血尿,为何膀胱如此脆弱???
怪事天天有,今年特别多。前有不明原因的脾破裂,出血3000ml。这又来个血尿的。
患者中年男性,57岁,卫健系统的公务员,身材中等。事情回到前一天晚上下班之后,患者出现肉眼血尿,伴尿痛,无其他不适,来找主任,主任一看上司来了,🐴上带着去做了泌尿系彩超、全腹CT,没有发现泌尿系占位、结石,但是发现“膀胱壁增厚,两侧肾盂扩张”。验个尿液分析,除了发现红细胞,无其他异常。主任考虑“泌尿系感染”,但是膀胱壁增厚不好解释,给输了点环丙沙星和阿莫西林,输完后患者排尿好转,就回家了,交待明天来住院好好查查。一夜无话。
次日早上,患者就来住院了,这一晚上排尿还是红的。询问病情,患者自述:前一日下午出现的肉眼血尿,也不知道怎么回事(如果非要说有什么病因的话,那就是觉得下腹部不舒服,自己揉了揉而已,除此之外,别的什么异常都没有,而且这是检查都做完之后问出来的),排尿有点疼,无其他不适。既往体健。查体:脐下压痛,其他无异常。
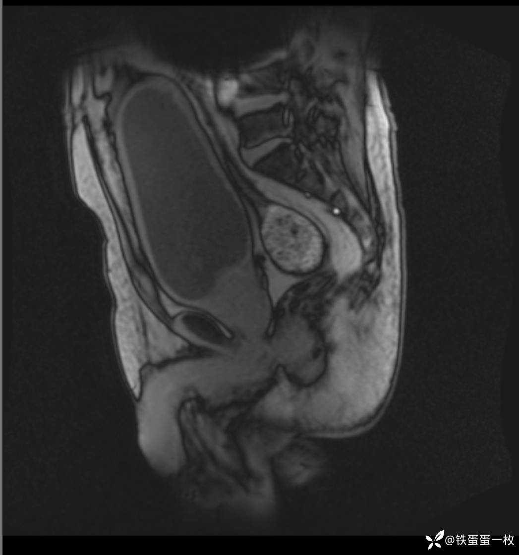
因为前一天晚上彩超、CT都做了,也没查到什么病因,所以直接开了盆腔核磁平扫+DWI+MRU,不一会核磁就打电话来了,说这个病人膀胱上缘周围渗液。你们考虑可能的原因是什么?我说,考虑可能是感染,这个病人既往体健,没有疾病史,昨晚突发血尿,没外伤,也没发现占位、结石,而且抗炎有效,伴有膀胱壁增厚,可能是膀胱炎的可能性大。核磁听了后说他的渗出可多了,给你们传过去看看,于是就有了如下片子↓




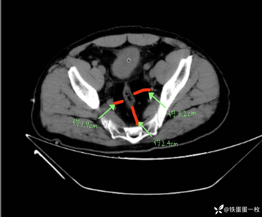
可是血尿的原因是什么呢?我们科室一群人在猜,最常见的肯定还是泌尿系统疾病啊。肾炎?膀胱炎?泌尿系结石、损伤?前列腺?占位?尿道病变?可能的原因想了一遍,可是觉得又都配不上他。这会彩超室又打来电话了,说你这个病人尿潴留,残尿500多毫升,而且考虑膀胱破裂,我让病人赶紧回科室去。于是就有了下面这张报告。

这会人家一说膀胱破了,我们也都是大明白了,怪不得血尿呢,原因在此。可是好好的膀胱又为什么无缘无故的破了呢?无暇顾及了,先处理再说吧。可是膀胱这么小的破裂又怎么处理呢?我这主治以前是既没见过,也没处理过。主任们也没处理过这样的,意见不统一,有说保守的,有说手术的。怎么办,病人上楼来了还在等着呢。查指南吧,最终让我在丁香园上找到一篇文章。

有了指南做后盾,处理起来就轻松多了,下上尿管,抗感染治疗。其中过程也是曲折不断,患者下上尿管后疼痛剧烈,曲马多不好使,打吗啡。血尿不停堵塞导尿管,捏捏管子冲冲管子的。(友情提示:如果大家以后遇到这样的,尽量下三腔导尿管,可以冲洗,现在的硅胶三腔导尿管质量好,舒适性也好,要不然咱就守床旁一直疏通吧)。
这会已经中午了,护士才见到病人,开始抽血送检。下午回报的结果,血液分析:白细胞10.5,中性粒7.9,占比75.3。血糖:9.87。肿瘤指标无异常。尿液分析:尿潜血+3≥200,尿蛋白+3,红细胞计数417个/ul。乙肝、艾滋、梅毒的都正常。剩下的没写的肝肾、血脂、心肌酶谱都是正常的。
等病人稳定了,不闹了,测个血压,194/91,半小时后复测200/130,我的个乖乖,让我一度都觉得血压计坏了,吃上药,慢慢来吧。
这会病人诊断就比较明确了,“1、膀胱破裂;2、尿潴留;3、前列腺增生;4、糖尿病;5、高血压”。(友情再提示:千万不要轻信病人的既往史,🤫,不是没有病,是压根不查。这还是知识分子呢,普通老百姓可想而知。)膀胱破裂处理是导尿+抗感染;前列腺增生、高血压是依那普利+特拉唑嗪;糖尿病是胰岛素。可是这个血尿+尿潴留+膀胱壁增厚的病因还是不明确啊。快下午下班了,经过核磁和彩超的沟通,核磁报告出来了。

这下多了个新词,让我空虚的大脑更加空虚了。“盆腔脂肪增多症”,听都没听过的新词,继续查资料。
以下为学习阶段(摘自东南大学附属中大医院放射科课件,如有侵权,有联系删除)
盆腔脂肪增多症(Pelvic lipomatosis,PL)是一种罕见的良性疾病,骨盆内正常脂肪组织无明显诱因过度增生,导致膀胱和直肠位移、变形,引起肾盂输尿管扩张积水便秘等症状。男性患者多见,男女比例18:1。发病年龄集中于20-60岁。
发病原因
发病原因尚不明确。现阶段认为,盆腔感染增加PL发病机率,另外肥胖、激素分泌异常、先天性血管异常也可能与该病相关。有学者提出,12号染色体上的HMGI-C基因编码的蛋白异常可能是病因之一。
临床表现
初期临床症状并不明显,中期约有一半以上患者出现症状
√ 泌尿系统症状:尿频、尿急、血尿等
√ 胃肠道症状:腹泻、便秘等
√ 腰背疼痛、腹痛等
√ 静脉系统受压症状:下肢水肿、血栓性静脉炎等
这些症状并无特异性,故增加了该病的误诊率。
诊断
临床症状特异性不明显,但影像学检查具有较高的鉴别意义,对该病的诊断主要依赖于影像学检查
1)CT检查可以发现PL患者多出现较为明显的肾积水,膀胱位置也发生改变;
2)MRI检查可发现膀胱出现变形,位置上抬,可以对盆腔内脂肪的形状、大小进行较为客观的观测。
影像学表现
直接征象:
盆腔内均匀低密度影,平均C值-90HU,存在大量脂肪,但无包膜,与膀胱四周正常脂肪组织间界限不清。
间接征象:
膀胱位置改变、膀胱壁增厚
膀胱颈部拉长,冠状位呈“梨形”
矢状位呈“茄形”、“长条形”
输尿管远端变细,近端扩张,可伴肾积水
膀胱尿道造影:梨形膀胱。(这就是核磁影像后面的图片存在的意义)。
可是可能就是可能,不是确诊啊。彩超也提出了不同意见,彩超倾向于“神经源性膀胱”。(以下摘自夸克健康百科,如有侵权,请联系删除)
神经源性膀胱是由支配膀胱的自主神经系统受损,丧失对膀胱逼尿肌和尿道括约肌的支配和调控,导致的膀胱贮尿和排尿功能的障碍。常见病因包括脊髓损伤、多发性硬化症、脑血管病变、帕金森病、糖尿病、脊髓脊膜膨出、骨盆和/或骶骨骨折以及手术引起的膀胱神经损伤等。
流行病学
·目前缺乏神经源性膀胱相关的流行病学研究资料,暂无具体的发病率数据。
·神经源性膀胱好发于患有神经系统损伤
、糖尿病、脊髓灰质炎等疾病的人群,没有显著的性别差异。
·神经源性膀胱不具有传染性。
直接原因
中枢神经系统因素:包括脑血管意外、颅脑肿瘤、压力正常的脑积水、脑瘫、基底节病变、多系统萎缩、多发性硬化症、脊髓病变、椎间盘病变及椎管狭窄等影响中枢神经系统的疾病。神经调控出现紊乱,导致逼尿肌和括约肌功能异常进而出现排尿障碍,引起神经源性膀胱。
外周神经系统因素:包括糖尿病(尤其是2型糖尿病)、长期酗酒、药物滥用,以及其他不常见的神经病变如卟啉病及结节病等。机制同中枢神经损害。
感染性疾病:人类T淋巴细胞病毒感染、获得性免疫缺陷综合征、感染性多发性神经根炎、莱姆(Lyme)病、带状疱疹、脊髓灰质炎、梅毒及结核等。感染性疾病可侵袭神经系统,引起神经调控功能紊乱,进而诱发神经源性膀胱。
医源性因素:脊柱手术、根治性盆腔手术如直肠癌根治术、根治性子宫全切术、前列腺癌根治术、区域脊髓麻醉及放射治疗等也可因损伤神经系统而诱发神经源性膀胱。
其他因素
免疫力低下:患有免疫系统疾病或使用免疫抑制剂的人群因免疫力低下导致身体不能有效清除侵袭神经系统的病原微生物,可间接诱发神经源性膀胱。
欣曼(Hinman)综合征:精神因素所致的一种逼尿肌收缩时尿道括约肌也同时收缩的异常性疾病。
重症肌无力:是一种较为常见的神经-肌肉接头传递功能障碍的自身免疫性疾病。可导致逼尿肌收缩减弱甚至无反引起排尿困难。
系统性红斑狼疮及家族性淀粉样变性多发性神经病变:也可能与神经源性膀胱有关。
对于这个病人来说,确实都很像,也很难确定是哪一种疾病,让我也很懵。6天后,复查了腹部CT,膀胱周围渗出明显减少,继续治疗5日后带尿管出院。




3周的时候患者回院复查彩超,双侧肾盂输尿管扩张已消失,周围未见渗出。4周的时候(其实就是发文的前一日)拔出导尿管,遗憾的是拔出后患者未能自主排尿,虽然患者自诉有憋胀感,但是给我的感觉是患者憋胀不是很强烈。只能再次留置尿管,导出尿液500ml。
鉴于自己的能力问题和水平欠缺,未能明确此患者的病因。县级二甲医院,处理这种疑难病例确实难度很大。目前已建议患者去上级医院继续就诊。我也将持续关注这个病人,有了进展及时告知大家。
















































