10个月宝宝突然暗红血便,真凶居然是?
文侠 推荐病例信息
10月龄,男性患儿,以“便血3小时”急诊入院。3小时前患儿无明显诱因突发大量暗红色血便,无哭闹、呕吐、发热等不适。查体:腹稍胀,腹软无压痛,肠鸣音活跃。
检验:血红蛋白92g/L;余无明显异常;
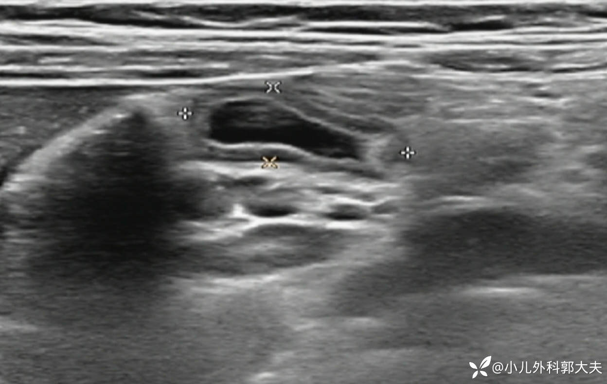
超声提示右下腹异常肠管回声

异位胃粘膜显像阳性(箭头)

病例讨论
入院后给予抑酸、止血药物应用后,便血情况好转。该患儿最可能的诊断是什么呢?
1.肠套叠?
2.小肠结肠炎?
3.肠道息肉?
4.麦克尔憩室?
5.消化道溃疡?
患儿症状好转后,继续保守治疗么?影像学发现典型病变,我们需要考虑什么。首先常见的原因比如肠套叠,果酱样血便是常见症状,但患儿会有哭闹不止,呕吐、发热等,并进行性加重,该患儿除了便血,无其他症状。小肠结肠炎?往往有更换奶粉,或喂养相关不耐受,病程较长,逐渐加重。还是其他原因?
最终,我们锁定一种常见引发儿童消化道出血的外科疾病-麦克尔憩室!该憩室是由于卵黄囊脐肠管肠端未闭合,通常位于回肠,距离回盲部40-80cm不等,系膜对侧缘。因为憩室上残留有异位胃粘膜或异位胰腺,分泌酸性物或胰酶引起局部肠粘膜的腐蚀,引发出血,该患儿便是如此。此外,部分患儿憩室发炎,局部粘连,虽然没有出血,但粘连引起肠梗阻,并伴有腹膜炎,早期容易漏诊,即使外科指征明确,也容易误诊为阑尾炎。该患儿随后接受了腹腔镜辅助梅克尔憩室切除,因为仅仅为出血,所以局部没有明显粘连,我们用闭合器在基底部给予闭合。患儿3天恢复经口喂养,1周后恢复良好出院。以下为术中图片:

图示:腹腔镜3mm辅助钳,抓住憩室,经脐部小切口,提出。结扎滋养血管,基底部闭合器闭合;

图示:闭合后还纳入腹腔,成形肚脐。
最后一个小问题:闭合与局部回肠切除端端吻合,该如何选择?
















































