dxy logo
首页丁香园病例库全部版块
搜索
登录

病例又见肱二头肌长头腱断裂(大力水手征)

用户头像
超声医学版达人 · 发布于 12-02 · 来自 Android · IP 北京北京
778 浏览
icon范特西_ 推荐

病例信息

患者女性,48岁,左上臂肿物1月就诊。

1月前发现左上臂肿物,无疼痛,无明显功能障碍。今日就诊,行左上臂肿物超声检查:

img

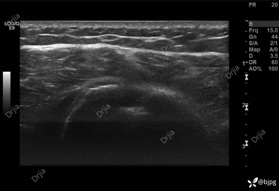
左侧结节间沟空虚


img

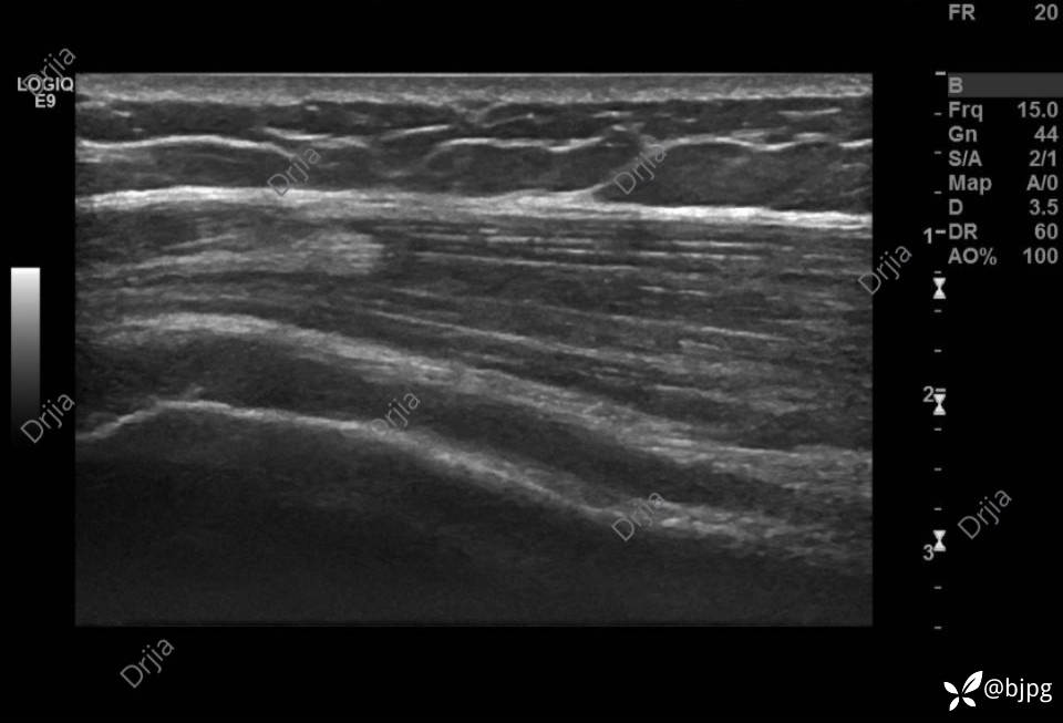
沿肱二头肌走行区纵切扫查未见肌腱影像


img

肱二头肌肌腹圆钝,腱腹移行消失


img

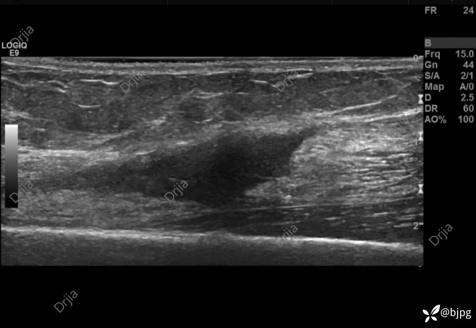
肱二头肌远心端断端血肿形成


病例讨论

肱二头肌长头腱断裂分为急性断裂和慢性断裂。

急性断裂:少见,多见于干体力劳动的青壮年,常发生于用力过猛。

慢性断裂:多见于老年人,以肱二头肌肌腱慢性炎性反应合并周围组织退变引起肌腱断裂为主,一般患者无明显症状,功能也不受限。

肱二头肌长头腱断裂患者表现为大力水手征,遗憾没有拍照,下次遇到补上。

分享一例常见病例
6303 讨论
肱二头肌长头肌肉损伤 (3)
纠错
15 1 7
同行评议(6)
参与评议
已评议
不开通精选
开通精选
精选已授权,待上线
评议结果暂未公布
参与评议
去邀请
参与病例讨论,解锁评议权益
您的专业意见将作为丁香园病例库收录的重要依据
3.7
病例完整3.7
临床实用3.7
诊疗科学3.7
学术价值3.5
评议
开分
入库

全部讨论(0)

默认最新
avatar
15
分享帖子
share-weibo分享到微博
share-weibo分享到微信
认证
返回顶部