血细胞减少、肺部大片实变伴反复高热
病例信息
【患者信息】:女,34岁
【主诉】:白细胞减少6年,咳嗽2年,加重伴发热3天
【现病史及既往史】:6年前发现白细胞减少和贫血,多次复查白细胞水平1.8-2.2x10^9/L,血红蛋白70-90g/L,血小板>100x10^9/L,多次骨髓穿刺及染色体基因检查提示骨髓增生异常综合征可能,但未确诊。2年前出现反复干咳,CT双肺上叶细网格影,行支气管镜检查未见异常,考虑间质性肺病。3天前出现咳嗽咳黄痰,伴畏寒发热,体温反复>39℃。无皮疹,无关节肿痛,无胸闷气促,退热后胃纳精神可。
既往史、个人史、家族史无特殊情况。
【检查】:白细胞波动于1.0-4.0×109/L,血红蛋白50-77g/L,血小板60-150×109/L。血沉 140mm/h,PCT 0.386ng/ml,CRP 165.52mg/L,白介素6:51.94 pg/mL,D-二聚体:4880μg/L。直接抗人球蛋白试验阳性,ANA、ANCA、RF、CCP抗体均阴性、免疫球蛋白+补体+IgG4正常。肿瘤标志物正常。血培养、痰培养阴性。真菌、病毒、结核各种血清学检查均阴性。胸水为渗出液,培养和结核Xpert检查阴性。气管镜肺泡灌洗NGS:大肠埃希菌(9),白色念珠菌(10),人类疱疹病毒4型(49)。
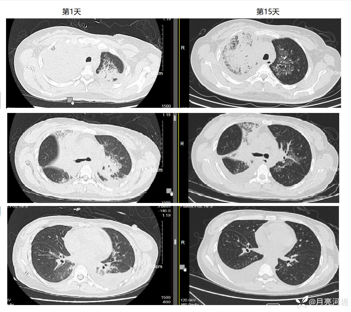
胸部CT示两肺间质性炎症、局部多发细小蜂窝,右肺上叶大片状实变,右侧胸腔积液伴右肺下叶部分膨胀不全。PET-CT提示纵膈多发淋巴结明显肿大伴高摄取,但2次穿刺活检未提示肿瘤或肉芽肿。
【临床诊断】:肺部感染,间质性肺炎,白细胞减少,贫血
【治疗经过及结果】:先后哌拉西林、万古霉素、泰能等治疗均无效,每天39℃以上高热,甲强龙40mg/d静滴控制体温数日,但后又出现高热,因无结缔组织病依据停用激素。高热时予地塞米松静推或泰诺林口服可退热,热退后精神好,轻度咳嗽,痰不多,无明显胸闷气促,心率呼吸氧和均稳定。抗感染2周后复查肺部CT实变病灶略有好转,期间CRP波动于50-90mg/L,IL-6 波动于50-300pg/mL,PCT波动于 0.20-0.38ng/ml。


















































