【腹盆】患者1小时前从高约2米处摔下,腹部硌到小区锻炼用的单杠上了。男,10岁。
取名不简单 达人已点赞病例信息
【患者信息】:男,10岁。
【主诉】:患者1小时前从高约2米处摔下,腹部硌到小区锻炼用的单杠上了,伤后自觉腹痛。无恶心、呕吐。
【现病史及既往史】:
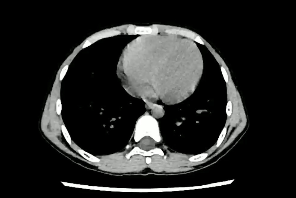
【检查】:






【临床诊断】:
【治疗经过及结果】:
取名不简单 达人已点赞病例信息
【患者信息】:男,10岁。
【主诉】:患者1小时前从高约2米处摔下,腹部硌到小区锻炼用的单杠上了,伤后自觉腹痛。无恶心、呕吐。
【现病史及既往史】:
【检查】:






【临床诊断】:
【治疗经过及结果】:
