dxy logo
首页丁香园病例库全部版块
搜索
登录

[每周胸片49期] 观影识病 支气管异物在哪里?(结果已公布)

影像核医学版达人 · 发布于 2020-05-25 · IP 广西广西
2794 浏览
iconzxz068 +5 丁当
这个帖子发布于 5 年零 181 天前,其中的信息可能已发生改变或有所发展。


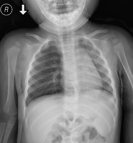
患儿男,2岁,临床以支气异物送来拍仰卧位胸片。有结果,暂时不告知患者异物吸入史。

 仅凭这张平片(这个患儿没做CT),你的诊断是什么?异物在哪侧支气管呢?为什么?

img

    

24 17 7

全部讨论(0)

默认最新
avatar
24
分享帖子
share-weibo分享到微博
share-weibo分享到微信
认证
返回顶部