嘴里含了个拳头大的「沙包」,仿佛下一秒就要爆裂!已经长了 20 年...
雪里一片清净 推荐当患者走进诊室时,饶是褚涵文早有心理准备,也依然呼吸一滞——
只见患者完全无法合上嘴巴,从口中突出一个硕大的紫红色「沙包」,上面遍布纹路,仿佛下一秒就要爆裂。
震惊之余,褚涵文忍不住对患者感叹:怎么现在才来?


患者就诊时面容
口含「血色沙包」20 年
据患者描述,这个「沙包」最早出现在 20 年前。
当时,肿物还局限于口腔内部,张嘴、合嘴勉强正常,但渐渐地,肿物开始向嘴巴外突出,最终完全无法纳回,严重影响了进食和语言功能,也让患者基本脱离了社交生活。
经人介绍后,患者来到浙江大学医学院附属第二医院口腔外科就诊,由副主任医师褚涵文担任主诊医师。
简单进行口腔系统检查后,褚涵文发现,患者口部的肿物触诊柔软、边界不清,且肿物体积会随着体位发生变化,这意味着并非真性肿瘤。
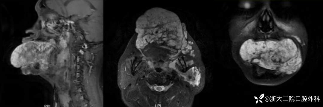
那么是否会是囊肿或其他血管畸形?治疗团队随即安排患者进行了舌部的增强磁共振检查,结果提示病灶为静脉畸形,且遍布患者左侧的舌-咽旁、颌面间隙、颌面部软组织及左侧腮腺。

患者 MRI 结果
静脉畸形是口腔颌面部常见的先天性脉管畸形,好发于头颈部,早期不易发现也无症状,但随着年龄的增长会逐渐增大。
本例患者,就是一种典型且严重的颌面部多发静脉畸形,硕大的肿物内部,包含的是流动的血液。
这种疾病通常可导致颜面部畸形、诱发局部功能障碍,还有继发感染或出血的高风险。目前的治疗包括保守观察、药物治疗、介入治疗、激光治疗、手术切除等。
对于小范围的血管畸形,局部注射平阳霉素、博来霉素等抗肿瘤抗生素或化疗药物有较好疗效;对于体积较大但范围相对局限的病变,还可以采用介入栓塞或者手术切除等手段。[1]
然而,本病例中病变范围巨大且弥漫,累及舌根、咽旁及口腔多处软组织,治疗难度大、手术风险也极高。
一方面,舌体的血供本身就极为丰富,一旦发生出血,出血量往往非常惊人,可能引发呼吸道梗阻或失血性休克。这位患者的静脉畸形内部血窦密布,甚至形成了快速涡流,术中大出血的风险远远超过常规手术。
另一方面,如果直接切除病灶,极易导致舌体过短,使患者从「舌体过大」的困境陷入「舌体功能受限」的新难题,显然也不是最佳方案。
那么到底该怎么治疗呢?
先把药「锁」起来
褚涵文想到了一种他曾在脑外科和胸外科见到过的材料:纤维蛋白胶。
这是一种果冻样的材料,具有良好的生物相容性,常在不少外科手术中被用于止血。将两管液体分别置入管腔内,同时推动双管使之在出口处汇合,流动的液体就会立即凝固为果冻状的固体,覆盖创面,并持续发挥止血功效。
既然能够堵住血液,那么能否用这种凝胶把药物锁在病灶局部呢?
实际上,这样的想法早在几年前就已经被褚涵文及其团队变为了现实。他们用博来霉素溶液与护固莱士止血凝胶的 A 管溶液融合,同时推动 A、B 两管,载着博来霉素的液体在出口处瞬间被锁在止血凝胶内。[3]

包含药物和凝胶的双管注射器
博来霉素可以通过损伤血管内皮细胞,引发局部炎症反应,从而导致血管壁闭塞、纤维化,最终使血管畸形区域萎缩。
「普通的静脉给药,博来霉素的利用率一直不高,如果加大剂量则可能引发其他系统的并发症。」
褚涵文介绍,利用上面的凝胶方法,就可以将博来霉素固定在病灶局部,持续对畸形的血管发挥作用,有效提高了药效。「而且,凝胶还能形成局部栓塞、中断血流,这也能促进血管的萎缩。」

利用这种方法,褚涵文在最近的四五年间已经陆续帮助了近 90 位患者。
不过,对于开头提到的这位患者,仅仅是凝胶锁药恐怕依然不够。「体积实在是太大,几乎是我们团队碰到最夸张的病例,除了药物控制,还必须进行手术切除。」
但谁先谁后又成了问题。
经过全院多学科的 MDT 讨论后,考虑到术中大出血风险,治疗团队最终确定——先利用凝胶法多轮注射化疗药物,等肿物缩小后,再行手术切除。
为期 14 个月,完成出血仅 50mL 的「保舌之战」
就诊后一周,患者接受了第一次「凝胶化疗」。局部消毒后,治疗团队向患者的病灶腔内注射了博来霉素和护固莱士的混合液,术后反应良好,患者仅仅经过一次注射就有了明显的血管萎缩效果。
之后,患者一直往返于两地接受注射治疗,很快就过去了半年多。
漫长的治疗过程和长远的距离,让患者家属打起了退堂鼓。与此同时,治疗团队里也有几位医生认为,已经到了可以手术的状况。
于是,MDT 讨论再次召开。认真评估患者新的病变范围后,大部分医生还是觉得手术存在巨大的出血风险。此外,如果这个时间进行手术切除,仅存的舌体组织将难以维系正常的语言和吞咽功能,还需要进行舌体再造治疗。
权衡再三,治疗团队一致觉得,继续注射治疗。

治疗过程示意图
患者左下唇的静脉畸形在 2 次治疗后基本恢复正常,舌根部的静脉畸形区域在每次治疗后都有更多正常组织逐渐形成,直到接受了 8 次注射治疗后,病变范围较前明显减少,正常的舌体组织明显增多,手术时机终于成熟。
此时距离患者首次就诊,已经过去了近 14 个月。
向血库申请来 800mL 备血后,患者进入手术室。全麻后消毒、铺巾,手术正式开始。
打开患者咬合部位后,牵拉舌体向上,可见舌部肿物大小约有 13cm*8cm。褚涵文沿着病损周围进行钝性分离,一个不落地将周围的血管一一结扎,然后用超声刀沿肿物表面舌体切开舌粘膜,暴露肿物,完整剥离肿物。

与此同时,为了尽可能减少术中出血,褚涵文在切口周围也注射了博来霉素+护固莱士的混合液。
切除肿物后,为了恢复患者的舌部形态和功能,褚涵文将创口对位间断缝合,这样就形成了一个新的舌头。
手术终于结束,最后出血量仅为 50 mL。
术后 12 天,患者的面容得到显著的改善,缩小的病损也没有复发迹象,顺利出院。


患者术后面容
















































