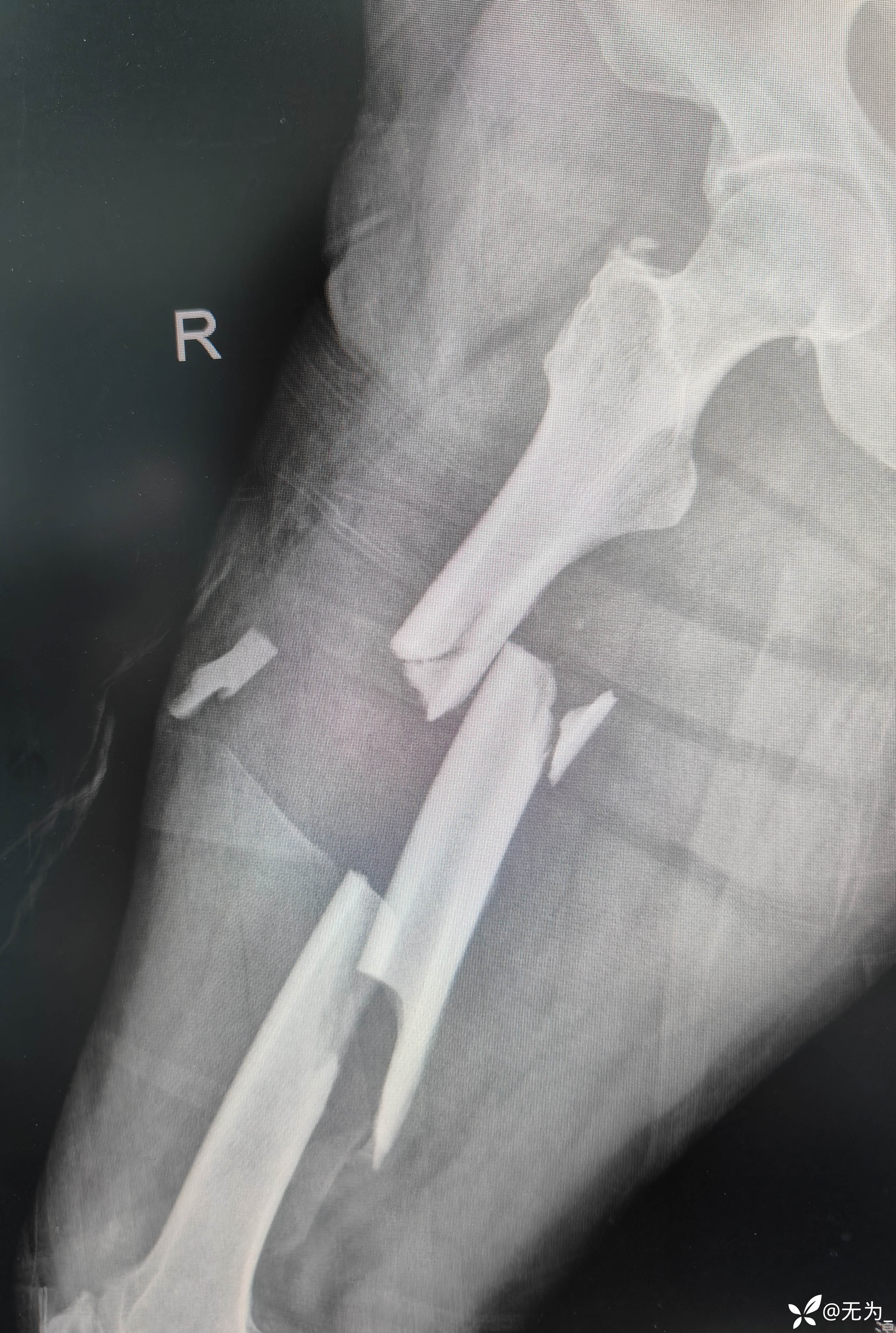
股骨开放三节棍
病例信息
【患者信息】:患者55岁,车祸伤致全身多发骨折外院转入,生命体征不稳。
查体:右大腿中段前外侧两公分开放伤口,渗血,可处理游离骨块,大腿畸形、肿胀,足背动脉搏动可查。
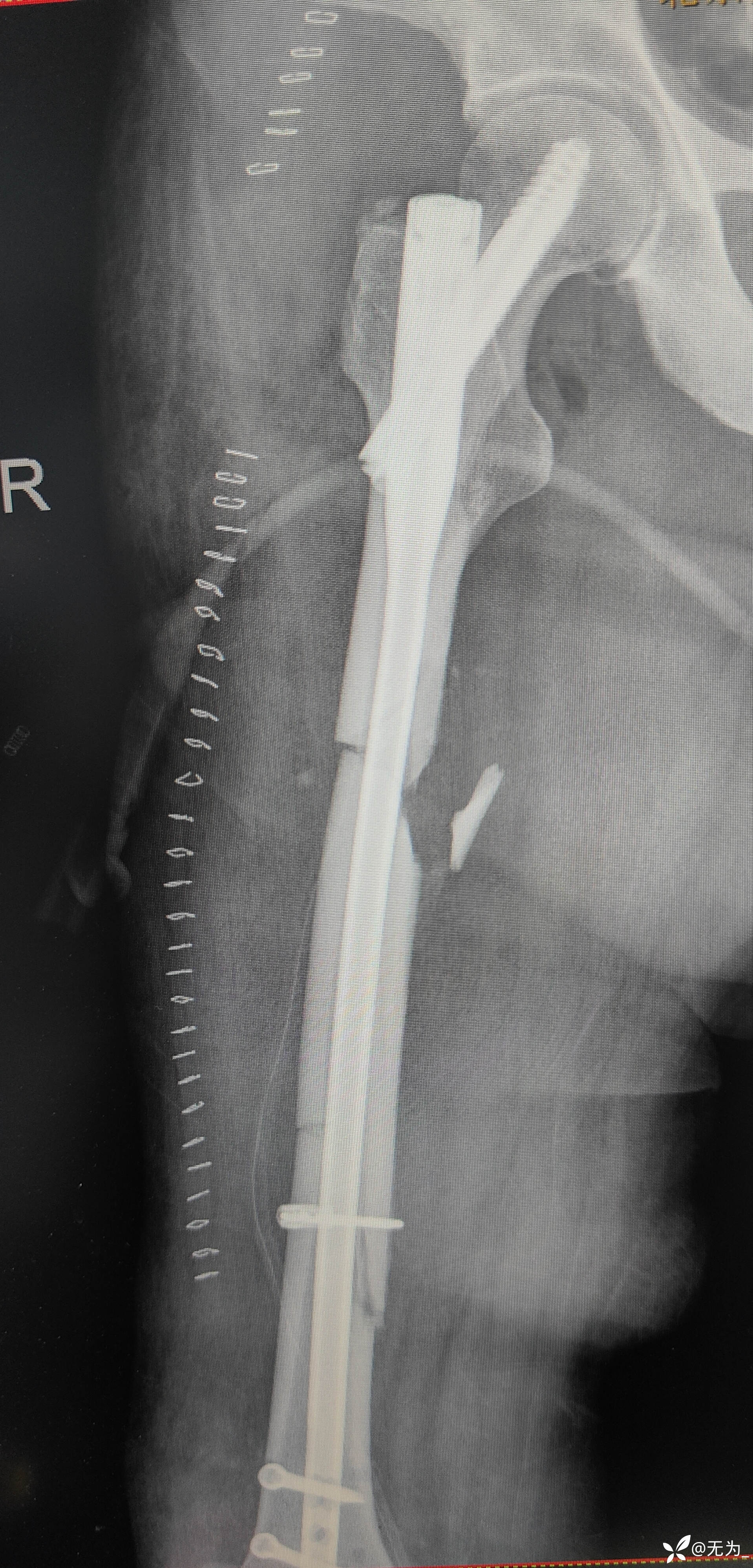
补液、输血后行头外伤缝合、大腿外架临时固定,转icu,病情逐渐稳定,3周后行右股骨外架拆除,复位内固定。











总结与讨论
急危重症患者,损伤控制。
三段骨折,复位困难且时间长,患者取侧卧位,取大腿外侧切口,切开以后大量肉芽组织,清理折断,牵引复位,远折断钛揽固定,近折端钳夹复位,开孔、扩髓,置入髓内钉,螺钉固定,内侧骨块未处理伴骨缺损,未植骨避免感染。
















































