O臂导航下经侧后方经皮椎间孔入路脊柱内镜下上胸椎结核病灶清除术(附手术讲解)
【患者信息】:男,85岁
【主诉】:背痛3月,加重伴双下肢无力1周余
【现病史及既往史】:3月前出现上背痛,晨起及翻身后疼痛加重,贴膏药和平躺时疼痛稍缓解,1周余加重伴双下肢无力。既往史:高血压病史40年,糖尿病史10余年,20年前腰椎手术病史。
【体格检查】:专科情况:坐轮椅来院,脊柱无畸形,颈腰椎无压、叩击痛,胸背部肩胛间区叩击痛阳性,颈椎和双上肢主被动活动因背部牵涉痛而部分受限。双上肢肌力正常,双下肢肌力4级,感觉正常。颈椎主被动活动因疼痛受限。评分:背部疼痛VAS评分:7分。
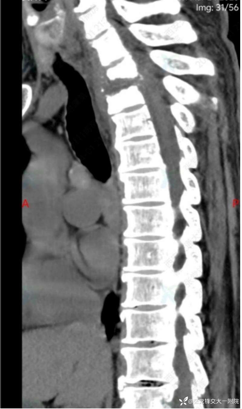
【影像学检查】
术前MRI



术前CT


术前x线片


全身骨显像:胸2-3椎体骨代谢增高,结合病史考虑脊柱结核可能。
【实验室检查】:
1.肿瘤标志物十三项:阴性
2.血沉:113mm/h;C反应蛋白:112mg/L
3.白介素6: 54.30 pg/ml;降钙素原0.080 pg/ml
4.布氏杆菌凝集试验阴性,结核感染T淋巴细胞检测阳性。


【临床诊断】
1.胸椎结核并不全瘫;2.胸椎管狭窄并脊髓损伤;3.高血压;4.2型糖尿病
【治疗经过及结果】
围手术期处理:
1、手术术前常规检查:血常规、肝肾功能、凝血功能、传染性指标、胸片、心动超声。
2、血压、血糖控制。
3. 药物方案:异烟肼+利福平+吡嗪酰胺+乙胺丁醇,四联抗结核治疗2周。
手术方案: O臂导航引导下经侧后方经皮椎间孔入路椎间孔镜下上胸椎结核病灶清除术
(一)体位:俯卧位,体表定位
1.全身麻醉后,俯卧位,腹部悬空,安装神经电生理监测装置,0形臂快速定位胸2、3棘突并标记体表皮肤,常规消毒、铺无菌手术巾。

2.沿胸3棘突表面切开长约2cm切口,将棘突夹牢稳夹于胸3棘突, 安装导航参考架,使用0型臂三维影像系统扫描胸2-3椎间隙,获取三维重建图像,再次证实棘突夹子夹于胸3棘突上。


3.在导航引导下确定右侧穿刺点,选择侧后方肋横突间隙入路,避开肋骨头、穿刺点位于胸2棘突右侧旁开 3-4cm位置, 沿穿刺点切开皮肤 1cm, 导航实时引导下以 20G细针穿刺至胸2-3椎间隙右后外侧缘方向,导航三维显示在矢状位、横断位、冠状位上穿刺针位置良好,避免偏外损伤胸膜或偏内进入椎管损伤神经,导航引导沿穿刺针置入工作通道,过程中轻柔分离软组织,避免损伤神经血管束,避免穿透胸膜,连接椎间孔镜系统,生理盐水持续灌注。导航引导下沿正确方向逐渐将工作通道旋转打入胸2-3椎间隙后外侧缘,清除通道内此过程扩张脱落的少量骨性组织,进入病变区域,可见椎间隙后方有干酪样坏死物、死骨及炎性组织,使用镜下血咬骨钳等清除这些病变组织,扩大减压至相邻椎体后缘,病变组织清除后可见椎间隙后方脊髓硬膜囊膨起,神经根显露,脊髓和神经根压迫明显解除,并可见首髓波动。
4.同法,于胸2棘突左侧旁开3-4cm, 0形臂导航实时引导下于胸 2-3左后外侧缘方向置入工作通道,依次清创椎间隙左后方结核病变组织,检查硬膜囊搏动良好,无神经根受压,病灶范围满意,套管轨迹良好,同样未穿透胸膜,无气胸征象,神经电生理监测无异常,退出工作通道,缝合切口。
植入通道

摘除的胸2-3椎间凸向后方椎管的炎性坏死组织

两侧的微创通道切口和中间导航参考架固定棘突的切口

【术后情况】
(一)术后三天复查炎症指标明显下降:
1.血沉:62mm/h;C反应蛋白:21mg/L
2.白介素6: 12.70 pg/ml;降钙素原0.364 pg/mL
(二)症状明显缓解

左侧术前

右侧术后
术前患者背痛疼痛剧烈,因背痛颈部和双上肢不敢活动,翻身困难,术后背痛消失,颈部和双上肢活动自如。
总结:
上胸椎因解剖复杂(如肋骨阻挡),传统需开胸手术,O臂导航引导下经侧后路椎间孔镜下上胸椎结核病灶清除术是一种结合微创脊柱内镜技术与结核病灶清除的创新术式。
该技术通过侧后路肋横关节旁椎间孔入路,在椎间孔镜辅助下精准清除结核坏死组织、脓液及死骨,避免传统开胸手术的创伤,尤其适用于高龄、基础疾病多、无法耐受大开胸手术的上胸椎结核患者。通过内镜下微创入路可以减小创伤,增加了耐受度。
技术关键点:
定位:O臂引导下标记胸2-3肋横关节旁入路点。
穿刺与通道建立:在O臂导航下逐级扩张置入工作套管,避免穿破胸膜和损伤血管神经,对上关节突和椎弓根上缘成形。
内镜操作:镜下清除坏死组织、脓液及死骨,射频止血,必要时植骨。
技术难点:
上胸椎由于肩胛骨遮挡,无法定位。解剖复杂,需避免损伤胸膜、神经根及血管。应对措施:采用O臂导航。
术种组织结构不清,操作损伤脊髓,造成截瘫。应对措施:术中脊髓肌电监护
技术可能产生并发症及处理措施:
(1)胸膜损伤
处理措施:立即停止操作,胸腔闭式引流。
(2)神经损伤
处理措施:术中O臂导航和神经电生理监测,发现异常即调整穿刺路径。
(3)出血
处理措施:镜下射频止血或止血胶等。
















































