dxy logo
首页丁香园病例库全部版块
搜索
登录

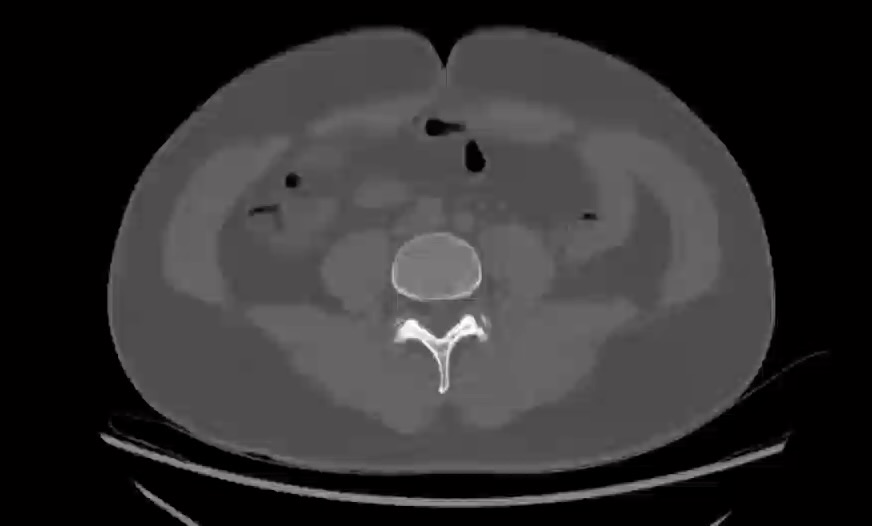
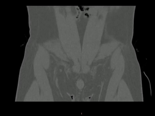
病例【骨肌】左侧髂骨占位?腰部外伤后腰痛5小时,男,39岁。

影像核医学版达人 · 发布于 09-05 · 来自 iOS · IP 吉林吉林
522 浏览
icon华夏览雄 等 2 位达人已点赞

病例信息

【患者信息】:男,39岁。

【主诉】:腰部外伤后腰痛5小时。

【现病史及既往史】:无手术史。

【检查】

previewplay video


previewplay video


previewplay video


【临床诊断】

【治疗经过及结果】

该帖还没有疾病标签去添加
13 收藏7
同行评议(6)
已评议
不开通精选
开通精选
精选已授权,待上线
评议结果暂未公布
参与评议
去邀请
3.8
病例完整4.1
临床实用4.1
诊疗科学3.9
学术价值3.1

全部讨论(0)

默认最新
avatar
13
分享帖子
share-weibo分享到微博
share-weibo分享到微信
认证
返回顶部