dxy logo
首页丁香园病例库全部版块
搜索
登录

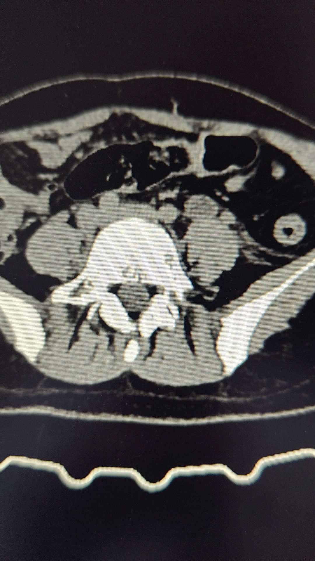
病例女,28岁,发现输尿管结石一年余。

泌尿外科医师 · 发布于 9 小时前 · 来自 Android · IP 西藏西藏
350 浏览

病例信息


previewplay video


病例讨论

早上一上班,就看到这个夜间来的患者,患者忍耐力确实很强,拟明天手术。

输尿管结石 (165)
纠错
回复收藏2
同行评议(0)
已评议
不开通精选
开通精选
精选已授权,待上线
评议结果暂未公布
参与评议
去邀请
NaN
病例完整NaN
临床实用NaN
诊疗科学NaN
学术价值NaN

全部讨论(0)

默认最新
avatar
分享帖子
share-weibo分享到微博
share-weibo分享到微信
认证
返回顶部