【病例挑战】第 3 期:患者女,皮疹6月余,资料全,你的诊断是?(答案已公布)
答案已公布,见11楼
病史简介:
患者,女,53岁。
主诉:外阴皮疹6月余,偶痒。
现病史:患者6月余前发现外阴出现皮疹,皮疹逐渐增多,不易破,偶感瘙痒。患者自发病来,饮食睡眠可,大小便正常。
既往史、家族史:既往体健,家族中无类似病史。
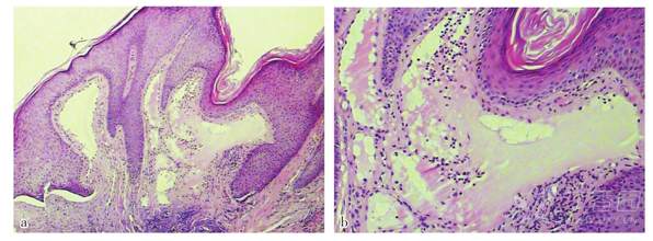
体格检查一般情况:一般情况可,全身浅表淋巴结未触及。系统检查未见异常。
专科情况:双侧大阴唇内外侧散在粟粒至黄豆大小红褐色群集性丘疹,半透明,表面光滑,似蛙卵样,无脱屑及破溃,部分皮疹表面角化过度,似疣状,相互融合成肥厚性斑块,质硬,以左侧为著


根据以上信息,你的分析和诊断是?
请在评论区说出你的见解及分析,优秀者会有丁当奖励(丁当均可用于丁当商城兑换),并会邀请进入【丁香园皮肤版同行交流群】,与专家进行交流学习哦~
想挑战更多病例?请点击????
















































