dxy logo
首页丁香园病例库全部版块
搜索
登录

【讨论】左肾“蛋壳样”巨大肿块-病理结果已公布

放射科医师 · 发布于 2013-04-02 · IP 云南云南
1.4 万 浏览
icon华夏览雄 达人已点赞
这个帖子发布于 12 年零 240 天前,其中的信息可能已发生改变或有所发展。
左肾包块
女,70岁;因“反复右上腹痛6年”,以慢性胆囊炎,胆囊多发结石于 2013年03月18日收入本院。
患者于6年前油腻饮食后出现右上腹痛,呈阵发性绞痛,并向右侧肩背部牵涉,伴恶心未呕吐。
入院常规检查发现:左肾肿块。

第一部分:KUB+IVU
图1,KUB:
img

图2,IVU:

img


img


img

X线:左肾下极肿块,边界光滑,多发点片状钙化灶,左肾下肾盏受压移位、拉长、变形,肾盂输尿管上段未受侵犯。

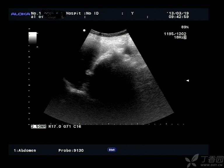
第二部分:B超

img















该帖还没有疾病标签去添加
94 39 1
同行评议(0)
已评议
不开通精选
开通精选
精选已授权,待上线
评议结果暂未公布
参与评议
去邀请
NaN
病例完整NaN
临床实用NaN
诊疗科学NaN
学术价值NaN

全部讨论(0)

默认最新
avatar
94
分享帖子
share-weibo分享到微博
share-weibo分享到微信
认证
返回顶部