dxy logo
首页丁香园病例库全部版块
搜索
登录

病例【腹盆】年轻医生说,主任你太神了,这都发现了,没那么神,唯细心而已,你发现了吗!

影像核医学版达人 · 发布于 3 天前 · 来自 iOS · IP 吉林吉林
1439 浏览

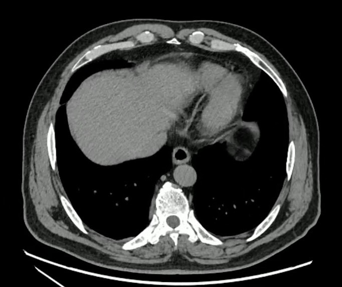
病例信息

【患者信息】:男,60岁。

【主诉】:间断上腹部疼痛30天。

【现病史及既往史】

【检查】

previewplay video


previewplay video


【临床诊断】

【治疗经过及结果】

十二指肠溃疡 (97)
纠错
4 2 4

全部讨论(0)

默认最新
avatar
4
分享帖子
share-weibo分享到微博
share-weibo分享到微信
认证
返回顶部