dxy logo
首页丁香园病例库全部版块
搜索
登录

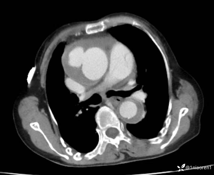
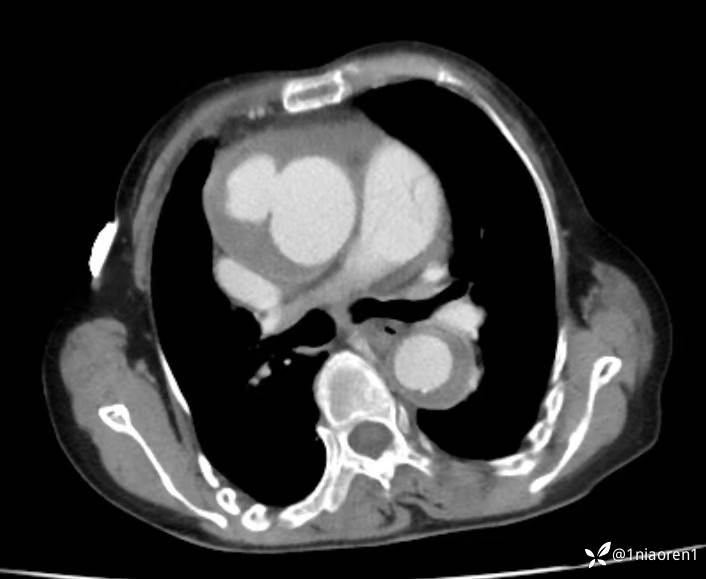
病例又碰到了一个夹层饼干

心血管版达人 · 发布于 21 小时前 · 来自 Android · IP 湖南湖南
271 浏览

病例信息


img


img


病例讨论

考虑什么诊断,哪一型?

医生必看典型病灶图
14495 讨论
该帖还没有疾病标签去添加
2 收藏1

全部讨论(0)

默认最新
avatar
2
分享帖子
share-weibo分享到微博
share-weibo分享到微信
认证
返回顶部