dxy logo
首页丁香园病例库全部版块
搜索
登录

病例改良nance托牵引双侧埋伏阻生尖牙

正畸科医师 · 发布于 2 小时前 · 来自 iOS · IP 河南河南
278 浏览
icon雪里一片清净 推荐

病例信息

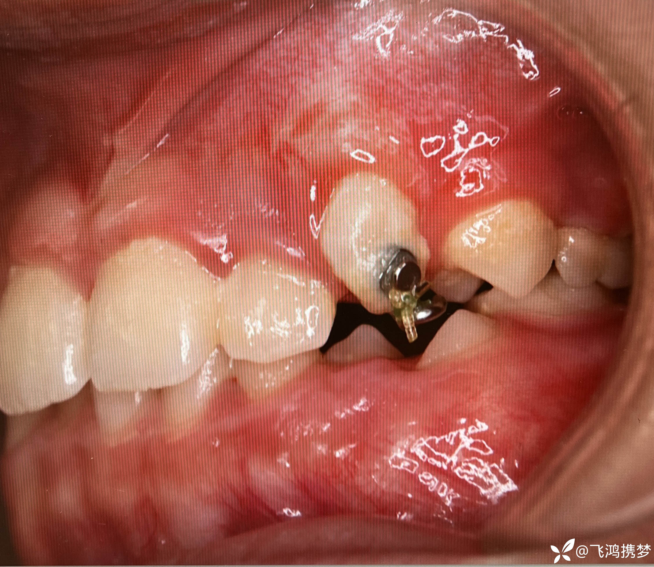
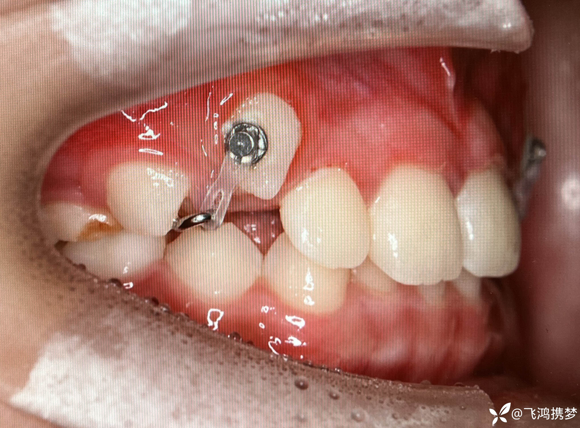
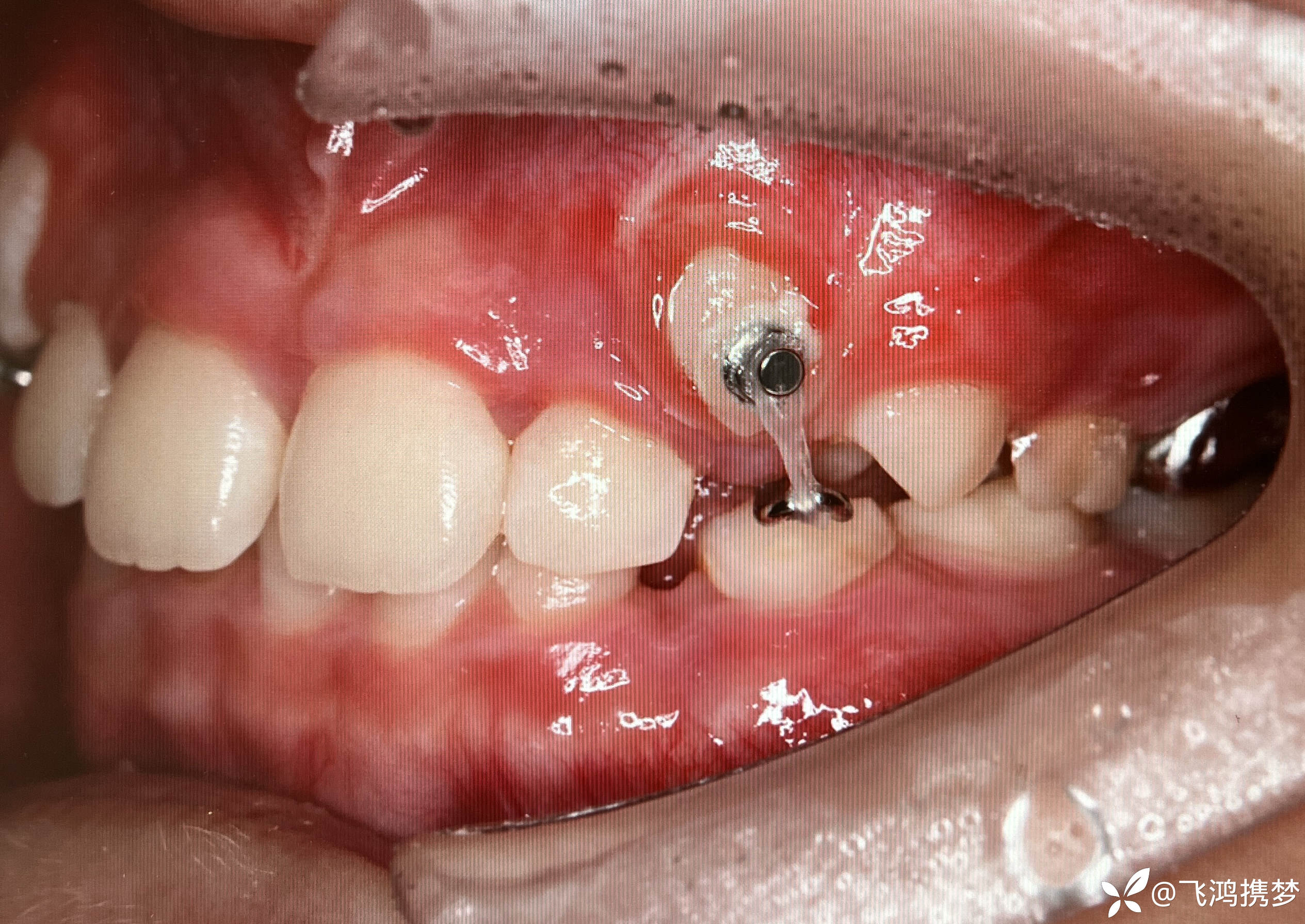
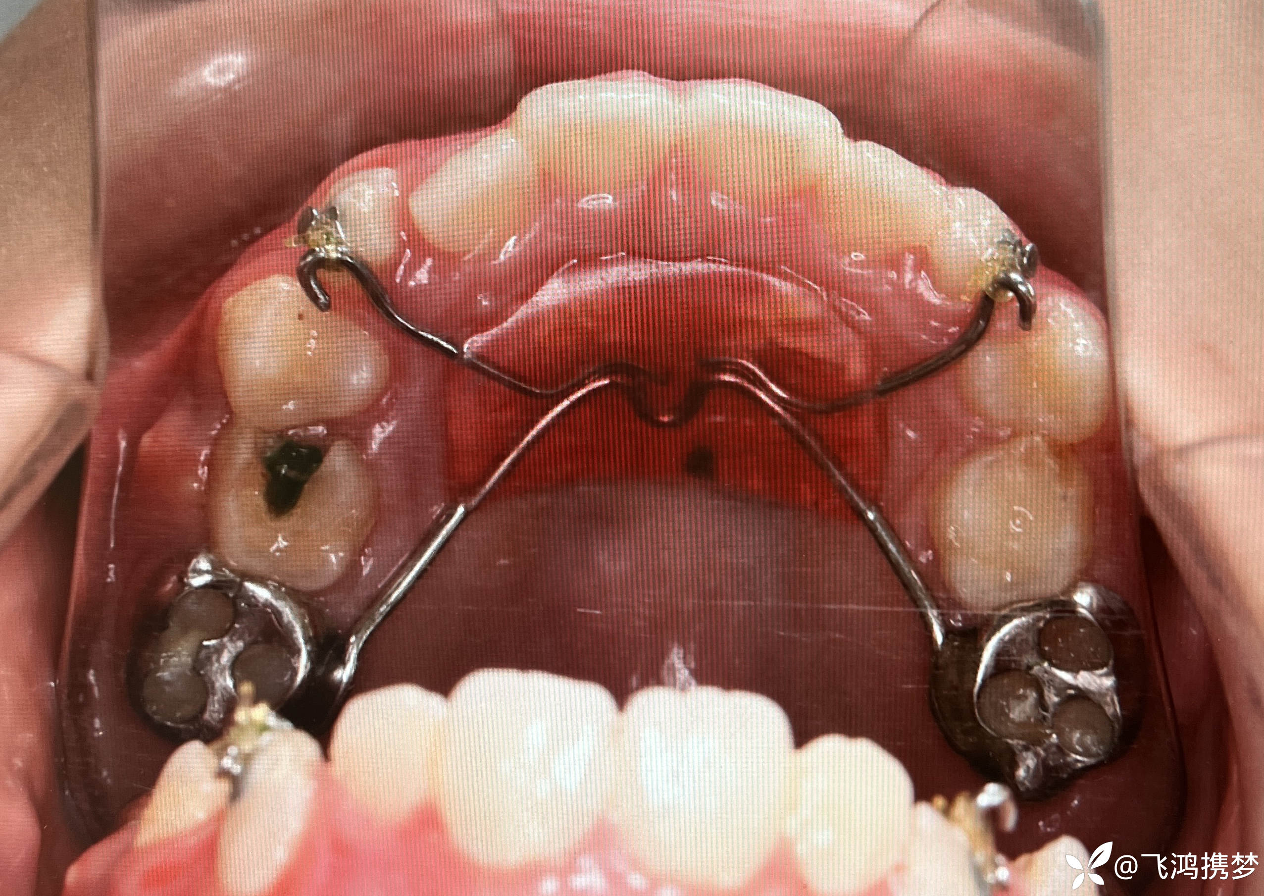
病例如图,上颌双侧埋伏阻生的尖牙,通过改良的nance托进行初步矫正,解除侧切牙的风险。

设计简单易行,经济有效。

img


img


img


img


img


img


img


img


img
该帖还没有疾病标签去添加
1 收藏6

全部讨论(0)

默认最新
avatar
1
分享帖子
share-weibo分享到微博
share-weibo分享到微信
认证
返回顶部