dxy logo
首页丁香园病例库全部版块
搜索
登录

病例考考眼力

消化内科版达人 · 发布于 2 天前 · 来自 Android · IP 湖北湖北
2769 浏览

病例信息

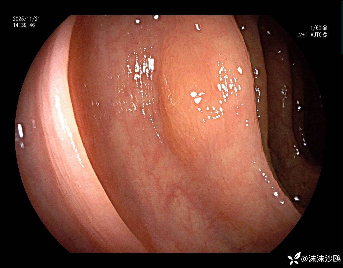
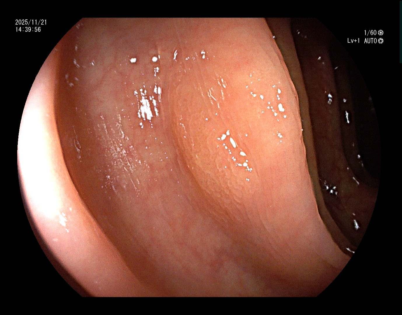
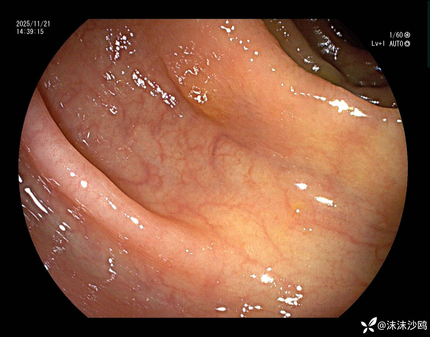
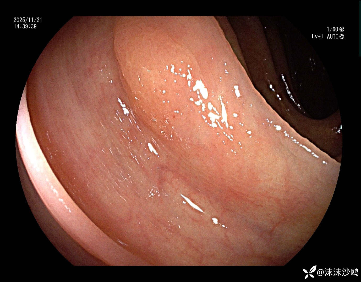
34岁体检普通结肠镜检查,诉平时便意频繁,但大便性状正常。

肠道清洁度一般,波士顿评分8分,主要是黄色粪水较多,充分冲洗,吸引后退镜观察。

升结肠

img


img


img


img


img


img

横结肠

img


img


img


img


病例讨论

锯齿状病变?准备择期住院治疗。

该帖还没有疾病标签去添加
26 2 4
同行评议(4)
已评议
不开通精选
开通精选
精选已授权,待上线
评议结果暂未公布
参与评议
去邀请
4.5
病例完整4.8
临床实用4.5
诊疗科学4.5
学术价值4.5

全部讨论(0)

默认最新
avatar
26
分享帖子
share-weibo分享到微博
share-weibo分享到微信
认证
返回顶部