七岁男重腹胀如鼓,病根竟是一味“神药”
文侠 推荐病例信息
【病例摘要】:患儿,男,7岁。主诉“纳差10余天,发现转氨酶升高伴腹部膨隆6 d”入院,临床表现为腹胀、肝区疼痛及大量腹水,腹水性质为漏出液;腹部CT检查提示肝密度不均;肝血管超声检查提示门静脉高压征象,三支肝静脉狭窄,腹水;实验室检查除外感染、免疫及肿瘤等病因;结合患儿既往有服用土三七史,诊断吡咯生物碱所致的肝窦阻塞综合征,予对症及低分子量肝素、华法林、去纤苷,抗凝治疗2周,复查肝血管超声提示三支肝静脉狭窄,腹水缓解不明显,最终选择经颈静脉肝内门体静脉分流术治疗,术后1周,腹水基本消失。术后随访半年,无腹水出现。
【临床资料】: 7岁男孩,因“纳差10余天,腹部膨隆6 天”入院。入院前10余天患儿无明显诱因出现纳差,无发热、腹痛、吐泻等。入院前6天患儿出现腹部膨隆,纳差症状加重,就诊于当地医院,完善血常规检查,提示轻度贫血,白细胞和血小板大致正常;生化检测提示谷草转氨酶和总胆汁酸轻度升高,余大致正常; 腹部超声检查提示腹盆腔积液(5 cm)。予保肝、利尿及对症营养支持治疗,患儿腹水较前增多,纳差加重。
【既往史】:患儿入院前1年确诊特发性血小板减少性紫癜,曾使用多种ITP药物治疗, 血小板计数维持在(80~90)×109/L。入院前3个月加用中药治疗,疗程3个月(中药制剂成分中包含土三七,煎药药方中含土茯苓、土三七成分)。
【体格检查】:神清,精神反应一般,皮肤及巩膜无黄染,无肝掌及蜘蛛痣,双肺呼吸音清,未闻及干湿啰音,心音有力、心律齐,未闻及病理性杂音,腹部膨隆明显,腹围72 cm,腹壁静脉显露,移动性浊音阳性,肝区触痛明显,肝脾触诊不清,神经系统查体未见异常。
【辅助检查】:
血常规:白细胞计数12.78×109/L, 红细胞计数 3.87×1012/L,血红蛋白99 g/L,血小板计数 193×109/L;
生化:谷丙转氨酶30.4 U/L,天门冬氨酸氨基转移酶66 U/L,γ- 谷氨酰基转移酶52 U/L,总胆红素30.6 μmol/L, 直接胆红素12.7 μmol/L,总胆汁酸59.4 μmol/L,白蛋白32.7 g/L;
凝血:凝血酶原时间17.4 s,活化部分凝血活酶时间33.6 s,D- 二聚体4.4 mg/LFEU,国际标准化比值1.58,纤维蛋白原1.09 g/L;
腹水检查:腹水为黄色清亮液体,白细胞数36×106/L,李凡他试验阴性,腺苷脱氨酶、乳酸脱氢酶、抗酸染色、结核分枝杆菌DNA阴性,病理见少量淋巴细胞及中性粒细胞,腹水总蛋白定量27.6 g/L;
病毒性肝炎、结核菌感染T细胞斑点实验、寄生虫抗体阴性;
心脏超声:少量心包积液,心功能正常。
腹部超声:肝脾形态饱满,胆囊壁增厚,腹腔大量积液(8.7 cm);肝血管超声示门静脉高压征象,三支肝静脉狭窄,腹水。
腹部增强CT:肝实质增强后呈弥漫性明显不均匀强化,大量腹水、盆腔积液;右侧胸腔积液,右肺下叶部分受压不张;腹部皮下水肿。

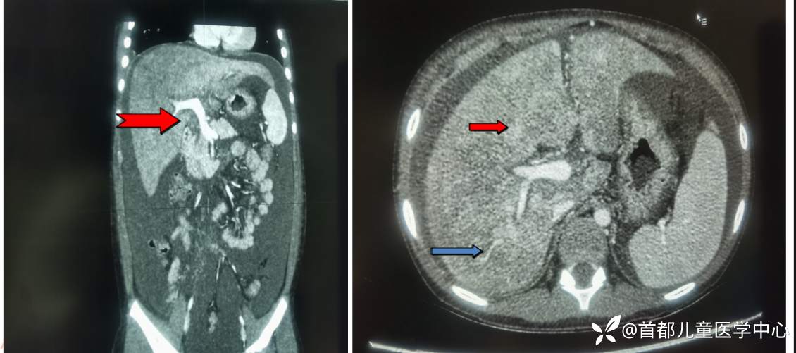
左:红色箭头:下腔静脉显示无异常
右:红色箭头:肝实质密度不均均减低,蓝色箭头:显示特征性“地图状”不均匀强化
【诊断】:结合患儿有明确服用吡咯生物碱 (pyrrolizidine alkaloid,PA)土三七的病史,临床表现为腹水,并根据生化结果及典型的肝脏影像学表现,同时除外其他已知病因所致肝损害,最终诊断为PA所致的肝窦阻塞综合征(hepatic sinusoidal obstruction syndrome,HSOS) 。
【治疗】:予低分子量肝素、华法林治疗,并间断输注白蛋白血浆治疗,给予呋塞米及螺内酯利尿,间断腹腔引流,患儿腹水无缓解。与患儿家长充分沟通并知情同意后予去纤苷治疗,腹水缓解仍不明显。经多学科讨论后最终选择经颈静脉肝内门体静脉分流术(transju-gular intrahepatic portosystemic shunt,TIPS)治疗。
【转归与随访】:术后患儿出现嗜睡,并发血性腹水,术后1周,腹水基本消失,患儿精神好转,无行为及意识异常表现。术后半年随访,患儿未再出现腹水,行为及意识正常,肝功能正常,定期复查肝脏超声提示分流道通畅。
【作者】:消化内科
【参考文献】:1、柯子良, 刘玉兰. 肝窦阻塞综合征研究进展[J]. 中华肝脏病杂志, 2022, 30(12): 1298-1303.
2、LIU F, RONG X, GUO H, et al. Clinical characteristics, CT signs, and pathological findings of Pyrrolizidine alkaloids-induced sinusoidal obstructive syndrome: a retrospective study[J]. BMC Gastroenterol, 2020, 20(1): 30.
3、YANG X Q, YE J, LI X, et al.Pyrrolizidine alkaloids-induced hepatic sinusoidal obstruction syndrome: Pathogenesis, clinical manifestations, diagnosis, treatment, and outcomes[J]. World J Gastroenterol, 2019, 25(28): 3753-3763.
病例讨论
1、什么是HSOS?
HSOS是由各种原因导致的肝血窦、肝小静脉和小叶间静脉内皮细胞水肿、坏死、脱落进而形成微血栓,引起肝内淤血、肝功能损伤和门静脉高压的一种肝脏血管性疾病,临床表现为腹胀、肝脏肿大触痛、腹水、黄疸及体重增加。国内外关于HSOS的病因各不相同,在西方国家常见于骨髓造血干细胞移植前的预处理,在我国多因服用含PA植物或其他植物而致病,其中以土三七最为常见,因此这类HSOS又被称为PA相关的HSOS。PA-HSOS 在早期缺乏特异症状,多以腹胀、黄疸、乏力纳差和肝区胀痛为主要表现,其中腹水是土三七相关HSOS最常见的临床体征,增强CT特征表现为门脉期和平衡期肝脏呈“地图样”不均匀强化,肝静脉和下腔静脉多见狭窄或显示不清。
2、关于HSOS的治疗方案是什么?
目前关于HSOS的治疗尚无统一、有效的治疗方案。国内对于PA-HSOS的治疗主要是停用含有PA的药物,轻症患者以给予保肝、利尿、抽放 腹水及输注白蛋白等对症支持为主。如无抗凝禁忌证,建议尽早开始抗凝治疗,可改善患者预后,提高临床治愈率。本例患儿消化道症状及体征明显且合并腹水, 经采用低分子量肝素及华法林抗凝,并间断补充白蛋白、血浆、给予利尿剂及间断腹腔引流等,治疗效果欠佳,故积极寻求其他有效治疗方案。去纤苷是一种寡脱氧核苷酸混合物,具有保护内皮、促纤溶、抗血栓、抗炎和抗黏附活性的作用,但没有显著的全身抗凝作用。本例患儿经内科治疗效果欠佳,最终行TIPS术后门静脉压力降低,腹水较前明显缓解。综上所述,当遇到可疑HSOS患者时,需反复询问病史及其用药史至关重要,有助于早期识别和干预PA-HSOS,及时停止服用含PA 的药物。PA造成的肝损伤很容易被忽视,因HSOS在早期缺乏特异症状,因此快速识别和及时治疗尤为重要。明确诊断后尽早抗凝,对于TIPS治疗儿童HSOS 的疗效、安全性及治疗时机仍需大样本的研究。
















































