病例分享丨 三叉神经痛还是舌咽神经痛?

三叉神经痛还是舌咽神经痛?
患者男性, 72岁 ,主因“舌左侧间歇性剧烈疼痛8个月”入院。
患者8个月前无明显诱因出现间歇性舌左侧中部剧烈疼痛,舌运动、触碰(咀嚼食物)时触发,吞咽或进流质饮食无明显疼痛。4个月前于外院诊断为“左侧舌咽神经痛”,行“左侧舌咽神经微血管减压术”治疗,术后第2天疼痛发作如术前,且疼痛症状逐渐加重,予口服卡马西平后,症状有缓解;术后第3天发现鼻流“清水”,左耳听力明显下降,术后10天鼻流清水症状消失。出院后持续服用卡马西平,疼痛部分缓解。
既往有高血压病史6年,最高血压200+mmHg,予缬沙坦、西尼地平口服治疗,自诉血压控制可。7年前因冠心病在外院行冠脉支架植入术,植入支架两枚。1年前因“早搏”于外院行射频消融术。
入院查体:舌运动时触发左侧舌疼痛,触碰左舌侧中部可诱发疼痛发作,无吞咽障碍。余检查无特殊。
疼痛区域如下图:

术前辅查:
电测听

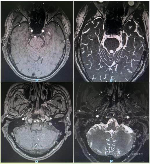
外院内耳MRI(第一次手术前)

MR:左侧舌咽神经明显受血管压迫(小脑后下动脉),三叉神经是否存在血管压迫显示不清(医师自己阅片)

我院三叉神经/面神经MRI(第二次手术前)

MR:左侧舌咽神经周围结构稍紊乱,似见原小脑后下动已移位,未见明确血管压迫;左三叉神经似与血管(小脑上动脉)关系密切(医师自己阅片)

入院诊断:左侧舌咽神经痛?高血压病3级 很高危;冠心病 PCI术后;射频消融术后;左侧舌咽神经微血管减压术后;左耳听力下降;一过性脑脊液鼻漏
术前讨论:
1、微血管减压术治疗舌咽神经痛在三组颅神经中效果是最好的,只要明确舌咽神经痛是受血管压迫引起,减压效果良好,因此,首次手术无效,应考虑诊断是否合理或术中是否对目标神经进行有效减压。
2、病人明确叙述为舌左侧中间段疼痛,并无舌根部或咽喉部疼痛,同时无吞咽功能障碍,不是舌咽神经痛典型症状。
3、舌咽神经支配舌后1/3味觉和一般感觉,而舌前2/3味觉来自面神经(中间神经)、一般感觉来自三叉神经(舌神经)。因此诊断首先应考虑三叉神经痛,其次再考虑舌咽神经痛。手术方案首先行三叉神经微血管减压,考虑舌咽神经已行微血管减压,再次减压可能存在困难,如探查舌咽神经周围粘连明显,在没有安保障情况下,不做舌咽神经减压,以免损伤舌咽神经导致术后吞咽困难、呛咳。
依术前讨论方案,于2022年07月15日行左侧桥小脑角区探查术。
术中所见:首先探查三叉神经走形区域,见三叉神经入桥脑处(REZ)下方有一小血管贴近并见神经垫片与之粘连,未见对三叉神经形成压迫,且该血管较小,不考虑为责任血管(见图和视频)。

探查三叉神经上极,剪开蛛网膜束带后可见小脑上动脉从前上向后下明显压迫三叉神经REZ区,垫开后继续分离三叉神经束带粘连,于三叉神经近麦氏囊处见小脑上动脉向前下转折并压迫左三叉神经,予分离后垫开。
最后探查舌咽神经与面听神经之间间隙,见舌咽神周围形成包裹,解剖不清,未见明显血管压迫,遂不再做进一步分离解剖,结束手术(见视频)。

术后病人舌痛完全消失。
小结:左侧舌痛,且MR提示左侧舌咽神经受血管压迫明显,而三叉神经是否存在血管压迫难以判断或不典型,同时可能忽略了病史详细采集或对各颅神经支配区域定位不明了,增加了诊断难度。本病例无咽喉部疼痛,无吞咽时诱发疼痛发作,因而单纯诊断为舌咽神经痛,证据并不充分。舌咽神经支配舌后1/3味觉和一般感觉,而舌前2/3味觉来自面神经(中间神经)、一般感觉来自三叉神经(舌神经)。根据患者症状,诊断为三叉神经痛更吻合。患者第一次术前诊断为“舌咽神经痛”,行舌咽神经微血管减压术后,症状不缓解。此次入院后手术探查三叉神经并行全程减压,未对舌咽神经减压,术后病人症状完全消失,支持三叉神经痛诊断。第一次手术虽有探查三叉神经,但未行全程仔细分离解剖,未明确主责任血管;第二次手术术前诊断考虑为三叉神经痛,故术中全程探查三叉神经,予神经充分减压,术后效果良好。三叉神经微血管减压术需充分探查三叉神经桥池段,分离所有可疑责任血管。
三叉神经痛多表现为面颊部疼痛,单纯表现为舌痛少见,该病例确实容易与舌咽神经痛混淆。
颅神经疾病的诊断主要依据临床表现,MR(或神经是否存血管压迫)只做为临床诊断的支持而不是依据。如术前难以确认疼痛来自哪条颅神经,需同时行可疑神经微血管减压。
———————
蔡坤皓医师简介:
深圳市人民医院神经外科 主任医师
广东省精准医学应用学会颅神经分会 副主委
深圳市医师协会神经调控专业委员会 副主委
















































