dxy logo
首页丁香园病例库全部版块
搜索
登录

病例乙状结肠ESD

消化内科版达人 · 发布于 14 小时前 · 来自 Android · IP 江苏江苏
4931 浏览

病例信息

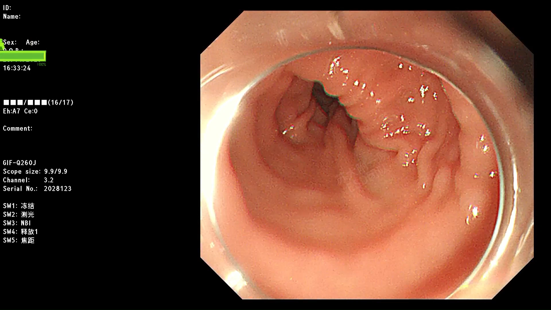
40+女性,乙状结肠宽基底隆起型大息肉ESD,视频全时长21+分钟

previewplay video


病例讨论

你觉得肠道ESD最重要的是?


上周二“呕血两天,十二指肠深凹溃疡,似有搏动”讨论见本期答案

乙状结肠息肉 (16)
纠错
7 9 10
同行评议(3)
已评议
不开通精选
开通精选
精选已授权,待上线
评议结果暂未公布
参与评议
去邀请
4.1
视频效果4.0
临床实用性4.3
操作规范流畅4.0
学术价值3.7

全部讨论(0)

默认最新
avatar
7
分享帖子
share-weibo分享到微博
share-weibo分享到微信
认证
返回顶部