分享1例外耳道胆脂瘤侵入中颅窝病例(1)
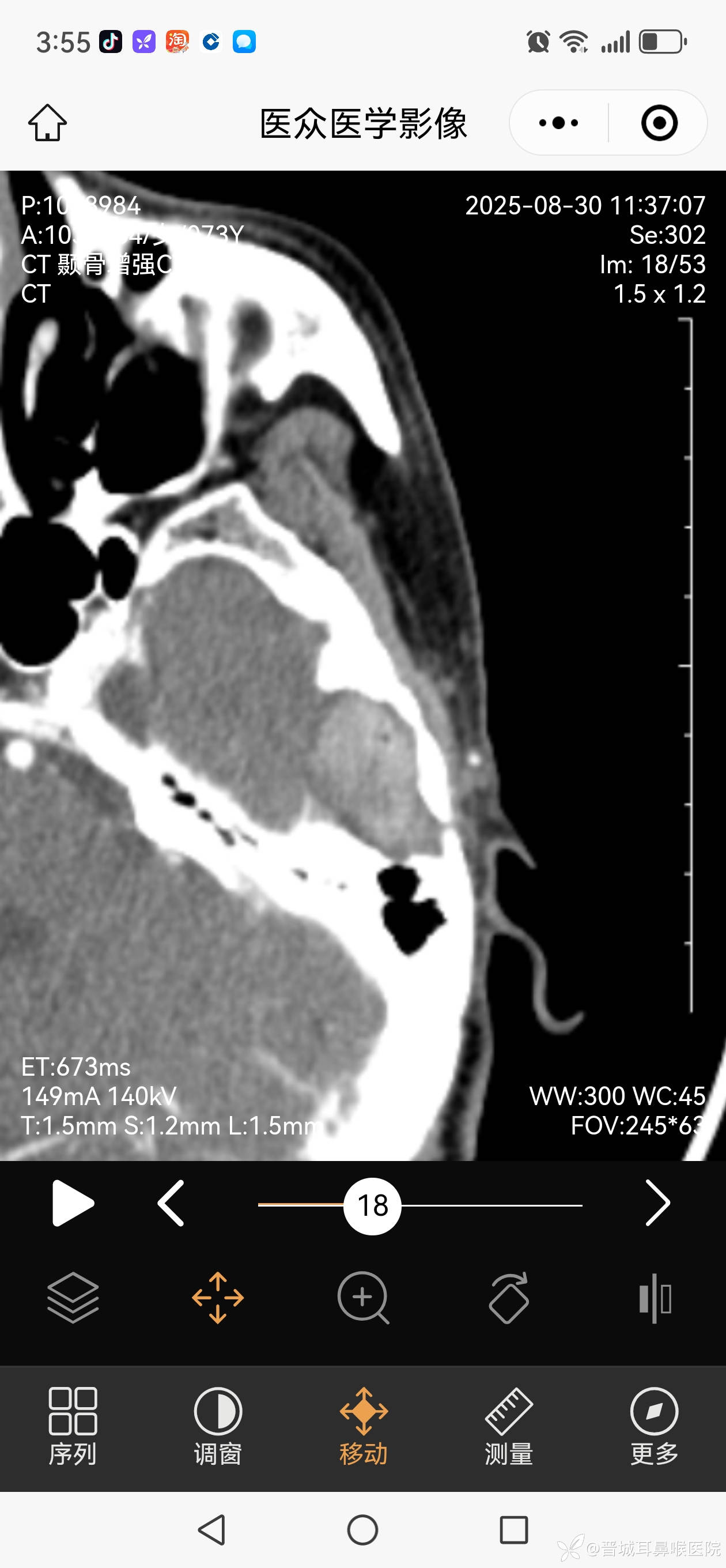
外耳道胆脂瘤不单破会后壁侵入乳突气房,更破坏前上壁,颞下颌关节囊暴露,在中颅窝形成比核桃大的胆脂瘤。



切口一就大一点,暴露颞骨鳞部、颧弓、颞下颌关节囊。
颞肌前三分之二用于修复硬脑膜外面的空腔,瘘了也能用于补。后三分之一修复乳突腔。



去除中颅窝外侧骨板,大块狗头金


未完待续.....
外耳道胆脂瘤不单破会后壁侵入乳突气房,更破坏前上壁,颞下颌关节囊暴露,在中颅窝形成比核桃大的胆脂瘤。



切口一就大一点,暴露颞骨鳞部、颧弓、颞下颌关节囊。
颞肌前三分之二用于修复硬脑膜外面的空腔,瘘了也能用于补。后三分之一修复乳突腔。



去除中颅窝外侧骨板,大块狗头金


未完待续.....
