药物食物过敏史,预防接种史不详。否认家族类似遗传病及类似病史。
二维超声声像图:

膀胱后壁偏左侧见实性占位,边界凹凸不平,内回声不均。

CDFI:其内可见点条状血流信号。
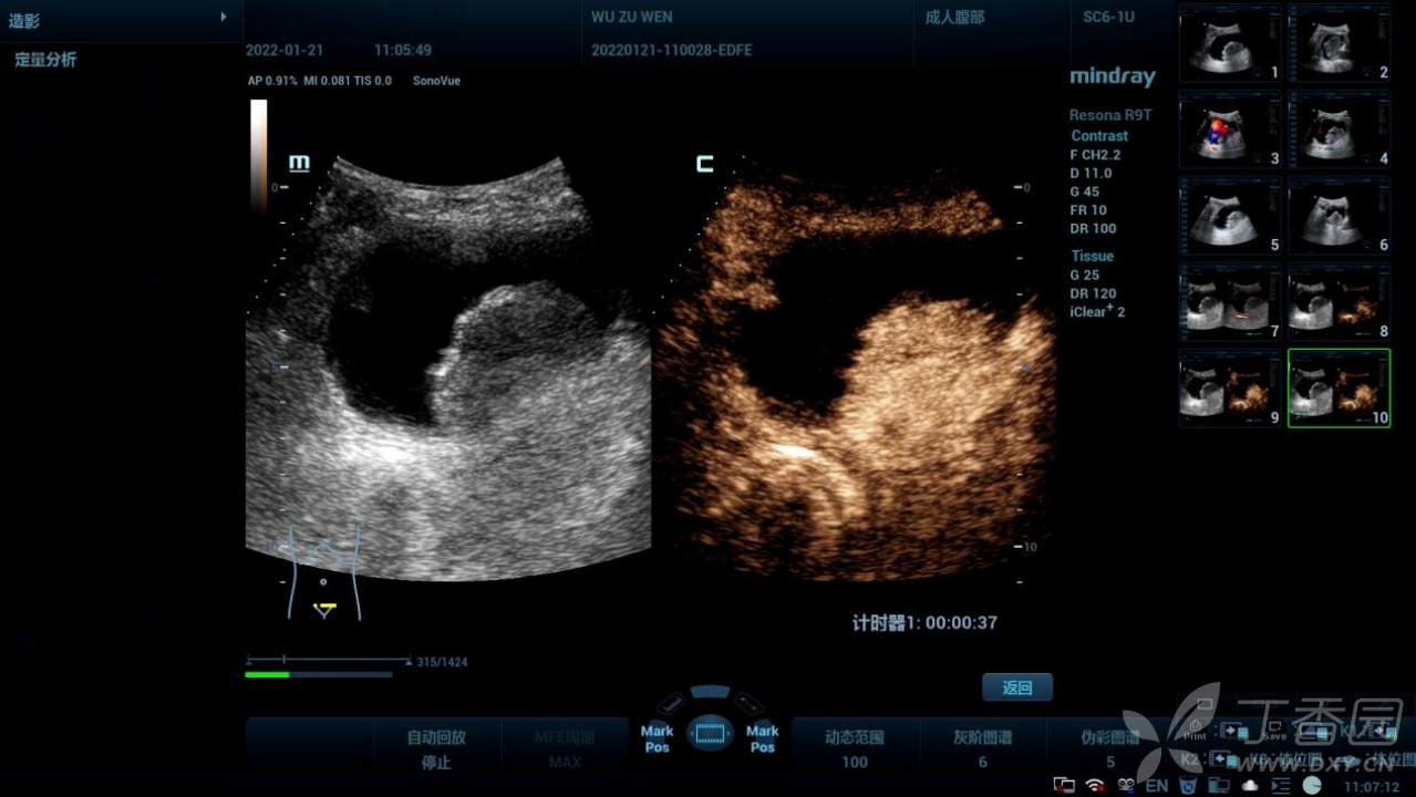
超声造影:

增强表现:动脉早期呈均匀高增强,动脉晚期均匀消退。
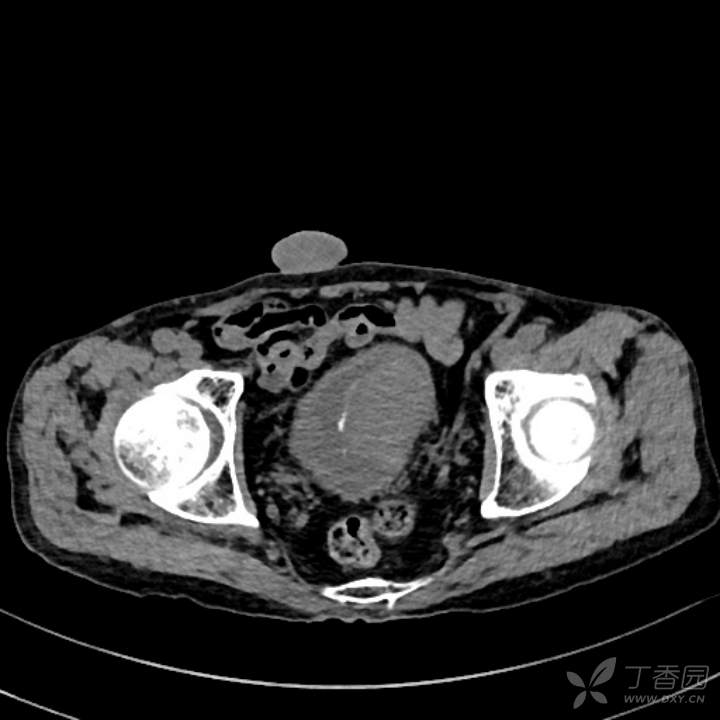
CT:

膀胱左侧壁及三角区见凸向腔内的菜花软组织块,宽基底。
实验室检查:

各位战友,你考虑什么疾病?如何鉴别?欢迎大家指导评论。
















































