dxy logo
首页丁香园病例库全部版块
搜索
登录

病例【神经】CT与MR孰弱孰强?有时候,确需联合应用!发作性右侧肢体活动不灵1天,女58岁

影像核医学版达人 · 发布于 10-17 · 来自 iOS · IP 吉林吉林
280 浏览

病例信息

【患者信息】:女,58岁。

【主诉】:发作性右侧肢体活动不灵1天。

【现病史及既往史】

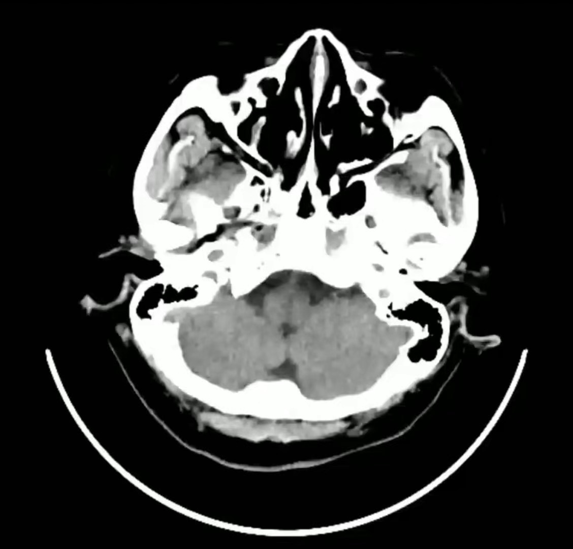
【检查】:CT,不仔细看,极易漏诊。

previewplay video

MR 急性出血还是梗塞?

previewplay video


【临床诊断】

【治疗经过及结果】

出血性脑梗死 (18)
纠错
回复收藏1

全部讨论(0)

默认最新
avatar
分享帖子
share-weibo分享到微博
share-weibo分享到微信
认证
返回顶部