分享一例弥散性血管内凝血(DIC)的诊断过程
病例信息
老年男性,60岁,因“纳差伴乏力1月”于2025年10月8日入院。既往有“高血压”病史。查体可及精神不振,贫血貌,睑结膜苍白,腹平坦,触软,无压痛及反跳痛,双下肢水肿。

电解质化验示患者存在低钾血症

血常规示患者存在重度贫血与血小板减少

复查血常规示血小板计数进行性下降

肝功示患者存在低蛋白血症

凝血功能示凝血酶原时间明显延长,纤维蛋白原明显下降,纤维蛋白(原)降解产物与D-二聚体均明显升高

幽门螺杆菌抗体阳性

请血液内科会诊,考虑患者存在继发性弥散性血管内凝血的可能

肿瘤标志物CEA与CA72-4化验结果明显异常

贫血四项化验结果示维生素B12与铁蛋白均明显升高

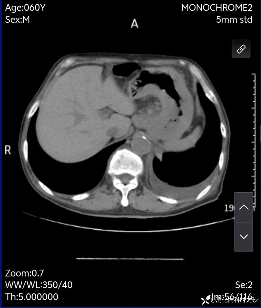
腹部CT示:胃壁增厚,小网膜囊区多发增大淋巴结




患者左侧臀部、肘关节及腕关节可见瘀斑,同时伴有牙龈出血
病例讨论
讨论:
评估患者不宜行胃镜等侵入性诊疗操作,但是依据患者病史、症状、体征、实验室检查及腹部CT检查所见,考虑患者存在“胃恶性肿瘤”的可能性较大,同时幽门螺杆菌抗体阳性亦支持此诊断;如此诊断成立,既可解释患者的纳差与乏力症状,亦可解释患者存在贫血、低钾血症、低蛋白血症以及肿瘤标志物化验结果明显异常。结合患者血常规与凝血功能化验结果以及血液内科会诊意见,考虑“弥散性血管内凝血(DIC)”诊断成立;依据如下:一、考虑患者存在“胃恶性肿瘤”,而恶性肿瘤是诱发DIC的主要病因之一;二、患者存在如上图所示的多发性出血倾向;三、患者实验室检查指标符合DIC的诊断标准:1.血小板计数<100×109/L或进行性下降;2.纤维蛋白原含量<1.5g/L;血浆纤维蛋白(原)降解产物>20mg/L;D-二聚体水平升高;凝血酶原时间延长3秒以上。
该患者病情危重,于我科给予输红细胞、输血浆以及输血小板等治疗后,病情未缓解,后转入上级医院继续治疗。返观该患者的诊疗经过,考虑其具备“弥散性血管内凝血”的典型临床表现,在患者就诊初期及时诊断“弥散性血管内凝血”并邀请相关科室会诊以及遵照会诊意见制定治疗方案和进行医患沟通显得尤为重要。
















































