dxy logo
首页丁香园病例库全部版块
搜索
登录

病例局部胆管一例

医疗行业从业者 · 发布于 18 小时前 · 来自 iOS · IP 江苏江苏
148 浏览

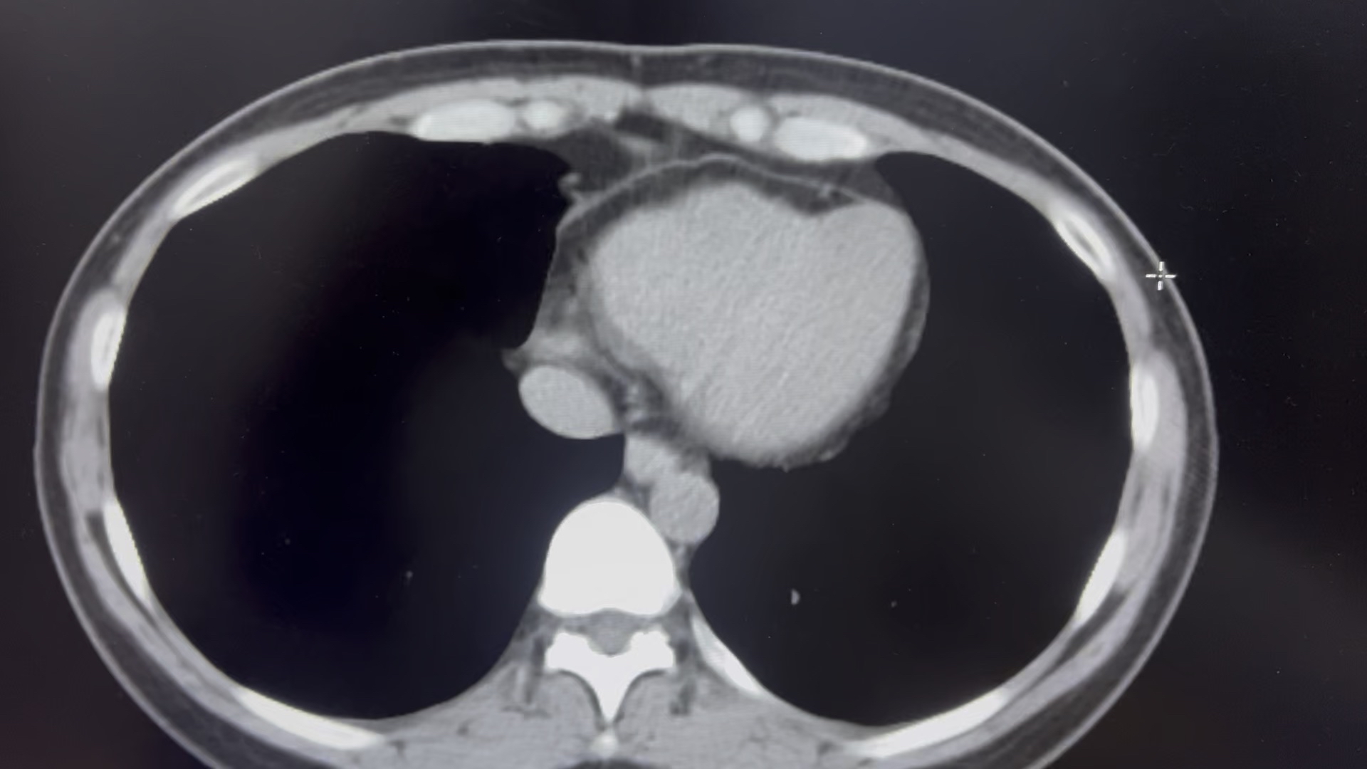
女44体检,附见肝左内叶似见管腔影,应该是肝左内叶局部胆管扩张,请老师请看看

previewplay video


img
胆管扩张症 (33)
纠错
1 收藏点赞

全部讨论(0)

默认最新
avatar
1
分享帖子
share-weibo分享到微博
share-weibo分享到微信
认证
返回顶部