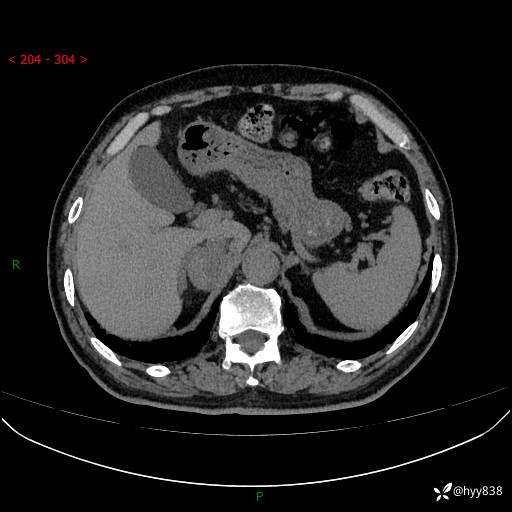
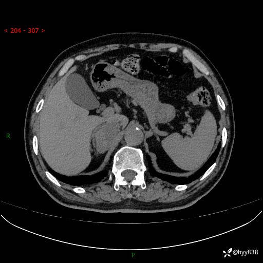
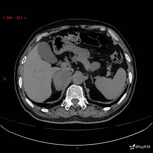
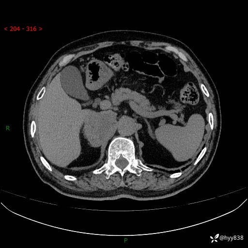
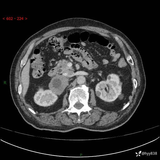
76岁/男,发现右侧肾上腺占位6天。疑难好病例,晒晒疾病谱---(有结果)
胡志勇HZY 等 2 位达人已点赞病例信息
【患者信息】:76岁/男
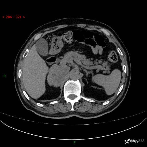
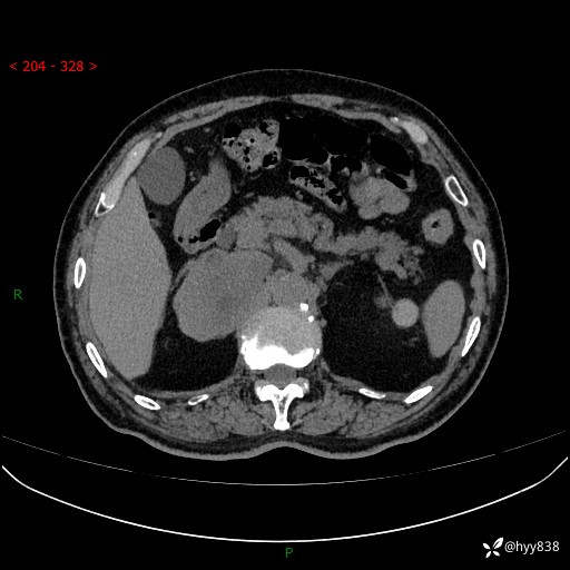
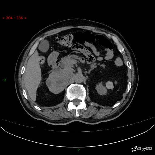
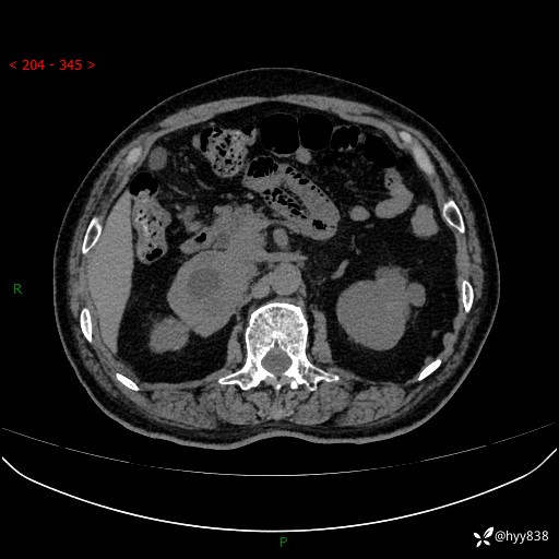
【主诉】:检查发现右侧肾上腺占位6天
【现病史及既往史】:患者6天前体检发现右侧肾上腺占位,无腰痛,无放射痛,无尿频、尿急、尿痛及肉眼血尿,无畏寒、发热,无恶心、呕吐,今为求进一步治疗,遂来我院就诊,门诊拟“右侧肾上腺占位”收住入院。 起病以来,患者精神、饮食、睡眠可,大小便如常,体力体重无明显变化。
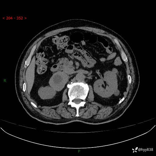
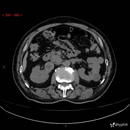
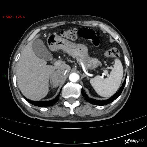
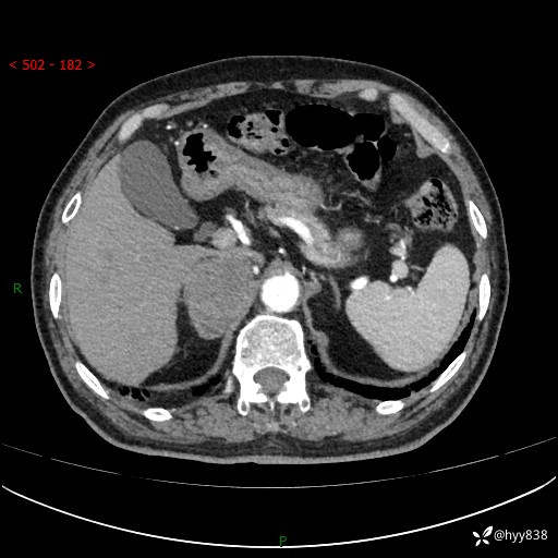
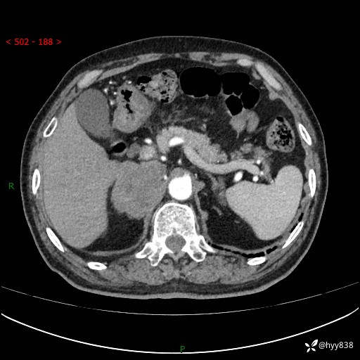
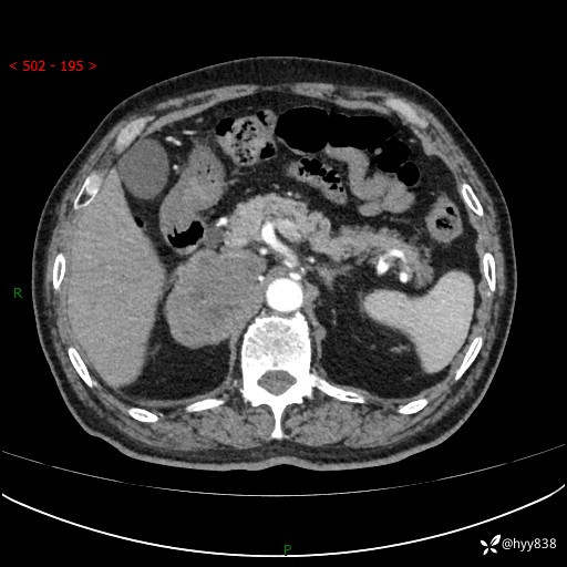
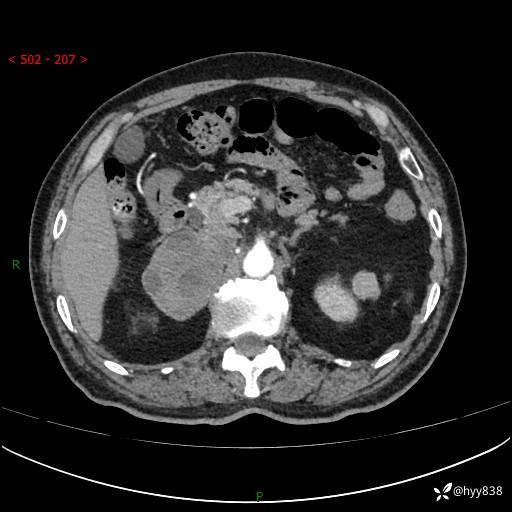
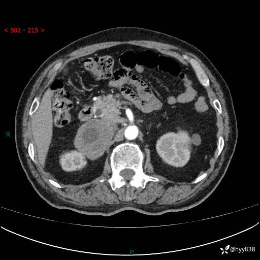
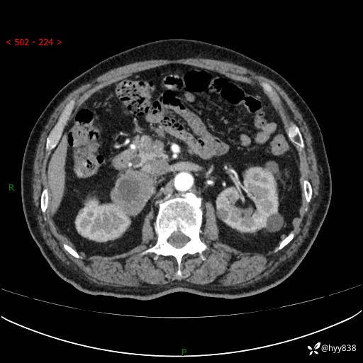
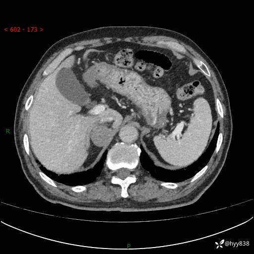
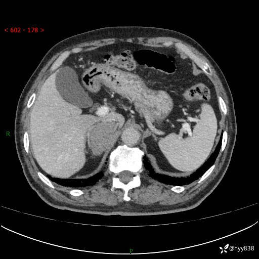
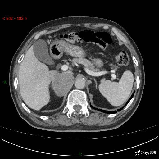
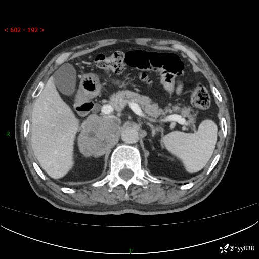
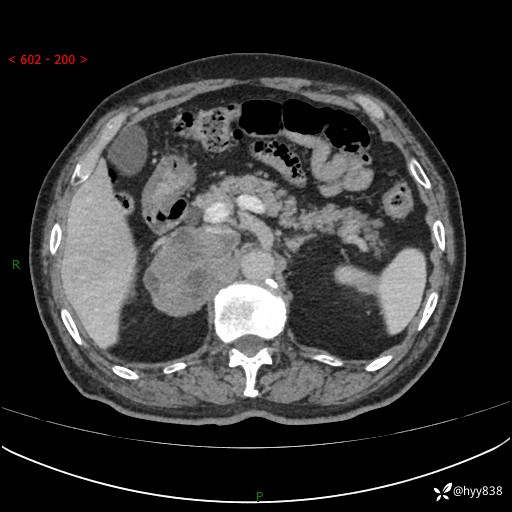
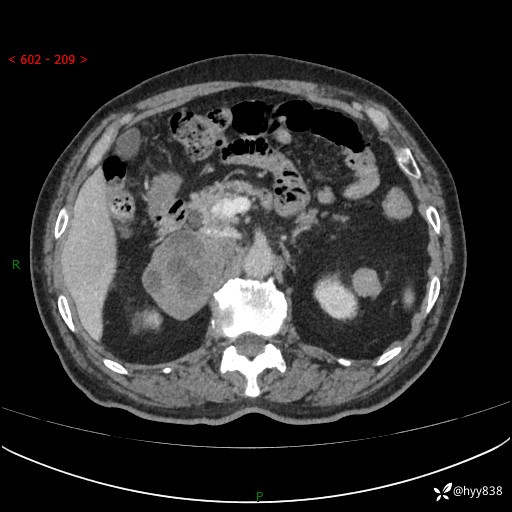
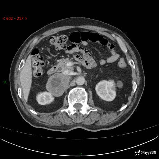
【检查】:肾上腺CT平扫+增强


























【临床诊断】:
【治疗经过及结果】:















































