dxy logo
首页丁香园病例库全部版块
搜索
登录

这是皮肤转移了么

用户头像
超声医学版达人 · 发布于 11-27 · 来自 iOS · IP 河北河北
1092 浏览
icon范特西_ 推荐

病例信息

女 58岁,左乳癌术后2年。先是皮肤出现红色的斑丘,抹药,但效果不明确,时好时坏,然后出现破溃,胸腹壁还有一些斑丘。

病例讨论


img

仅专业人士可见

皮肤外观


img

斑丘的超声表现:皮肤层低回声区


img

脂肪层血流信号增多


img

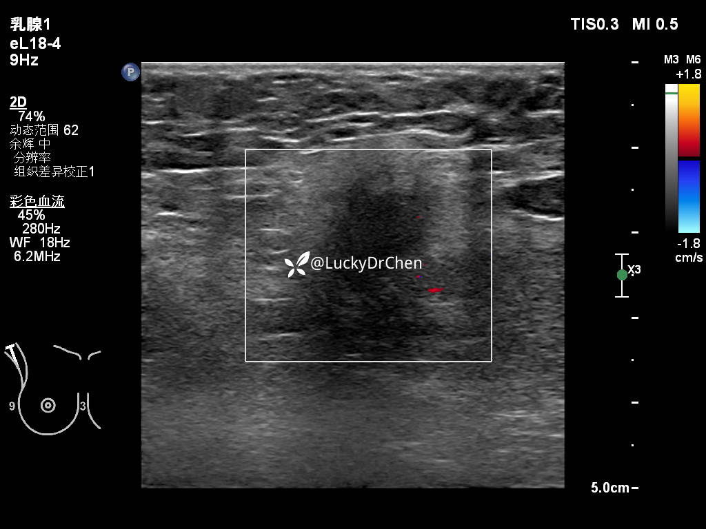
右侧腋下低回声,形态不规则,边界不清晰,周边高回声晕


img

可见点状血流信号


img

腋下肿大淋巴结

请教大家,这是转移到皮肤了么?右腋下是转移癌还是新发灶?

皮肤转移癌 (5)
纠错
10 3 6
同行评议(3)
参与评议
已评议
不开通精选
开通精选
精选已授权,待上线
评议结果暂未公布
参与评议
去邀请
参与病例讨论,解锁评议权益
您的专业意见将作为丁香园病例库收录的重要依据
3.8
病例完整4.0
临床实用3.7
诊疗科学4.0
学术价值3.7

全部讨论(0)

默认最新
avatar
10
分享帖子
share-weibo分享到微博
share-weibo分享到微信
认证
返回顶部