多学科探计的 胃印戒细胞癌TxNxM1
病例信息
患者,女性,55岁,以“绝经后1年余,阴道出血26天。”为主诉入院。
现病史:绝经1年余,入院前26天无明显诱因出现阴道出血,色暗红,量少,无血块,无阴道异常排液,无腹痛。3天前就诊市医院,查妇科彩超:子宫内膜区稍低回声结节,大小约1.69cm*0.95cm,粘膜下肌瘤未排除。子宫多发低回声结节,肌瘤?双附件区实性团块,右侧大小约10.1cm*8.9cm*5.9cm,左侧约6.0cm*5.0cm*5.6cm,阔韧带肌瘤?。1天前转诊大学附属医院,查经阴道彩超:双附件区实性包块,右侧大小约6.5cm*4.9cm,左侧约9.7cm*7.8cm,0-RADS 4类。子宫内膜多发低回声结节(考虑子宫多发肌瘤)。绝经期子宫,内膜偏厚,约0.78cm。今为进一步诊治,转诊我院,门诊遂拟“绝经后出血”收入院。
既往史:30+年前于当地医院行“双侧输卵管结扎术”;20年前于当地医院行“甲状腺结节切除术”。
体格检查: T: 36.6℃ P: 84次/分 R: 16 次/分BP: 120 /86mmHg,神志清楚,双肺呼吸音清,未闻及干湿性啰音,心律齐,各瓣膜区未闻及杂音。腹平坦,右下腹可扪及一肿物,边界清,质中,活动度可,腹肌软,无压痛及反跳痛。专科情况:外阴:已婚已产型。阴道:通畅,见少量血色分泌物。宫颈:光滑,肥大。宫体:中位,略大,表面凹凸不平,质中,活动度好,无压痛。附件:左附件区可扪及一大小约6cm肿物,边界清,质中,活动度可,无压痛;右附件区可扪及一大小约10cm肿物,边界清,质中,活动度可,无压痛。三合诊:直肠粘膜光滑,无触及结节,指套退出无染血。双宫旁软,无结节、无触痛。骶韧带无增厚,无结节、无触痛。
辅助检查:1.妇科彩超:子宫内膜区稍低回声结节,大小约1.69cm*0.95cm,粘膜下肌瘤未排除。子宫多发低回声结节,肌瘤?双附件区实性团块,右侧大小约10.1cm*8.9cm*5.9cm,左侧约6.0cm*5.0cm*5.6cm,阔韧带肌瘤?。(2025.05.27福州市鼓楼医院)2.经阴道彩超:双附件区实性包块,右侧大小约6.5cm*4.9cm,左侧约9.7cm*7.8cm,0-RADS 4类。子宫内膜多发低回声结节(考虑子宫多发肌瘤)。绝经期子宫,内膜偏厚,约0.78cm。
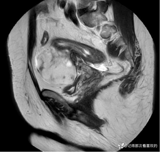
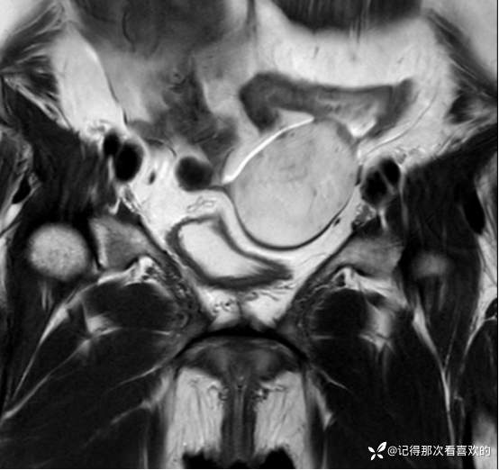
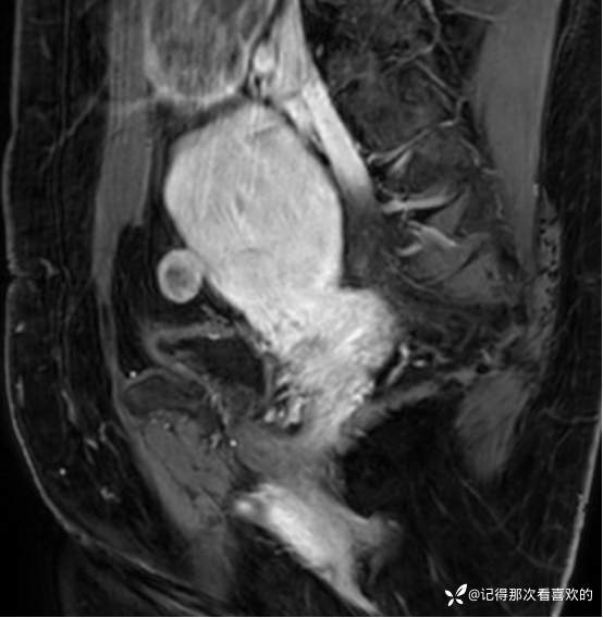
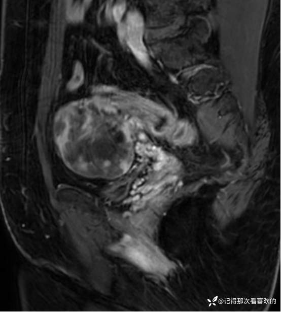
入院后查十二通道常规心电图:1、窦性心律2、逆钟向转位。余相关检验未见明显异常。于2025.05.30在静脉麻醉下行“宫腔镜诊断性刮宫术”,术顺,术后病理(2508387):(宫内容物)子宫内膜息肉。查心脏彩超(Z250530002):三尖瓣轻度反流。双侧下肢深静脉血管彩色多普勒超声(Z250530003):双侧下肢股总静脉反流,考虑双侧下肢深静脉瓣功能不全。经阴道彩超检查(Z250530004):双侧附件区低回声不均团块,考虑MT,建议进一步检查。子宫多发肌瘤。子宫内膜区低回声结节,考虑粘膜下肌瘤可能。宫颈腺体多发囊肿。盆腔MRI增强(MR109286):1.双侧附件区团块状占位,考虑MT,请结合临床。2.子宫肌层内、浆膜下多发肌瘤。3.子宫腔内异常结节灶,粘膜下肌瘤可能。4.盆腔少量积液。5.右侧髂骨内结节灶,性质待定,建议进一步检查。胸部CT(CT384707):1.双肺多发微小结节,建议随诊复查。2.气管憩室。3.扫及右肾结石?新上腹部CT平扫(CT384838):盆腔右侧占位性病变,请结合临床及MRI检查。HPV+TCT:HPV阴性;非典型鳞状上皮细胞(不能明确意义)。2025.06.03行胃肠镜,电子胃十二指肠镜检查(PG25003031):胃体溃疡(待病理);慢性萎缩性胃炎。电子结肠镜检查(PC25002608):结肠多发息肉(内镜下息肉切除+钳除)。快速石蜡病理(2508504):胃体:低分化腺癌,伴少量印戒细胞癌成分,免疫组化结果待补充报告。快速石蜡病理(2508505):降结肠:增生性息肉。
诊断:1. 胃印戒细胞癌TxNxM1 2.盆腔肿物:卵巢转移性肿瘤? 3.绝经后出血 4.子宫内膜息肉 5.子宫肌瘤 6.双侧输卵管绝育术后 7.甲状腺结节切除术后 8.肺结节 9.结肠息肉 10.慢性萎缩性胃炎
宫腔镜诊断性刮宫术
手术简要经过:适才在手术3间,静脉麻醉成功后,取膀胱截石位,常规消毒铺巾,窥阴器撑开阴道:见宫颈:光滑,质中,活动度可。探查宫腔深9.5cm,扩张棒扩张宫颈至6号,放置宫腔镜,宫腔镜下见:宫腔形态完整,宫腔前壁可见一直径约2cmI型粘膜下肌瘤,子宫内膜薄,散在可见少量内膜增生,双侧输卵管开口清晰。遂行宫腔镜诊断性刮宫术。手术顺利,术中出血5ml,补液500ml,麻醉效果满意。术后病人安返病房。宫腔刮出组织予家属过目后送快速石蜡病理检查。





































































