分享一例急性胰腺炎合并糖尿病酮症酸中毒
游小土 推荐病例信息
中年男性,43岁,因“腹痛伴发热5天”于2025年10月15日入院。既往有“糖尿病”病史10余年,长期口服“达格列净”治疗。有长期大量饮酒史。查体可及精神不振,上腹部压痛,无反跳痛。入院前曾于当地一家二甲医院化验血脂示:总胆固醇 13.1mmol/L,甘油三酯 8.65mmol/L。上腹部CT示:胰腺炎复查所见。

患者入院第一周体温单如上图所示,体温最高达37.8℃

血常规示白细胞总数、中性粒细胞计数与比率均明显升高

入院后化验血淀粉酶与脂肪酶均未及明显异常,肝功示胆红素与转氨酶均未及明显异常

降钙素原升高

电解质示低钾血症且血浆二氧化碳含量明显降低(危急值)

复查电解质示血浆二氧化碳含量仍低且血钾进行性下降,阴离子间隙升高

尿常规示尿糖4+,尿酮体3+,有蛋白尿和管型尿

急请内分泌科会诊,考虑患者存在“糖尿病酮症酸中毒”;因当时无空余床位而未能行转科治疗,暂于我科继续救治。

查体可及患者面色潮红

心电监护示患者呼吸频率高达24次/分

患者呼吸深快

复查电解质示患者血浆二氧化碳含量仍低且血钾继续下降,阴离子间隙仍高

患者存在难以纠正的严重低钾血症和酸中毒,急请重症医学科会诊后连夜于10月17日行转科治疗。于重症医学科给予颈内静脉置管及连续性肾脏替代治疗(CRRT)。

血气分析示剩余碱(BE)为-8.99mmol/L

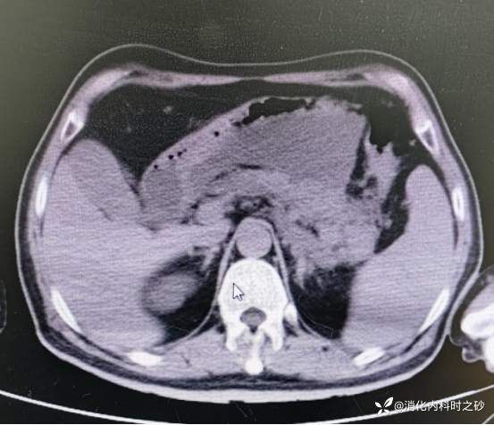
复查CT所见

CT示胰腺周围可见包裹性积液

患者治疗后低钾血症和酸中毒纠正,于10月18日由重症医学科转回我科行后续治疗

患者自10月18日至出院未再出现发热症状

患者出院前复查血常规示白细胞总数、中性粒细胞计数与比率降至正常或接近正常

出院前复查降钙素原示明显回降

出院前复查尿常规未及异常

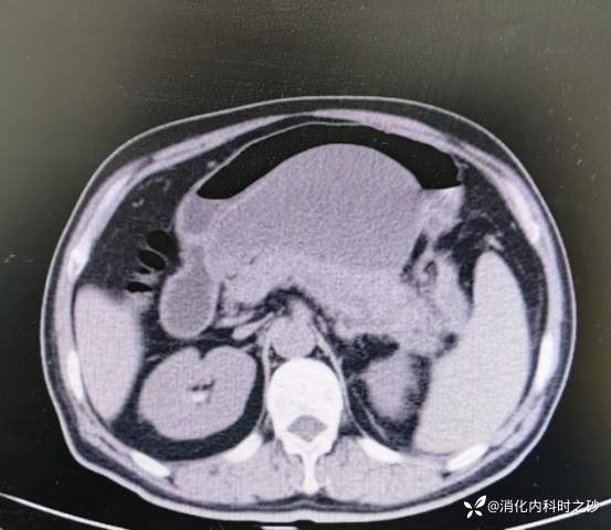
腹部强化CT示已有胰腺假性囊肿形成

最大截面13.1cm×8.4cm的胰腺假性囊肿

请肝胆血管外科会诊,建议1个月后复查CT。患者于10月27日好转出院。
病例讨论
讨论:
患者同时存在急性胰腺炎与糖尿病酮症酸中毒,这两个疾病发生于同一患者并不常见,这两个疾病被同时提及的情况更多见于鉴别诊断的环节。接下来将结合该病例将上述这两个疾病逐个分析,其中也会涉及鉴别诊断的相关要点。
1.患者多次行腹部CT检查均未发现胆石症或胆道感染等导致急性胰腺炎的常见病因,结合患者饮酒史及入院前的血脂化验结果,考虑酒精与高甘油三酯血症可能是该患者急性胰腺炎的病因。虽然患者未行上腹部MRI+MRCP以除外CT阴性结石,但结合患者体征及肝功化验结果,亦不支持胆石症或胆道感染的可能。
2.患者有糖尿病史,长期口服“达格列净”控制血糖,而“达格列净”通过促进尿糖排泄降低血糖,可能间接导致胰岛素分泌减少,而胰高血糖素相对升高,这会激活脂肪分解,释放脂肪酸进入肝脏生成酮体。患者因药物作用大量排泄葡萄糖,身体转而分解脂肪供能。若合并饮食摄入不足、脱水或感染等诱因,脂肪分解会进一步加速,酮体生成超过代谢能力,就可引发酸中毒。返观该患者的病例特点,其急性胰腺炎所致的胰腺周围渗出这一急性感染,或许也正是其糖尿病酮症酸中毒的诱因,加之该患者长期口服“达格列净”,从而更易诱发糖尿病酮症酸中毒。该患者在本次住院期间已遵照内分泌科会诊意见停用口服“达格列净”而改用皮下注射“门冬胰岛素30”控制血糖。
3.糖尿病酮症酸中毒的早期诊断是决定治疗成败的关键。本人在诊断该例糖尿病酮症酸中毒的过程中,起初主要依靠实验室检查血电解质和尿常规发现异常,随后邀请内分泌科会诊从而进一步确认了该诊断。然而返观该病例,起初认为患者呼吸频率加快可能与发热症状有关,但是即便患者的体温在入院第二天降至正常后,呼吸频率仍快,此时需引起警惕,因为呼吸深快恰好是糖尿病酮症酸中毒的一个重要临床表现;患者出现面色潮红,主要是因为体内酸性代谢产物堆积、脱水及交感神经兴奋导致血管扩张和血流加快。
4.少数糖尿病酮症酸中毒患者以腹痛为首发症状或主要临床表现,甚至酷似急腹症,容易误诊,此时腹部影像学检查往往有助于鉴别诊断;另外,部分糖尿病酮症酸中毒的病人即使无胰腺炎存在,也可出现血清淀粉酶和脂肪酶升高,治疗后数天内降至正常;部分糖尿病酮症酸中毒患者即使无合并感染,也可以出现白细胞计数及中性粒细胞比例升高。返观该患者的病情,患者入院后化验血淀粉酶和脂肪酶均未及明显异常,这主要是因为患者在来我院住院治疗之前,已从外院就急性胰腺炎进行了治疗;即便糖尿病酮症酸中毒也可导致血淀粉酶、脂肪酶、白细胞总数和中性粒细胞计数升高,但是结合先后3次腹部CT检查所见以及患者的腹痛特点,考虑“急性胰腺炎”诊断成立;其依据是确诊急性胰腺炎应具备下列3条中的任意2条:(1)急性、持续性中上腹痛;(2)血淀粉酶或脂肪酶>正常值上限3倍;(3)急性胰腺炎的典型影像学改变。该患者具备上述(1)和(3)这两条标准,结合其他临床资料,判定患者存在急性胰腺炎合并糖尿病酮症酸中毒。
5.该病例中患者出现胰腺假性囊肿这一胰腺局部并发症,小于4cm的囊肿几乎均可自行吸收,大于6cm者或多发囊肿则自行吸收的机会较小,在观察6~8周后,若无缩小和吸收的趋势,则需要引流。其方式包括:经皮穿刺引流、内镜引流和外科引流。至发稿时止,该患者预计将于11月底复查CT。
















































