来源于小肠系膜根部的腹腔内巨大肿物切除术1例
病例信息
一般信息:患者女性,51岁,农民,已婚,未绝经。
主诉:主因右下腹疼痛不适2天入院。
现病史:患者因右下腹疼痛不适2天在当地县医院就诊。腹痛呈持续性,休息后缓解,活动时加重,大小便正常,体重无明显变化。患病后在当地县医院行腹部CT检查提示腹盆腔巨大占位性病变,患者及其家属为求进一步治疗入住我科。
既往史:有两年的高血压病史。
体格检查:一般状况可,肥胖体型,心肺查体无明显异常;腹膨隆,中下腹部可触及明显肿物,大小约20×30cm,表面光滑,活动度可,无明显触压痛,双下肢无水肿。
入院诊断:腹腔巨大肿物(性质待查):卵巢囊肿?腹膜间皮瘤?肠系膜肿瘤?
入院后行血常规检验提示中度贫血:RBC:3.19×10*12/L,Hb:63g/L;肿瘤标志物检查无异常。肝功能提示白蛋白:35.6g/L。凝血功能、肾功能、传染病等检验均无异常。
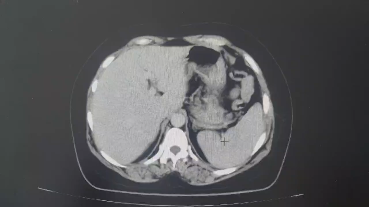
腹部增强CT检查:
平扫:


动脉期:


门脉期:


延迟期:


术前讨论:科室集体讨论后认为患者腹腔内肿物来源于卵巢的可能性较大,但也不排除其他来源,尤其是肠系膜来源,从腹部增强CT来看,患者腹腔内肿物供血动脉来源于肠系膜上动脉根部,即空肠第二支,空肠第一分支动脉位于肿瘤上极左侧,受压偏移明显,肠系膜上动脉及上静脉主干均明显受压变形。从CT上来看,肿瘤内没有明显强化表现,像囊性肿瘤。部分医生认为可以选择腔镜手术,先进行减压后再切除,但是考虑到这么大的肿瘤,万一是恶性的,先穿刺减压就违反了无瘤原则。最后决定备血后进行开放手术治疗。
手术方式:开腹探查备巨大肿物切除术
手术经过:取右侧经腹直肌切口进腹,探查肿瘤大小,肿瘤表面光滑,但呈分叶状,上极肿物较大,


