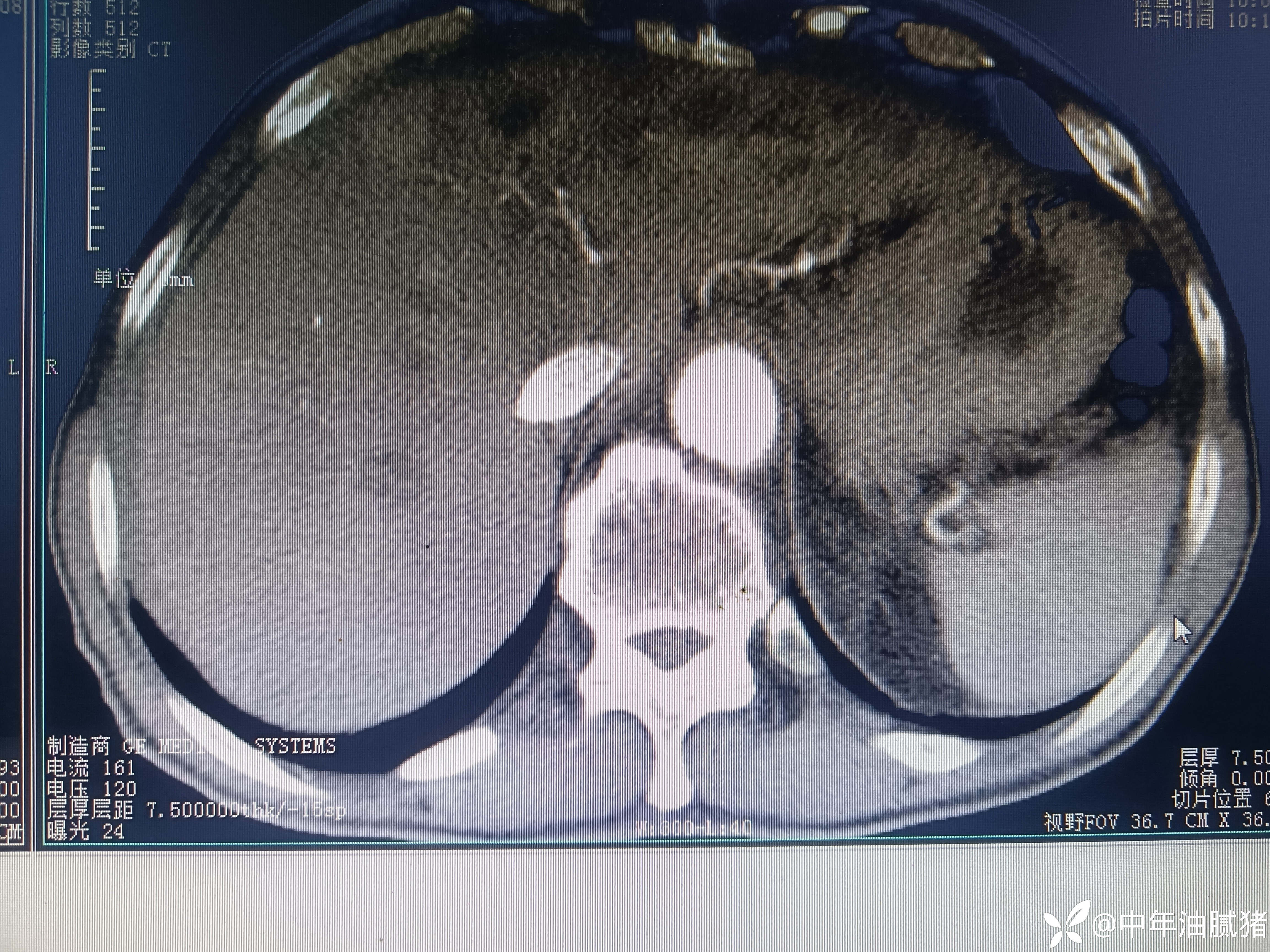
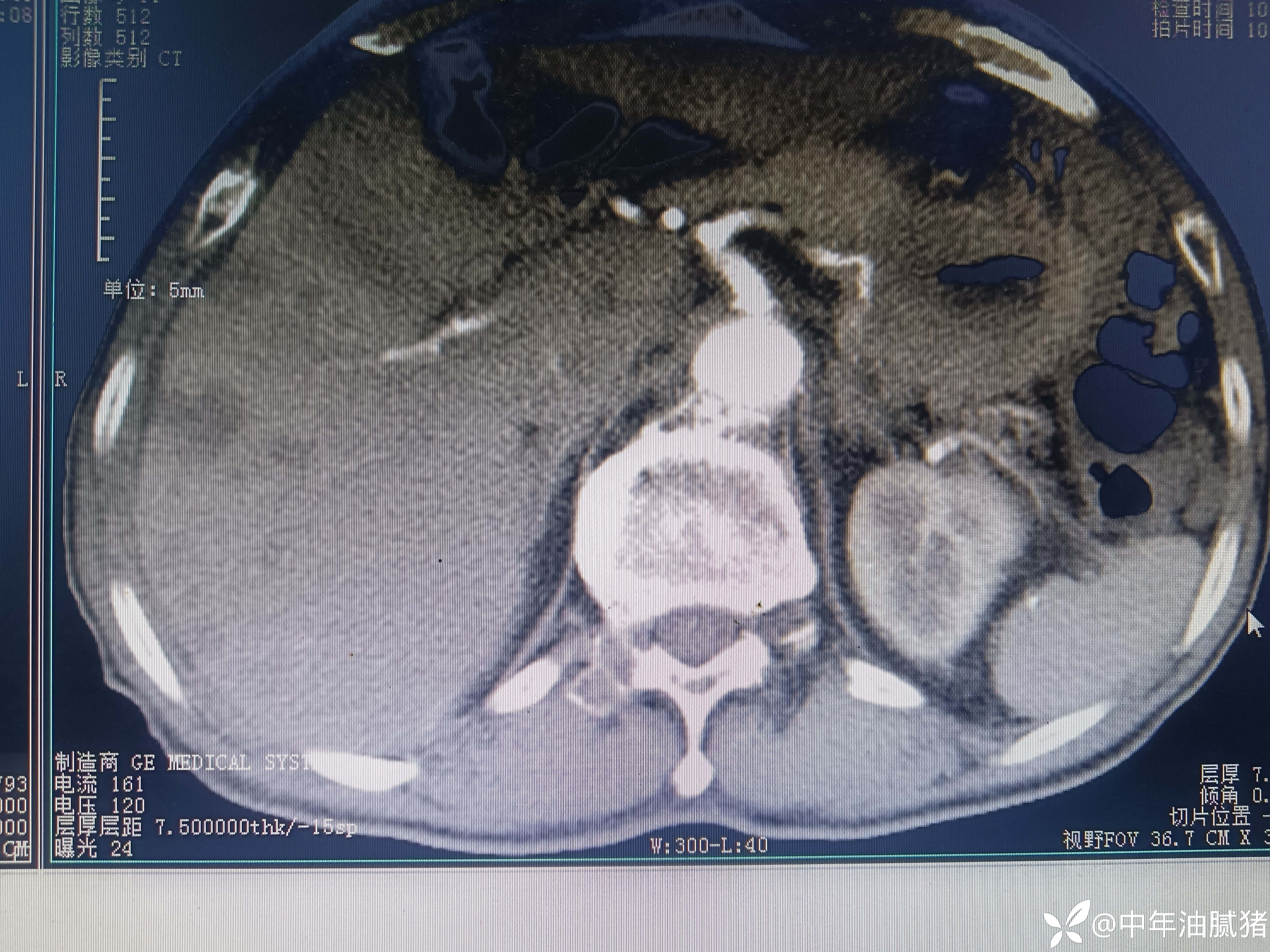
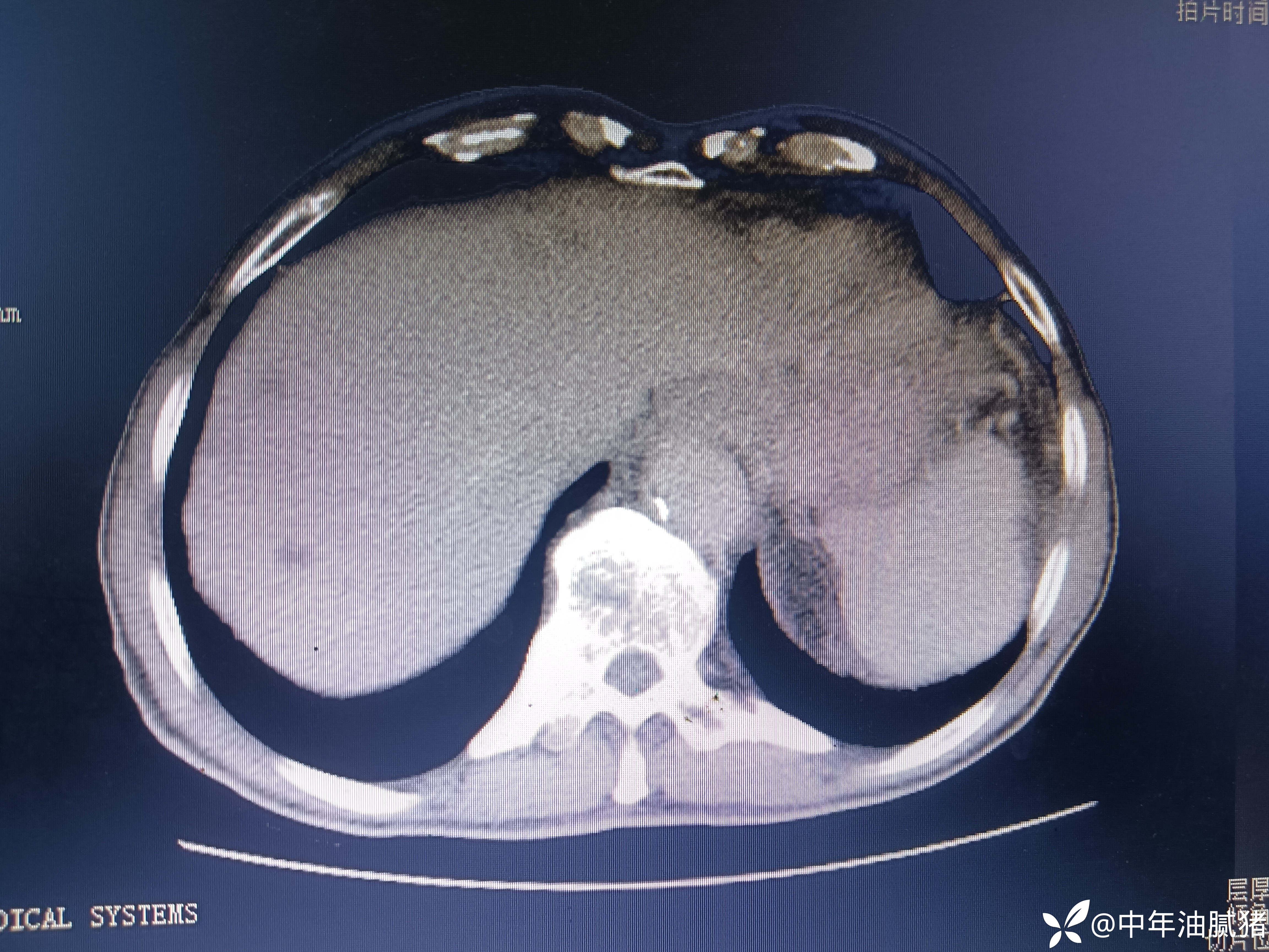
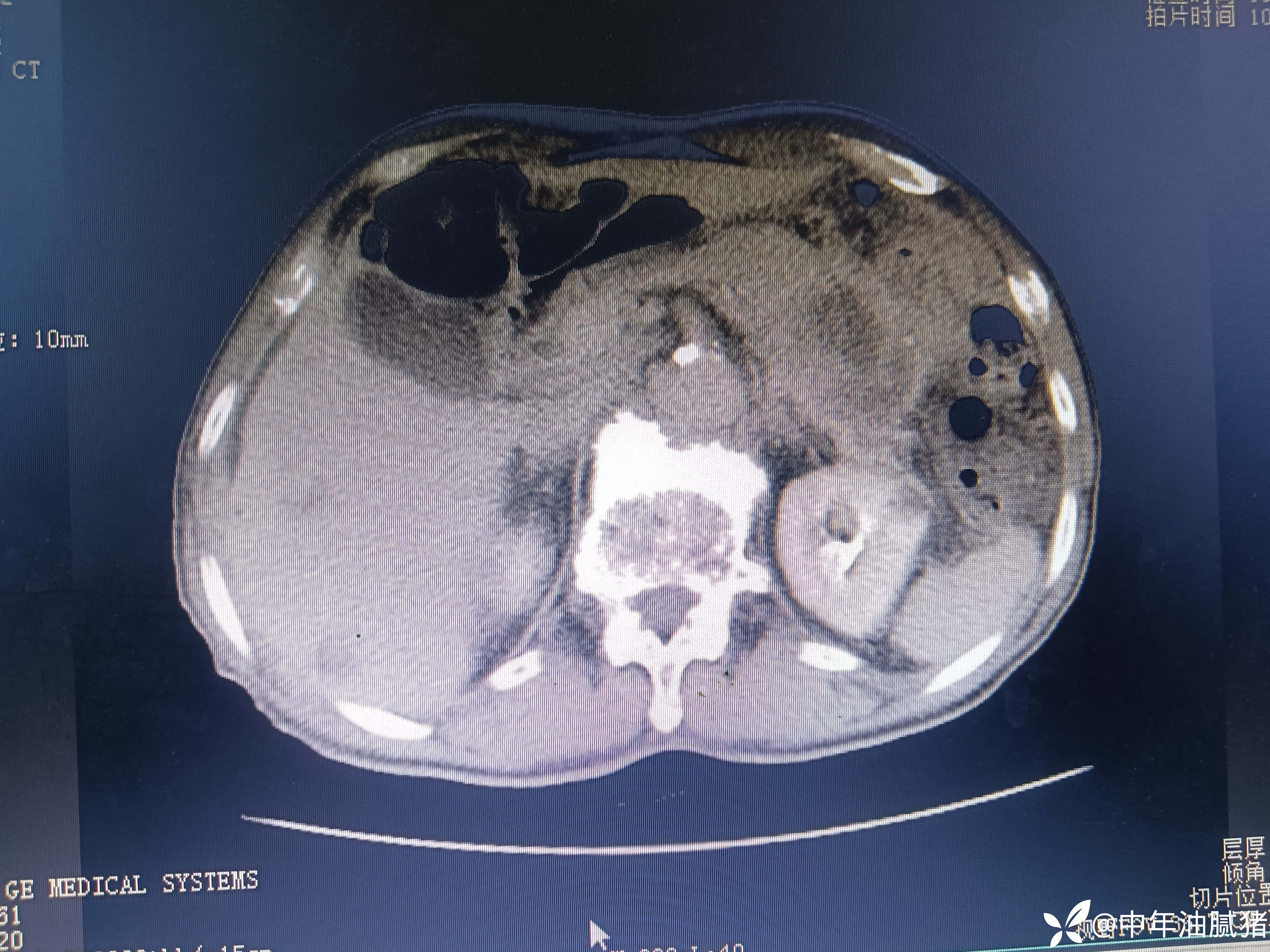
肺ct看到肝内病灶,行增强检查
病例信息
男,72岁,感胸痛7天,不剧,咳嗽时略明显,有吸烟,行肺ct报告如下

建议增强ct.报告如下

考虑肝囊肿?让他走?
病例讨论
我腹部ct不在行,但我记的有位大家说过:一流的先看影像再看报告,二流的先看报告再看影像,三流的只看报告!我生性浪荡,让人不安,属于二流子!上图
















看后,我隐隐约约觉的不是肝囊肿那么简单?元芳,你怎么看?狄阁老,我也是这么认为!摇人,掏起手机:喂,w主任,请帮我看看这个ct。5分钟后报告修改如下

基层医院,坑很多,漏诊误诊难免,如何尽可能的减少,我们多看一眼,有疑问的再让水平高的同事把把关。与大家共勉!
















































