一例侵袭性肺曲霉病支气管镜下表现分享
离床医学离床医学 推荐患者女性,67岁
发现胰头腺癌2个月,半月前行新辅助化疗
此次因“发热伴腹泻半月余”入院



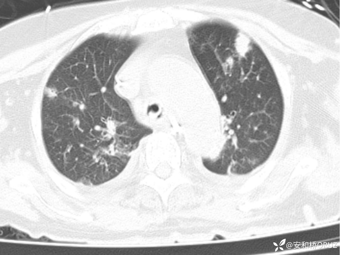
两肺见散在斑点、结节状、片状高密度影,部分界欠清
血清G试验,GM试验阴性

镜下见双肺各叶段支气管黏膜充血水肿,管壁多发白色膜状赘生物,触之易出血,双侧下叶基底段可见白粘痰,予吸除送痰培养,痰涂片,荧光染色

离床医学离床医学 推荐患者女性,67岁
发现胰头腺癌2个月,半月前行新辅助化疗
此次因“发热伴腹泻半月余”入院



两肺见散在斑点、结节状、片状高密度影,部分界欠清
血清G试验,GM试验阴性

镜下见双肺各叶段支气管黏膜充血水肿,管壁多发白色膜状赘生物,触之易出血,双侧下叶基底段可见白粘痰,予吸除送痰培养,痰涂片,荧光染色

