dxy logo
首页丁香园病例库全部版块
搜索
登录

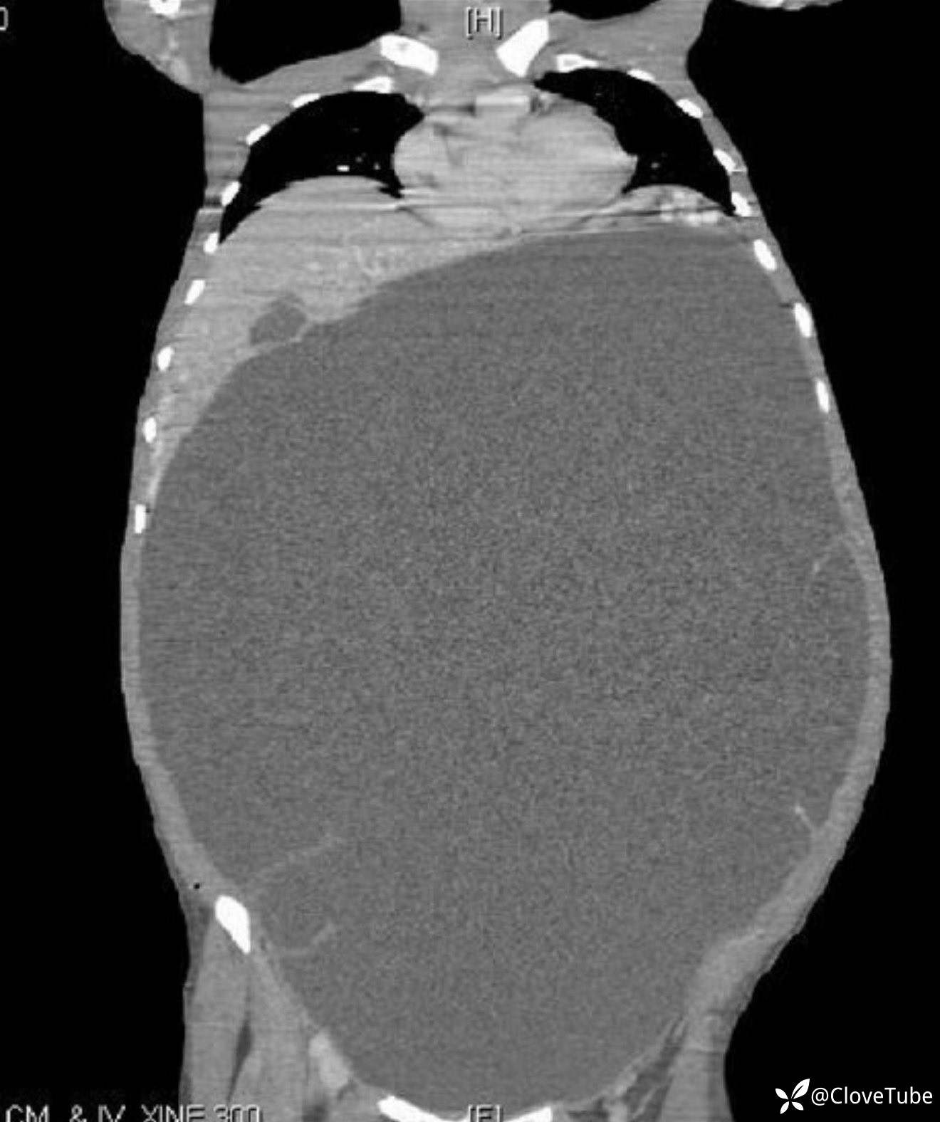
病例腹腔巨大占位

呼吸胸外版达人 · 发布于 2 天前 · 来自 Android · IP 安徽安徽
3625 浏览

病例信息

女 40y 腹胀进行性加重

img


img


病例讨论

考虑啥

医生必看典型病灶图
14269 讨论
该帖还没有疾病标签去添加
6 5 2
同行评议(0)
已评议
不开通精选
开通精选
精选已授权,待上线
评议结果暂未公布
参与评议
去邀请
NaN
病例完整NaN
临床实用NaN
诊疗科学NaN
学术价值NaN

全部讨论(0)

默认最新
avatar
6
分享帖子
share-weibo分享到微博
share-weibo分享到微信
认证
返回顶部