【骨肌】特别精彩病例|男,24岁,自幼右下肢畸形,反复右下肢肿胀7+年(结果已公布)
呱呱叫了 等 3 位达人已点赞病例信息
【患者信息】:男,24岁
【主诉】:自幼右下肢畸形,反复右下肢肿胀7+年,加重1-天
【现病史及既往史】:患者自幼出现右下肢畸形,表现为右下肢较对侧明显缩短,右下肢广泛散在棕褐色色素沉着,当地医院建议观察随访。7+年前患者在上述症状基础上,无明显诱因出现右下肢肿胀,曾诊断KT综合征,建议保守治疗。后患者反复出现3次大腿血肿(1+年前,1+月前,6天前),当地医院予以补液、止血、输血等对症处理后大腿肿胀较前缓解。1-天前患者右侧大腿肿胀明显加重,遂于我院急诊就诊,以“血管畸形(KT综合征?)”收入院
既往史:肾衰竭病史3+年,规律透析
查体:右臀部、右下肢明显增粗、肿胀,皮肤张力不高,右下肢广泛散在棕褐色色素沉着,无浅表静脉曲张,皮肤无破溃;双下肢肢端温暖,感觉运动正常,双足足背动脉可扪及
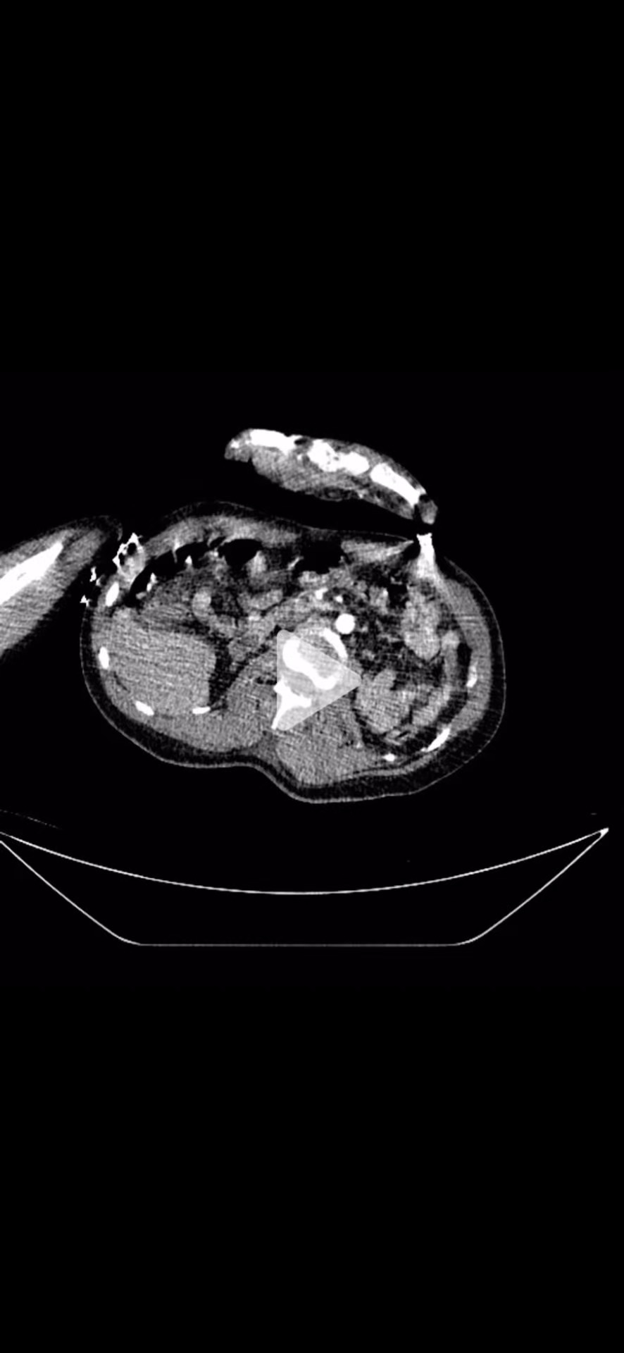
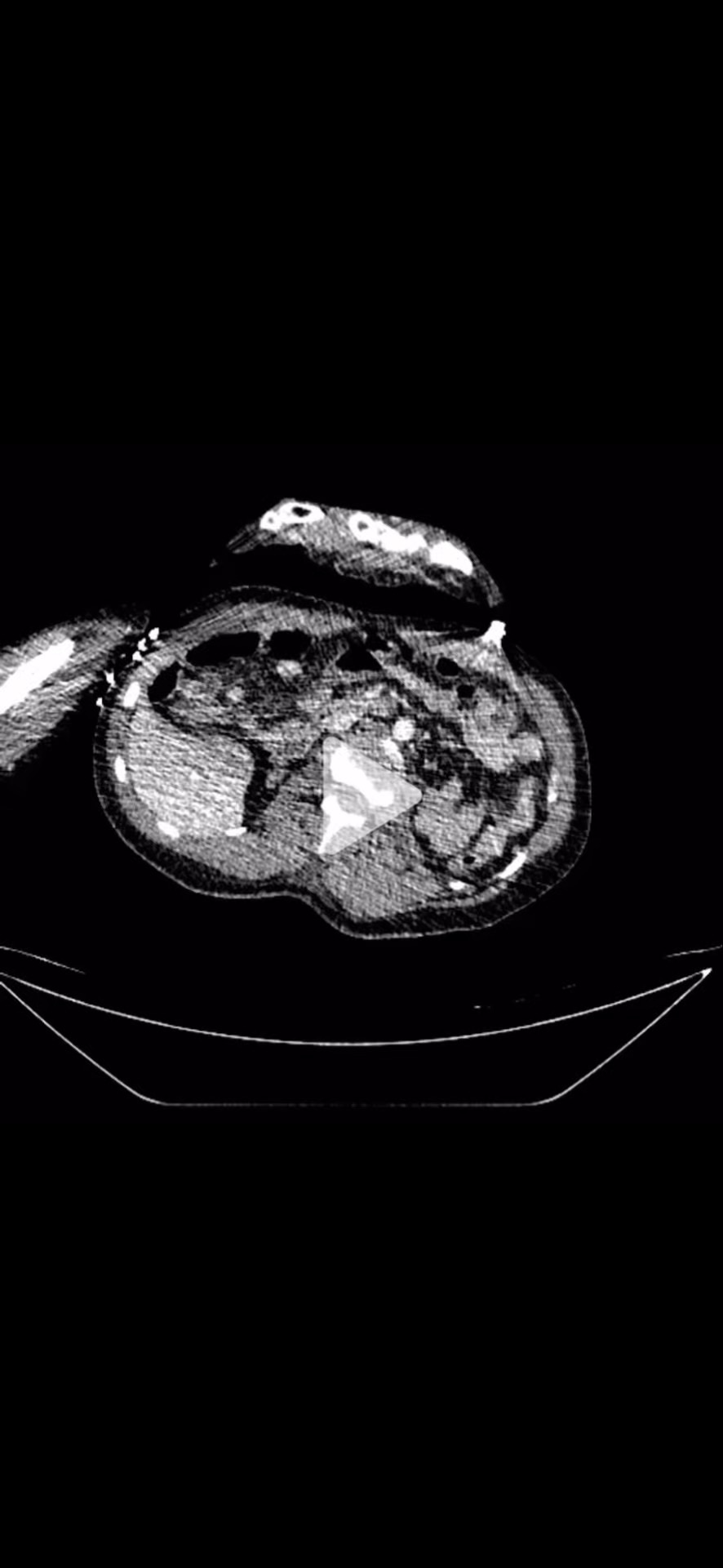
【检查】:
CT平扫:


CTA动脉期:


CTA静脉期:


MRI平扫+增强:
















































