【案例分享】全球首例!她拥有10年病史,使用干细胞外泌体后,呼吸困难改善,干咳减少
引言
今日分享一则干细胞外泌体治疗系统性硬化病(SSc)肺损伤的案例。一位55岁的女性患者,有10年的SSc病史,呼吸急促和干咳加重超过5年。由于传统免疫抑制剂治疗一段时间后,没有观察到症状的改善,并且疾病进展。因此,研究团队决定用胎盘间充质干细胞来源的细胞外囊泡(PMSC-EVs)进行治疗。
接受干预后,患者的临床症状明显改善,呼吸困难和干咳减少,并且不再需要吸氧。复查胸部CT结果显示毛玻璃样实变和纤维化改变明显减少。
这则案例是第一次将PMSC-Evs用于治疗SSc所致间质性肺病(ILD)患者的病例。
正文
系统性硬化症(俗称“硬皮病”)是一种罕见的慢性自身免疫病,主要特点是皮肤变硬变厚,但它的影响远不止皮肤——还会伤害内脏器官,比如肺、心脏、消化道和肾脏。
约80%的患者会发展为间质性肺病(ILD),导致肺功能进行性恶化,且不可逆。

传统治疗手段为免疫抑制剂为主,疗效有限,且副作用明显,虽然在一定程度上减缓了进展,但不能有效抑制纤维化过程。



日期,《Respiratory Medicine Case Reports》期刊报道了1例创新疗法:通过胎盘间充质干细胞外泌体/细胞外囊泡(PMSC-EVs)成功改善SSc合并ILD患者的肺部症状[1]。这一案例为系统性硬化病治疗提供了新思路。

55岁患者,拥有10年病史,呼吸急促及干咳超过5年
一位55岁的女性,有10年的SSc病史,呼吸急促和干咳加重超过5年。根据美国风湿病学会/欧洲抗风湿联盟的分类,她被诊断为SSc。
在就诊时,她有干咳和慢性进行性呼吸困难(NYHA 4级)。此外,她不能进行日常活动,需要在家中进行辅助供氧治疗。其肺功能测试显示为严重限制性模式(预计FEV 1值= 49%,预计FVC = 45%,FEV 1/FVC = 113%)。
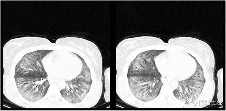
胸部CT扫描(如下图)显示弥漫性磨玻璃样实变伴胸膜下网状影和纤维化改变。此外,肺动脉主干扩张(33 mm),其他检查结果未见特殊,结合既往病史和当前病情,诊断为系统性硬化病(SSc)引起的间质性肺病(ILD)。

图片来自文献[1]
全球首例:用胎盘干细胞外泌体来干预系统性硬化病肺损伤
由于传统免疫抑制剂治疗一段时间后,没有观察到症状的改善,并且疾病进展。因此,该研究团队决定用胎盘间充质干细胞外泌体/细胞外囊泡(PMSC-EVs)进行治疗。据悉,这是第一例将PMSC-Evs用于治疗SSc所致ILD的患者的病例。
在经过一系列检查评估合格后,采用了三个剂量的PMSC-EVs(0.8–1.2 × 109微粒/kg)通过外周通路静脉给药。

结果显示,患者对治疗耐受良好,未出现寒战、发热、免疫相关反应、肝肾功能不全及皮肤反应等不良反应。
48小时后重复两次类似注射,连续两天,四周后连续三天注射三次PMSC-Evs。
病情稳定出院后,她在研究团队的风湿病门诊连续随访了12个月。
疗效显著:患者肺功能与生活质量双提升
据患者自我描述,接受胎盘干细胞外泌体治疗后,她的临床症状明显改善,呼吸困难和干咳减少,并且不再需要吸氧。
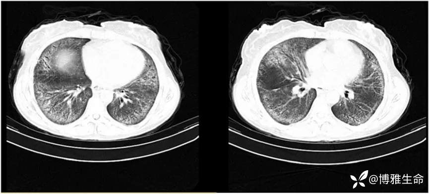
在第一个疗程后约两个月复查胸部CT,结果显示毛玻璃样实变和纤维化改变明显减少(如下图)。肺功能检查没有显示出显著的变化(预计FEV 1值= 47%,预计FVC = 44%,FEV 1/FVC = 111%)。体格检查显示肺部湿罗音减少。目前,该患者仍在接受后续随访。

图片来自文献[1]
干细胞外泌体治疗多发性硬化症的潜在机制
间充质干细胞来源的细胞外囊泡(MSC-EVs),含有蛋白质、脂质、mRNA、microRNA等,可以转移到受损的受体细胞,具有抗炎作用,并诱导修复过程。
越来越多的证据表明[2-3],MSC EV可能在免疫耐受-自身免疫平衡中具有独特的作用。先前对SSc动物模型的研究显示了MSC-EVs治疗在愈合皮肤和肺纤维化方面的益处。

图片来自文献[2]
小结
间质性肺病作为系统性硬化症的严重并发症之一,一直是临床治疗的难点。由于间质性肺病的病理机制复杂,涉及免疫异常、纤维化进程等多个环节,传统治疗方法在控制病情进展、改善肺功能方面效果欠佳,患者预后往往不容乐观。近年来,随着再生医学研究的深入,干细胞来源的细胞外囊泡因其独特的生物学特性展现出治疗潜力。这类纳米级囊泡不仅具备抗炎、免疫调节功能,还具有精准递送,免疫原性低等优势。未来随着多中心、大样本随机对照试验的开展,有望进一步推动这一类创新疗法的发展,为系统性硬化症并发间质性肺病患者提供新的治疗选择。
参考文献:
[1] Assar S, Mohammadzadeh D, Norooznezhad AH, et al. Improvement in the clinical manifestations of interstitial lung disease following treatment with placental mesenchymal stromal cell extracellular vesicles in a patient with systemic sclerosis: A case report. Respir Med Case Rep. 2023;46:101923. Published 2023 Oct 2. doi:10.1016/j.rmcr.2023.101923
[2] Colletti M, Galardi A, De Santis M, et al. Exosomes in Systemic Sclerosis: Messengers Between Immune, Vascular and Fibrotic Components?. Int J Mol Sci. 2019;20(18):4337. Published 2019 Sep 4. doi:10.3390/ijms20184337
[3] Maria AT, Toupet K, Maumus M, et al. Human adipose mesenchymal stem cells as potent anti-fibrosis therapy for systemic sclerosis. J Autoimmun. 2016;70:31-39. doi:10.1016/j.jaut.2016.03.013
















































