dxy logo
首页丁香园病例库全部版块
搜索
登录

【病例挑战】第9期:女,21,全身皮疹14年,这是什么病?(公布答案)

丁香园官方号 · 发布于 2019-07-12 · IP 浙江浙江
5714 浏览
这个帖子发布于 6 年零 135 天前,其中的信息可能已发生改变或有所发展。

患者,女,21岁。主诉:全身反复皮疹14年,时伴瘙痒。

患者14年前于躯干部出现红色小斑疹,并渐出现小白疱,皮疹数周可脱屑好转,但反复发作于躯干,有时伴瘙痒,夏天较重。4个月前上肢出现相似皮疹,无发热、关节痛等全身症状。患者自发病来,饮食睡眠可,大小便正常。

既往史、家族史:体健,家族中无类似病史。

体格检查一般情况:一般情况可,全身浅表淋巴结未触及。系统检查未见异常。

专科情况:腹部散在大小不等、形状不规则红斑,部分呈环形,躯干广泛白色薄鳞屑,右上肢片状红斑,伴针尖大小脓疱,散在红丘疹,如图

img


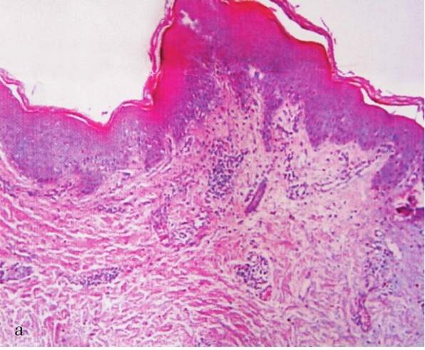
组织病理:

img

img

img

你的诊断是?


答案已公布,见14楼


想挑战更多病例?请点击👇

【病例挑战】专题汇总

13 23 点赞

全部讨论(0)

默认最新
avatar
13
分享帖子
share-weibo分享到微博
share-weibo分享到微信
认证
返回顶部