dxy logo
首页丁香园病例库全部版块
搜索
登录

病例干咳,胸闷伴活动气喘9月余

急诊科医师 · 发布于 04-19 · IP 安徽安徽
549 浏览

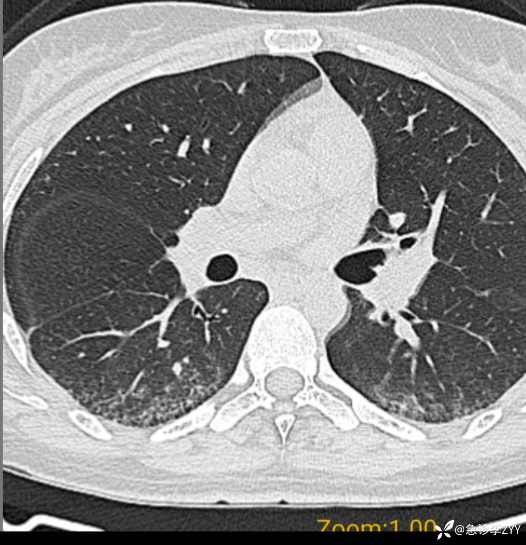
患者,女,28岁,干咳,胸闷伴活动气喘9月余,到急诊科就诊。请教老师,目前胸部CT等检查后可考虑类风湿致普通型间质肺炎?

img
img
img
间质性肺炎 (72)
纠错
回复收藏1
同行评议(0)
已评议
不开通精选
开通精选
精选已授权,待上线
评议结果暂未公布
参与评议
去邀请
NaN
病例完整NaN
临床实用NaN
诊疗科学NaN
学术价值NaN

全部讨论(0)

默认最新
avatar
分享帖子
share-weibo分享到微博
share-weibo分享到微信
认证
返回顶部