房颤引起反复脑栓塞
病例信息
【患者信息】:

【主诉】:左侧下肢无力,
【现病史及既往史】:

【检查】:




【临床诊断】:房颤导致脑栓塞,
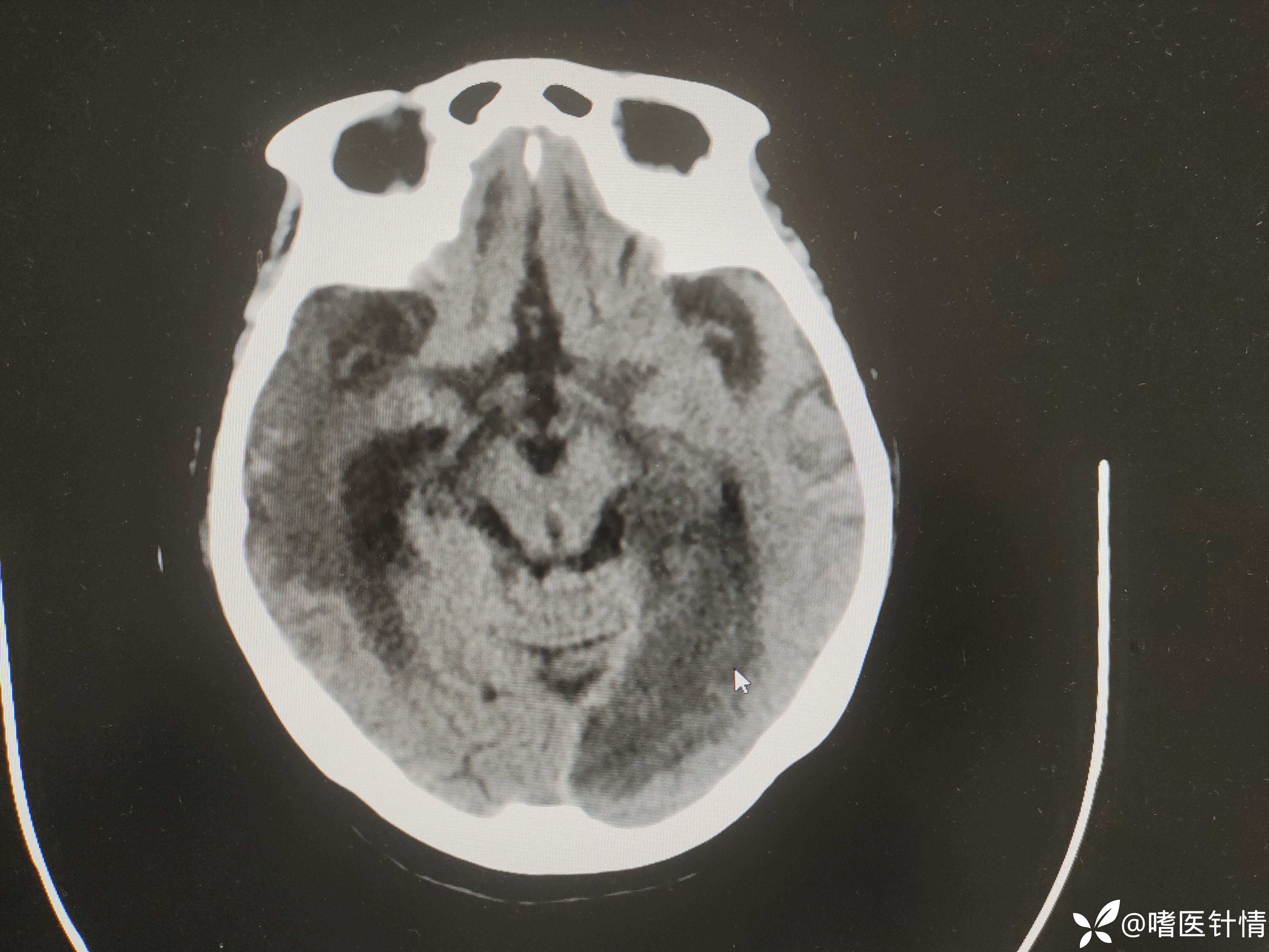
【治疗经过及结果】:给我抗凝,3个月后呼吸困难,再次复查头颅CT见


总结与讨论
患者房颤,引起脑栓塞,给予低分子肝素抗凝,脑保护治疗,患者三个月后再次病情加重。
病例信息
【患者信息】:

【主诉】:左侧下肢无力,
【现病史及既往史】:

【检查】:




【临床诊断】:房颤导致脑栓塞,
【治疗经过及结果】:给我抗凝,3个月后呼吸困难,再次复查头颅CT见


总结与讨论
患者房颤,引起脑栓塞,给予低分子肝素抗凝,脑保护治疗,患者三个月后再次病情加重。
