dxy logo
首页丁香园病例库全部版块
搜索
登录

病例疑难:颅内多发病变

神经外科学医学生 · 发布于 3 天前 · 来自 Android · IP 江西江西
290 浏览

病例信息

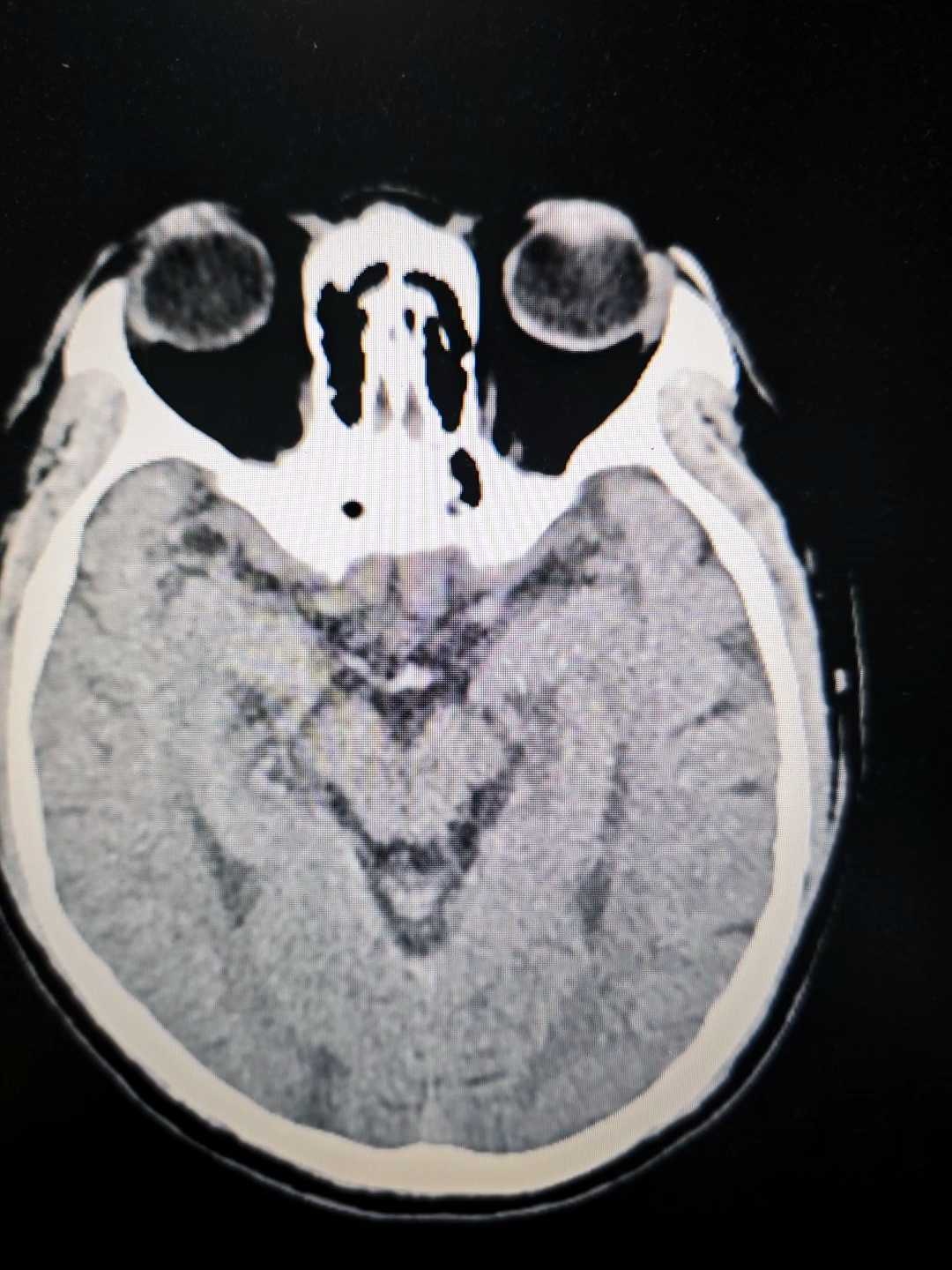
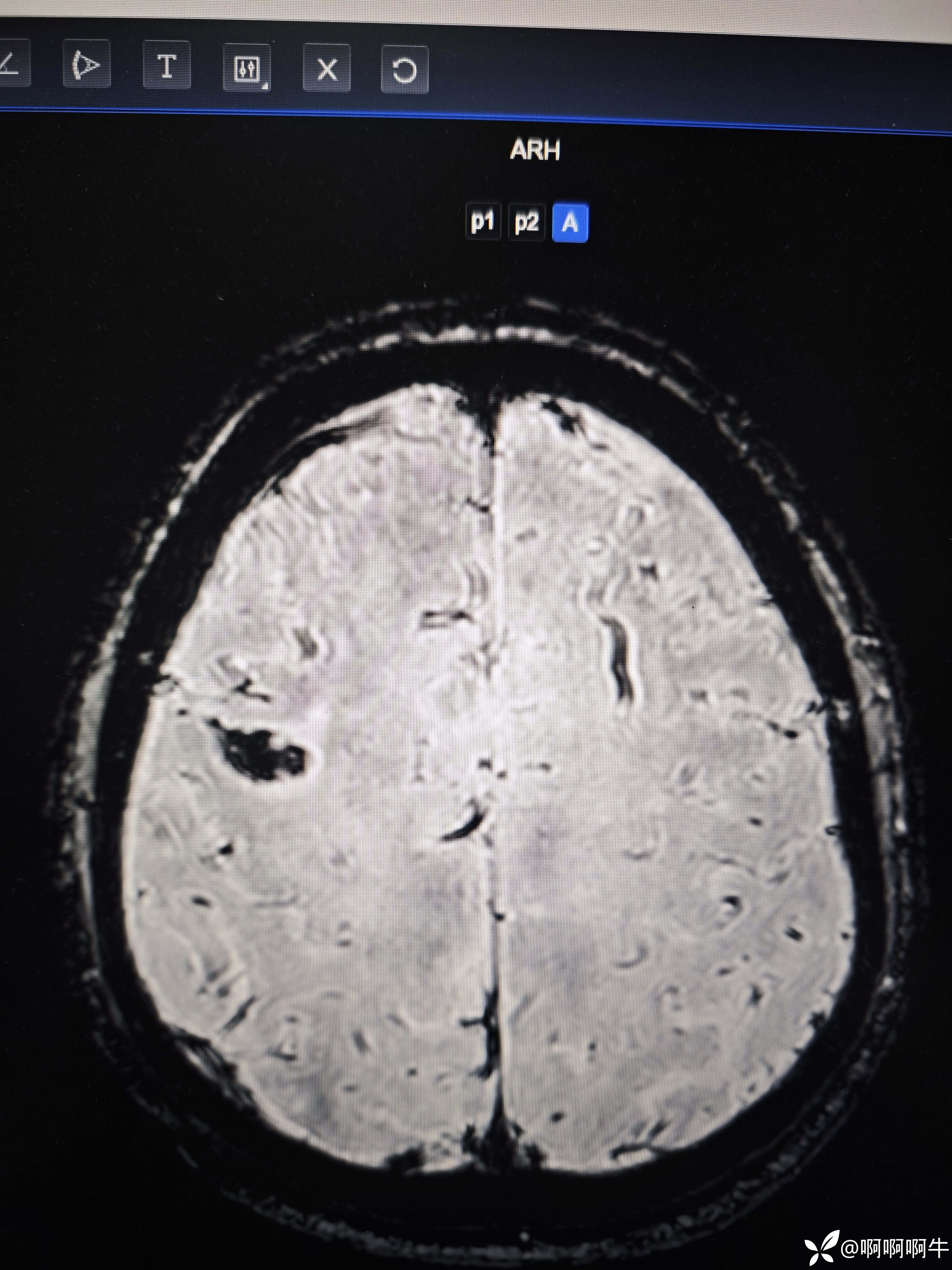
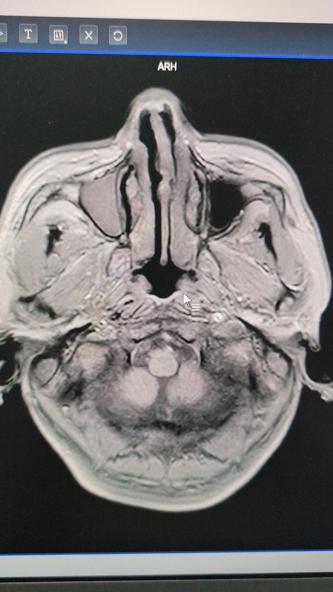
患者57岁,2天前因左上肢远端突发乏力体检发现颅内多发病变,目前患者无特殊不适。

img


img


img


img


previewplay video


previewplay video


previewplay video


病例讨论

目前结合已知的检查,考虑什么疾病

职业生涯的难忘病例
20127 讨论
该帖还没有疾病标签去添加
回复1 1

全部讨论(0)

默认最新
avatar
分享帖子
share-weibo分享到微博
share-weibo分享到微信
认证
返回顶部