婴幼儿胸片气管向右弯曲,是正常的?
病例题
患儿,女,1岁,发热和犬吠样咳嗽2天,但对肾上腺素吸入无反应。胸部影像学检查显示气管向右弯曲,但未见血管压迫或肿瘤。患儿在做影像检查时哭得很厉害。下一步怎么办?
A、进行支气管镜检查
B、胸部CT
C、安静时再做一次胸片
D、气管插管
…………………………
病例介绍
患者年龄:1岁
患者性别:女
简要病史:
因发热和犬吠样咳嗽2天而转诊至急诊。初诊医生给她单剂量吸入肾上腺素,但并没有改善她的症状。
患儿在哭泣时出现吸气性喘鸣和中度胸壁回缩,但没有发现紫绀。血氧饱和度正常。
患儿症状提示急性喉炎;但是,肾上腺素吸入治疗并没有改善,持续有中度吸气性喘鸣。因此,进行血常规和免疫功能以排除感染性疾病。C反应蛋白(1.87mg/dL)和白细胞计数(13600个/mm3)轻度升高。
胸片显示气管向右弯曲(图a,箭头所示)。

因怀疑胸腔内肿物而进行胸部CT检查,显示气管有右偏(图,B,箭头所示),但没有发现肿物或血管压迫。患儿在影像检查时哭吵。

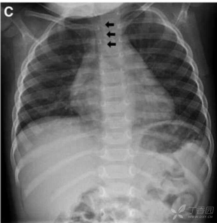
入院后4小时,在安静状态下,胸片检查显示气管是直的(图,C,箭头)。

考虑到这一发现和胸部CT显示没有胸腔内异常,结论是,这种气管弯曲并不提示存在病变,而且与患儿的急性喉炎无关。
患儿接受了肾上腺素吸入和口服皮质类固醇治疗,第二天吸气性喘鸣消失。
病例述评
认识某些X线的正常结构和异常表现,有一 定的临床意义。婴幼儿气管向右弯曲: 这往往是正常的X线表现。在患儿安静后,再做一次,这种弯曲消失。早年曾有过研究,5岁之前,患儿胸片上的气管向右弯曲并不少见。

英语朗读
Tracheal buckling is a normal radiographic finding, often observed while imaging under expiratory conditions (crying) in children up to 5 years of age.
It is characterized by flexion of the trachea to the right side.
It is present in approximately one-half of children up to 2 years of age and also may occur in newborns.
It may be caused by upward movement of the thymus during expiration as a result of the child’s flexible and mobile trachea.

















































